Skip to main content

COX4 Antibody - BSA Free

Novus Biologicals, part of Bio-Techne | Catalog # NB110-39115

Novus Biologicals, part of Bio-Techne

Key Product Details

Validated by

Biological Validation

Species Reactivity

Validated:

Human, Mouse, Rat, Porcine, Bovine, Drosophila, Insect, Opossum, Primate

Cited:

Human, Mouse, Rat, Insect, Opossum

Applications

Validated:

Immunohistochemistry, Immunohistochemistry-Paraffin, Western Blot, Immunocytochemistry/ Immunofluorescence, Simple Western, Chromatin Immunoprecipitation (ChIP), Knockdown Validated

Cited:

Immunohistochemistry-Paraffin, Western Blot, IF/IHC, Knockdown Validated

Label

Unconjugated

Antibody Source

Polyclonal Rabbit IgG

Format

BSA Free

Concentration

1.0 mg/ml

Product Specifications

Immunogen

A synthetic peptide made to an internal region of human COX IV isoform 1 (within residues 1-100). [Swiss-Prot# P13073]

Reactivity Notes

Opossum reactivity reported in scientific literature (PMID: 28720662).

Localization

Mitochondrion, mito inner membrane

Marker

Mitochondria Marker

Clonality

Polyclonal

Host

Rabbit

Isotype

IgG

Description

Novus Biologicals Rabbit COX4 Antibody - BSA Free (NB110-39115) is a polyclonal antibody validated for use in IHC, WB, ICC/IF, Simple Western and ChIP. Anti-COX4 Antibody: Cited in 19 publications. All Novus Biologicals antibodies are covered by our 100% guarantee.

Scientific Data Images for COX4 Antibody - BSA Free

Western Blot: COX4 AntibodyBSA Free [NB110-39115]

Western Blot: COX4 AntibodyBSA Free [NB110-39115]

COX4-Antibody---BSA-Free-Western-Blot-NB110-39115-img0023.jpg
Immunocytochemistry/ Immunofluorescence: COX4 Antibody - BSA Free [NB110-39115]

Immunocytochemistry/ Immunofluorescence: COX4 Antibody - BSA Free [NB110-39115]

Immunocytochemistry/Immunofluorescence: COX4 Antibody - BSA Free [NB110-39115] - NIH3T3 cells were fixed for 10 minutes using 10% formalin and then permeabilized for 5 minutes using 1X PBS + 0.05% Triton X-100. The cells were incubated with anti-COX4 at 10 ug/mL overnight at 4C and detected with an anti-rabbit DyLight 488 (Green) at a 1:500 dilution. Nuclei were counterstained with DAPI (Blue). Cells were imaged using a 40X objective.
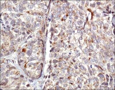
Immunohistochemistry: COX4 Antibody - BSA Free [NB110-39115]

Immunohistochemistry: COX4 Antibody - BSA Free [NB110-39115]

Immunohistochemistry: COX4 Antibody - BSA Free [NB110-39115] - Analysis of COX4 in human breast cancer using DAB with hematoxylin counterstain.

Applications for COX4 Antibody - BSA Free

Application
Recommended Usage

Immunocytochemistry/ Immunofluorescence

1:40

Immunohistochemistry

1:100

Immunohistochemistry-Paraffin

1:100

Knockdown Validated

reported in scientific literature (PMID 31655343)

Simple Western

1:25

Western Blot

1:2000
Application Notes
In Western Blot, a band is seen ~19.5 kDa representing COX IV. In ICC/IF, mitochondrion staining was observed in HeLa cells. In IHC-P, staining is observed in the cytoplasm and mitochondria of human breast cancer tissue. Prior to immunostaining paraffin tissues, antigen retrieval with sodium citrate buffer (pH 6.0) is recommended. Higher dilutions may be needed for mitochondrial membrane enriched preparations. In Simple Western only 10 - 15 uL of the recommended dilution is used per data point.
See Simple Western Antibody Database for Simple Western validation: Tested in HeLa lysate 1.0 mg/mL, titrated to saturation using various models; separated by Size; antibody dilution of 1:25, 75 ug/mL; apparent MW was 22 kDa. Separated by Size-Wes, Sally Sue/Peggy Sue.

Reviewed Applications

Read 4 reviews rated 4.5 using NB110-39115 in the following applications:

Formulation, Preparation, and Storage

Purification

Immunogen affinity purified

Formulation

PBS

Format

BSA Free

Preservative

0.02% Sodium Azide

Concentration

1.0 mg/ml

Shipping

The product is shipped with polar packs. Upon receipt, store it immediately at the temperature recommended below.

Stability & Storage

Aliquot and store at -20C or -80C. Avoid freeze-thaw cycles.

Background: COX4

Cytochrome C Oxidase (COX), which is located in the inner mitochondrial membrane, is the terminal enzyme complex of the mitochondrial electron transport chain. It collects electrons that are transferred from reduced Cytochrome C and donates them to molecular oxygen, which is then reduced to water.

Long Name

Cytochrome c Oxidase Subunit IV

Alternate Names

COX4I2

Gene Symbol

COX4I1

Additional COX4 Products

Product Documents for COX4 Antibody - BSA Free

Certificate of Analysis

To download a Certificate of Analysis, please enter a lot number in the search box below.

Product Specific Notices for COX4 Antibody - BSA Free

This product is for research use only and is not approved for use in humans or in clinical diagnosis. Primary Antibodies are guaranteed for 1 year from date of receipt.

Loading...
Loading...
Loading...
Loading...