Skip to main content

COX4 Antibody (3P8J2)

Novus Biologicals, part of Bio-Techne | Catalog # NBP3-15416

Recombinant Monoclonal Antibody
Novus Biologicals, part of Bio-Techne
Catalog #
Availability
Size / Price
Qty
Loading...
NBP3-15416-100ul
NBP3-15416-20ul

Key Product Details

Species Reactivity

Human, Mouse, Rat

Applications

Immunohistochemistry, Immunohistochemistry-Paraffin, Western Blot

Label

Unconjugated

Antibody Source

Recombinant Monoclonal Rabbit IgG Clone # 3P8J2 expressed in HEK293

Concentration

Please see the vial label for concentration. If unlisted please contact technical services.

Product Specifications

Immunogen

A synthetic peptide corresponding to a sequence within amino acids 1-100 of human COX4 (P13073). MLATRVFSLVGKRAISTSVCVRAHESVVKSEDFSLPAYMDRRDHPLPEVAHVKHLSASQKALKEKEKASWSSLSMDEKVELYRIKFKESFAEMNRGSNEW

Clonality

Monoclonal

Host

Rabbit

Isotype

IgG

Description

Novus Biologicals Rabbit COX4 Antibody (3P8J2) (NBP3-15416) is a recombinant monoclonal antibody validated for use in IHC and WB. All Novus Biologicals antibodies are covered by our 100% guarantee.

Scientific Data Images for COX4 Antibody (3P8J2)

Western Blot: COX4 Antibody (3P8J2) [NBP3-15416]

Western Blot: COX4 Antibody (3P8J2) [NBP3-15416]

Western Blot: COX4 Antibody (9X9I0) [NBP3-15416] - Western blot analysis of extracts of various cell lines, using COX4 Rabbit mAb (NBP3-15416) at 1:1000 dilution. Secondary antibody: HRP Goat Anti-Rabbit IgG (H+L) at 1:10000 dilution. Lysates/proteins: 25ug per lane. Blocking buffer: 3% nonfat dry milk in TBST. Detection: ECL Enhanced Kit. Exposure time: 3min.
Immunohistochemistry-Paraffin: COX4 Antibody (3P8J2) [NBP3-15416]

Immunohistochemistry-Paraffin: COX4 Antibody (3P8J2) [NBP3-15416]

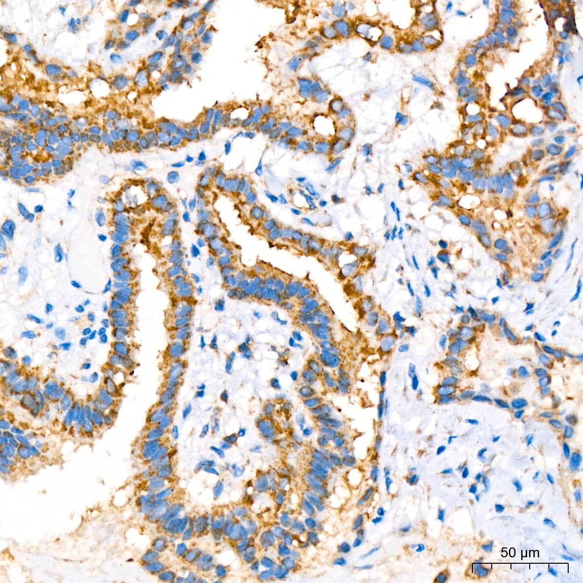
Immunohistochemistry-Paraffin: COX4 Antibody (9X9I0) [NBP3-15416] - Immunohistochemistry of paraffin-embedded human colon carcinoma using COX4 Rabbit mAb (NBP3-15416) at dilution of 1:100 (40x lens).Perform microwave antigen retrieval with 10 mM PBS buffer pH 7.2 before commencing with IHC staining protocol.
COX4 Antibody (3P8J2)

