Skip to main content

Connexin 26/GJB2 Antibody - BSA Free

Novus Biologicals, part of Bio-Techne | Catalog # NBP3-47559

Novus Biologicals, part of Bio-Techne
Catalog #
Availability
Size / Price
Qty
Loading...
NBP3-47559

Key Product Details

Species Reactivity

Human, Mouse, Rat

Applications

Immunohistochemistry, Western Blot, ELISA

Label

Unconjugated

Antibody Source

Polyclonal Rabbit IgG

Format

BSA Free

Concentration

Please see the vial label for concentration. If unlisted please contact technical services.

Product Specifications

Immunogen

gap junction protein, beta 2, 26kDa. (Uniprot# P29033)

Clonality

Polyclonal

Host

Rabbit

Isotype

IgG

Theoretical MW

26 kDa.
Disclaimer note: The observed molecular weight of the protein may vary from the listed predicted molecular weight due to post translational modifications, post translation cleavages, relative charges, and other experimental factors.

Scientific Data Images for Connexin 26/GJB2 Antibody - BSA Free

Connexin 26/GJB2 Antibody - BSA Free

Western Blot: Connexin 26/GJB2 Antibody - BSA Free [NBP3-47559] -

Western Blot: Connexin 26/GJB2 Antibody - BSA Free [NBP3-47559] - Human heart tissue were subjected to SDS PAGE followed by western blot with (Connexin 26/GJB2 antibody) at dilution of 1:500
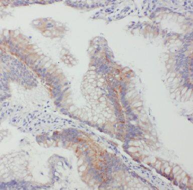
Connexin 26/GJB2 Antibody - BSA Free

Immunohistochemistry: Connexin 26/GJB2 Antibody - BSA Free [NBP3-47559] -

Immunohistochemistry: Connexin 26/GJB2 Antibody - BSA Free [NBP3-47559] - Immunohistochemistry of paraffin-embedded human colon cancer using (Connexin 26/GJB2 antibody) at dilution of 1:50

Applications for Connexin 26/GJB2 Antibody - BSA Free

Application
Recommended Usage

Immunohistochemistry

1:20-1:200

Western Blot

1:200-1:1000

Formulation, Preparation, and Storage

Purification

Immunogen affinity purified

Formulation

PBS, 50% Glycerol, pH (7.3)

Format

BSA Free

Preservative

0.02% Sodium Azide

Concentration

Please see the vial label for concentration. If unlisted please contact technical services.

Shipping

The product is shipped with polar packs. Upon receipt, store it immediately at the temperature recommended below.

Stability & Storage

Store at -20C. Avoid freeze-thaw cycles.

Background: Connexin 26/GJB2

Connexin-26 / GJB2 is a gap junction consists of a cluster of closely packed pairs of transmembrane channels, the connexins, through which materials of low molecular weight diffuse from one cell to a neighboring cell. Each connexin is composed of a hexamer of connexin proteins. Connexins are a multi-gene family of highly related proteins. At least a dozen distinct connexin genes have been identified and many are expressed in a tissue-specific manner. Two distinct lineages, class I (beta) and class II (alpha), have been identified in mammals. Connexin-26 belongs to the class 1 (beta) group of connexins. Mutations in Connexin-26 are associated with genetically derived hearing impairments, including autosomal recessive non syndromic deafness.

Alternate Names

CX26, DFNA3, DFNB1, GJB2, HID, KID, NSRD1, PPK

Gene Symbol

GJB2

Additional Connexin 26/GJB2 Products

Product Documents for Connexin 26/GJB2 Antibody - BSA Free

Certificate of Analysis

To download a Certificate of Analysis, please enter a lot number in the search box below.

Product Specific Notices for Connexin 26/GJB2 Antibody - BSA Free

This product is for research use only and is not approved for use in humans or in clinical diagnosis. Primary Antibodies are guaranteed for 1 year from date of receipt.

Loading...
Loading...
Loading...
Loading...