Skip to main content

COQ5 Antibody - BSA Free

Novus Biologicals, part of Bio-Techne | Catalog # NBP3-47549

Novus Biologicals, part of Bio-Techne
Catalog #
Availability
Size / Price
Qty
Loading...
NBP3-47549

Key Product Details

Species Reactivity

Human, Mouse

Applications

ELISA, Immunohistochemistry, Western Blot

Label

Unconjugated

Antibody Source

Polyclonal Rabbit IgG

Format

BSA Free

Concentration

Please see the vial label for concentration. If unlisted please contact technical services.

Product Specifications

Immunogen

coenzyme Q5 homolog, methyltransferase. (Uniprot# Q5HYK3)

Clonality

Polyclonal

Host

Rabbit

Isotype

IgG

Theoretical MW

34.7 kDa.
Disclaimer note: The observed molecular weight of the protein may vary from the listed predicted molecular weight due to post translational modifications, post translation cleavages, relative charges, and other experimental factors.

Description

Novus Biologicals Rabbit COQ5 Antibody - BSA Free (NBP3-47549) is a polyclonal antibody validated for use in IHC, WB and ELISA. All Novus Biologicals antibodies are covered by our 100% guarantee.

Scientific Data Images for COQ5 Antibody - BSA Free

COQ5 Antibody - BSA Free

Western Blot: COQ5 Antibody - BSA Free [NBP3-47549] -

Western Blot: COQ5 Antibody - BSA Free [NBP3-47549] - Mouse heart tissue were subjected to SDS PAGE followed by western blot with (COQ5 antibody) at dilution of 1:500
COQ5 Antibody - BSA Free

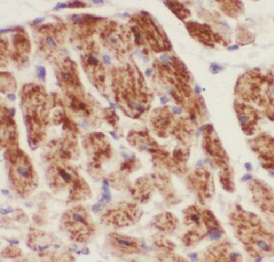
Immunohistochemistry: COQ5 Antibody - BSA Free [NBP3-47549] -

Immunohistochemistry: COQ5 Antibody - BSA Free [NBP3-47549] - Immunohistochemistry of paraffin-embedded human heart using (COQ5 antibody) at dilution of 1:100

Applications for COQ5 Antibody - BSA Free

Application
Recommended Usage

Immunohistochemistry

1:20-1:200

Western Blot

1:500-1:2000

Formulation, Preparation, and Storage

Purification

Immunogen affinity purified

Formulation

PBS, 50% Glycerol, pH (7.3)

Format

BSA Free

Preservative

0.02% Sodium Azide

Concentration

Please see the vial label for concentration. If unlisted please contact technical services.

Shipping

The product is shipped with polar packs. Upon receipt, store it immediately at the temperature recommended below.

Stability & Storage

Store at -20C. Avoid freeze-thaw cycles.

Background: COQ5

Converts DDMQH2 into DMQH2

Alternate Names

coenzyme Q5 homolog, methyltransferase (S. cerevisiae), coenzyme Q5 homolog, methyltransferase (yeast), EC 2.1.1, EC 2.1.1.-, EC 2.1.1.52, MGC104303, MGC4767, ubiquinone biosynthesis methyltransferase COQ5, mitochondrial

Gene Symbol

COQ5

Additional COQ5 Products

Product Documents for COQ5 Antibody - BSA Free

Certificate of Analysis

To download a Certificate of Analysis, please enter a lot number in the search box below.

Product Specific Notices for COQ5 Antibody - BSA Free

This product is for research use only and is not approved for use in humans or in clinical diagnosis. Primary Antibodies are guaranteed for 1 year from date of receipt.

Loading...
Loading...
Loading...
Loading...