Skip to main content

Complement C5 Antibody (PSH04-01)

Novus Biologicals, part of Bio-Techne | Catalog # NBP3-32209

Recombinant Monoclonal Antibody
Novus Biologicals, part of Bio-Techne
Catalog #
Availability
Size / Price
Qty
Loading...
NBP3-32209

Key Product Details

Species Reactivity

Human

Applications

Immunohistochemistry, Immunohistochemistry-Paraffin, Western Blot, Flow Cytometry, Immunocytochemistry/ Immunofluorescence

Label

Unconjugated

Antibody Source

Recombinant Monoclonal Rabbit IgG Clone # PSH04-01 expressed in HEK293

Concentration

1 mg/ml

Product Specifications

Immunogen

Recombinant protein within human Complement C5 aa 1-900 / 1,676. (Uniprot: P01031)

Localization

Secreted.

Clonality

Monoclonal

Host

Rabbit

Isotype

IgG

Theoretical MW

188 kDa.
Disclaimer note: The observed molecular weight of the protein may vary from the listed predicted molecular weight due to post translational modifications, post translation cleavages, relative charges, and other experimental factors.

Description

Novus Biologicals Rabbit Complement C5 Antibody (PSH04-01) (NBP3-32209) is a recombinant monoclonal antibody validated for use in IHC, WB, Flow and ICC/IF. All Novus Biologicals antibodies are covered by our 100% guarantee.

Scientific Data Images for Complement C5 Antibody (PSH04-01)

Complement C5 Antibody (PSH04-01)

Western Blot: Complement C5 Antibody (PSH04-01) [NBP3-32209]

Western Blot: Complement C5 Antibody (PSH04-01) [NBP3-32209] - Western blot analysis of Complement C5 on different lysates with Rabbit anti-Complement C5 antibody (NBP3-32209) at 1/2,000 dilution.

Lane 1: HepG2 cell lysate (20 ug/Lane)
Lane 2: Human liver tissue lysate (40 ug/Lane)

Predicted band size: 188 kDa
Observed band size: 188/72 kDa

Exposure time: 43 seconds;
ECL
4-20% SDS-PAGE gel.

Proteins were transferred to a PVDF membrane and blocked with 5% NFDM/TBST for 1 hour at room temperature. The primary antibody (NBP3-32209) at 1/2,000 dilution was used in 5% NFDM/TBST at 4C overnight. Goat Anti-Rabbit IgG - HRP Secondary Antibody at 1/50,000 dilution was used for 1 hour at room temperature.
Complement C5 Antibody (PSH04-01)

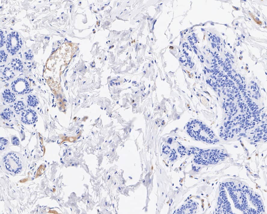
Immunohistochemistry: Complement C5 Antibody (PSH04-01) [NBP3-32209]

Immunohistochemistry: Complement C5 Antibody (PSH04-01) [NBP3-32209] - Immunohistochemical analysis of paraffin-embedded human breast tissue with Rabbit anti-Complement C5 antibody (NBP3-32209) at 1/200 dilution.

The section was pre-treated using heat mediated antigen retrieval with Tris-EDTA buffer (pH 9.0) for 20 minutes. The tissues were blocked in 1% BSA for 20 minutes at room temperature, washed with ddH2O and PBS, and then probed with the primary antibody (NBP3-32209) at 1/200 dilution for 1 hour at room temperature. The detection was performed using an HRP conjugated compact polymer system. DAB was used as the chromogen. Tissues were counterstained with hematoxylin and mounted with DPX.
Complement C5 Antibody (PSH04-01)

Immunocytochemistry/ Immunofluorescence: Complement C5 Antibody (PSH04-01) [NBP3-32209]

Immunocytochemistry/ Immunofluorescence: Complement C5 Antibody (PSH04-01) [NBP3-32209] - Immunocytochemistry analysis of HepG2 cells labeling Complement C5 with Rabbit anti-Complement C5 antibody (NBP3-32209) at 1/100 dilution.

Cells were fixed in 4% paraformaldehyde for 20 minutes at room temperature, permeabilized with 0.1% Triton X-100 in PBS for 5 minutes at room temperature, then blocked with 1% BSA in 10% negative goat serum for 1 hour at room temperature. Cells were then incubated with Rabbit anti-Complement C5 antibody (NBP3-32209) at 1/100 dilution in 1% BSA in PBST overnight at 4 ℃. Goat Anti-Rabbit IgG H&L (iFluor™ 488) was used as the secondary antibody at 1/1,000 dilution. PBS instead of the primary antibody was used as the secondary antibody only control. Nuclear DNA was labelled in blue with DAPI.

Beta tubulin (red) was stained at 1/100 dilution overnight at +4℃. Goat Anti-Mouse IgG H&L (iFluor™ 594) was used as the secondary antibody at 1/1,000 dilution.

Applications for Complement C5 Antibody (PSH04-01)

Application
Recommended Usage

Flow Cytometry

1:1000

Immunocytochemistry/ Immunofluorescence

1:100

Immunohistochemistry-Paraffin

1:200

Western Blot

1:2000

Formulation, Preparation, and Storage

Purification

Protein A purified

Formulation

PBS (pH7.4), 0.1% BSA and 40% Glycerol

Preservative

0.05% Sodium Azide

Concentration

1 mg/ml

Shipping

The product is shipped with polar packs. Upon receipt, store it immediately at the temperature recommended below.

Stability & Storage

Store at 4C short term. Aliquot and store at -20C long term. Avoid freeze-thaw cycles.

Background: Complement C5

C5 is synthesised in the liver as a single polypeptide chain. Before secretion the molecule is glycosylated and secreted into plasma as a 190kDa glycoprotein consisting of a disulphide linked alpha-chain (115kDa) and beta-chain (75kDa). C5 occurs in plasma at about 75mg/L. It is activated via either the classical or the alternative complement pathway, by protoelytic cleavage of C5a (11.5kDa) from the N-terminal of the alpha-chain. C5a is a potent anaphylotoxin and stimulates directed migration of neutrophils, eosinophils, basophils and monocytes. The other fragment, C5b,initiates the assembly of the membrane attack complex that mediates the cytolysis of viral and bacterial pathogens.

Alternate Names

anaphylatoxin C5a analog, C3 and PZP-like alpha-2-macroglobulin domain-containing protein 4, C5, complement C5, complement component 5, CPAMD4MGC142298, FLJ17816, FLJ17822

Gene Symbol

C5

Additional Complement C5 Products

Product Documents for Complement C5 Antibody (PSH04-01)

Certificate of Analysis

To download a Certificate of Analysis, please enter a lot number in the search box below.

Product Specific Notices for Complement C5 Antibody (PSH04-01)

This product is for research use only and is not approved for use in humans or in clinical diagnosis. Primary Antibodies are guaranteed for 1 year from date of receipt.

Loading...
Loading...
Loading...
Loading...
Loading...