Complement C4d Antibody (C4D204)
Novus Biologicals, part of Bio-Techne | Catalog # NBP2-34234
Conjugate
Catalog #
Forumulation
Catalog #
Key Product Details
Species Reactivity
Validated:
Human
Cited:
Human
Applications
Validated:
Immunohistochemistry, Immunohistochemistry-Paraffin, ELISA, Immunocytochemistry/ Immunofluorescence
Cited:
Immunocytochemistry/ Immunofluorescence
Label
Unconjugated
Antibody Source
Monoclonal Mouse IgG1 kappa Clone # C4D204
Concentration
0.2 mg/ml
Product Specifications
Immunogen
Recombinant human Complement Complement C4d protein
Localization
Intracytoplasmic vacuoles of endothelial cells and Secreted
Specificity
This monoclonal antibody is specific to Complement 4d (C4d) and reacts with the secreted as well as cell-bound C4d.C4d is a degradation product of the activated complement factor C4b. Complement 4b is typically activated by binding of Abs to specific target molecules. Following activation and degradation of the C4 molecule, thio-ester groups are exposed, which allow transient, covalent binding of the degradation product Complement 4d to endothelial cell surfaces and extracellular matrix components of vascular basement membranes near the sites of C4 activation. The presence of C4d in peritubular capillaries is a key indicator for acute humoral (i.e. antibody-mediated) rejection of kidney, heart, pancreas and lung allografts. As an established marker of antibody-mediated acute renal allograft rejection and its proclivity for endothelium, this component can be detected in peritubular capillaries in chronic renal allograft rejection as well as hyperacute rejection, acute vascular rejection, acute cellular rejection, and borderline rejection. It has been shown to be a significant predictor of transplant kidney graft survival. Anti-C4d, combined with anti-C3d, can be utilized as a tool for diagnosis of allograft rejection that may warrant a prompt and aggressive anti-rejection treatment.
Marker
Acute Humoral Rejection Marker
Clonality
Monoclonal
Host
Mouse
Isotype
IgG1 kappa
Theoretical MW
192 kDa.
Disclaimer note: The observed molecular weight of the protein may vary from the listed predicted molecular weight due to post translational modifications, post translation cleavages, relative charges, and other experimental factors.
Disclaimer note: The observed molecular weight of the protein may vary from the listed predicted molecular weight due to post translational modifications, post translation cleavages, relative charges, and other experimental factors.
Description
200ug/ml of antibody purified from Bioreactor Concentrate by Protein A or G. Prepared in 10 mM PBS with 0.05% BSA & 0.05% azide. Also available WITHOUT BSA & azide at 1.0 mg/ml. (NBP2-34581)
Antibody with azide - store at 2 to 8C. Antibody without azide - store at -20 to -80C.
Antibody with azide - store at 2 to 8C. Antibody without azide - store at -20 to -80C.
Scientific Data Images for Complement C4d Antibody (C4D204)
Immunohistochemistry-Paraffin: Complement C4d Antibody (C4D204) [NBP2-34234]
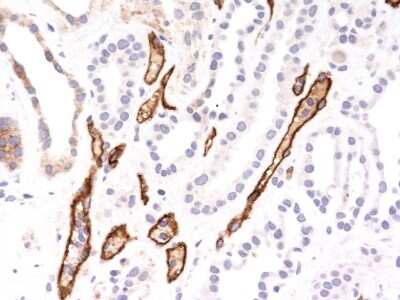
Immunohistochemistry-Paraffin: Complement C4d Antibody (C4D204) [NBP2-34234] - Formalin-fixed, paraffin-embedded human kidney transplant tissue (20X) stained with Complement 4d MAb (C4D204).Immunohistochemistry-Paraffin: Complement C4d Antibody (C4D204) [NBP2-34234]
Immunohistochemistry-Paraffin: Complement C4d Antibody (C4D204) [NBP2-34234] - Formalin-fixed, paraffin-embedded human kidney transplant tissue (10X) stained with Complement 4d MAb (C4D204).Immunohistochemistry-Paraffin: Complement C4d Antibody (C4D204) [NBP2-34234]
Immunohistochemistry-Paraffin: Complement C4d Antibody (C4D204) [NBP2-34234] - Formalin-fixed, paraffin-embedded human kidney transplant tissue (40X) stained with Complement 4d Ab (C4D204).Applications for Complement C4d Antibody (C4D204)
Application
Recommended Usage
ELISA
1-2 ug/ml
Immunocytochemistry/ Immunofluorescence
1:50-1:100
Immunohistochemistry-Paraffin
1:200-1:400
Application Notes
ELISA: For coating use Ab at 1-2ug/ml, order Ab without BSA.
Immunohistochemistry (Formalin-fixed): 1:200-1:400 for 30 minutes at RT. Staining of formalin-fixed tissues requires heating tissue sections in 1mM EDTA, pH 7.5-8.5, for 45 min at 95C followed by cooling at RT for 20 minutes.
Optimal dilution for a specific application should be determined.
Immunohistochemistry (Formalin-fixed): 1:200-1:400 for 30 minutes at RT. Staining of formalin-fixed tissues requires heating tissue sections in 1mM EDTA, pH 7.5-8.5, for 45 min at 95C followed by cooling at RT for 20 minutes.
Optimal dilution for a specific application should be determined.
Reviewed Applications
Read 1 review rated 5 using NBP2-34234 in the following applications:
Formulation, Preparation, and Storage
Purification
Protein A or G purified
Formulation
10 mM PBS with 0.05% BSA
Preservative
0.05% Sodium Azide
Concentration
0.2 mg/ml
Shipping
The product is shipped with polar packs. Upon receipt, store it immediately at the temperature recommended below.
Stability & Storage
Store at 4C.
Background: Complement C4d
Alternate Names
C4, C4A, C4A2, C4A3, C4A4, C4A6, C4S, CO4, complement C4A, CPAMD2, RG
Gene Symbol
C4A
Additional Complement C4d Products
Product Documents for Complement C4d Antibody (C4D204)
Product Specific Notices for Complement C4d Antibody (C4D204)
This product is for research use only and is not approved for use in humans or in clinical diagnosis. Primary Antibodies are guaranteed for 1 year from date of receipt.
Loading...
Loading...
Loading...
Loading...