Immunohistochemistry: COX4 Antibody (3P8J2) [COX4] -

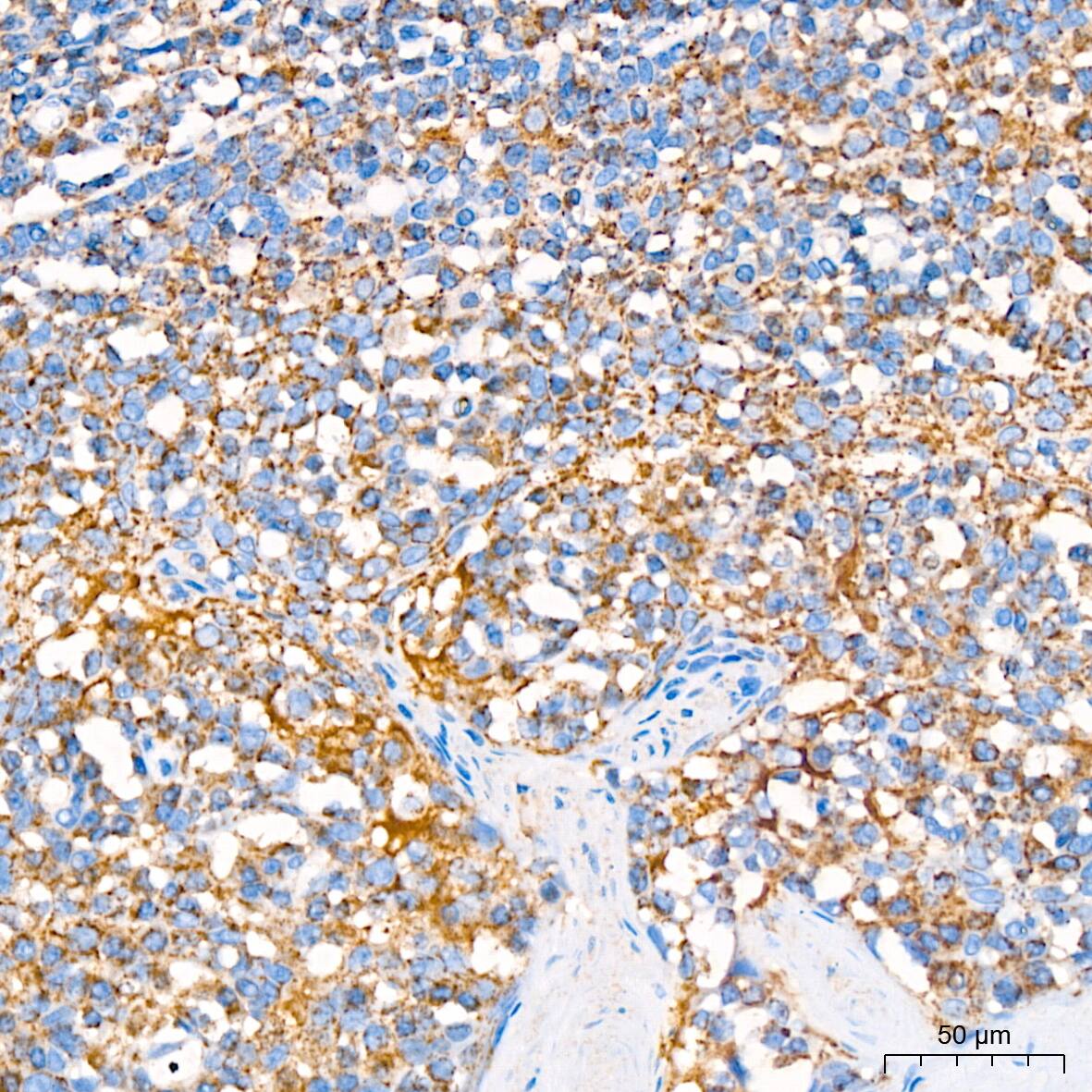
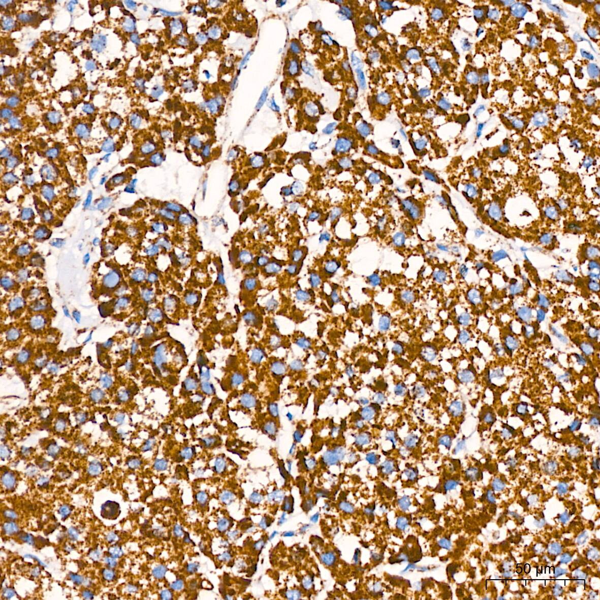
Immunohistochemistry: COX4 Antibody (3P8J2) [COX4] - Immunohistochemistry analysis of paraffin-embedded Human thyroid cancer using COX4 Rabbit mAb at dilution of 1:200 (40x lens). High pressure antigen retrieval performed with 0.01M Citrate Bufferr (pH 6.0) prior to IHC staining.

Applications for COX4 Antibody (3P8J2)

Application
Recommended Usage

Immunohistochemistry

1:50 - 1:200

Western Blot

1:500 - 1:2000

Formulation, Preparation, and Storage

Purification

Affinity purified

Formulation

PBS (pH 7.3), 50% glycerol, 0.05% BSA

Preservative

0.02% Sodium Azide

Concentration

Please see the vial label for concentration. If unlisted please contact technical services.

Shipping

The product is shipped with polar packs. Upon receipt, store it immediately at the temperature recommended below.

Stability & Storage

Store at -20C. Avoid freeze-thaw cycles.

Background: COX4

COX IV (cytochrome c oxidase subunit IV isoform 1) plays a pivotal role in respiratory function and assembly of the enzyme complex. This protein is known to have interactions with MT-CO2, MCL1, TMBIM4, MT-CO1 and TH1L. COX IV has been studied in relation to anemia, Huntington's disease, Alzheimer's disease, neuronitis, pancreatitis and several other diseases and disorders.

Long Name

Cytochrome c Oxidase Subunit IV

Alternate Names

COX4I2

Gene Symbol

COX4I1

Additional COX4 Products

Product Documents for COX4 Antibody (3P8J2)

Certificate of Analysis

To download a Certificate of Analysis, please enter a lot number in the search box below.

Product Specific Notices for COX4 Antibody (3P8J2)

This product is for research use only and is not approved for use in humans or in clinical diagnosis. Primary Antibodies are guaranteed for 1 year from date of receipt.

Loading...
Loading...
Loading...
Loading...