Skip to main content

Complement C3 Antibody - BSA Free

Novus Biologicals, part of Bio-Techne | Catalog # NBP1-85492

Novus Biologicals, part of Bio-Techne
Catalog #
Availability
Size / Price
Qty
Loading...
NBP1-85492
NBP1-85492-25ul

Key Product Details

Validated by

Independent Antibodies

Species Reactivity

Human

Applications

Immunohistochemistry, Immunohistochemistry-Paraffin

Label

Unconjugated

Antibody Source

Polyclonal Rabbit IgG

Format

BSA Free

Concentration

Concentrations vary lot to lot. See vial label for concentration. If unlisted please contact technical services.

Product Specifications

Immunogen

This Complement C3 Antibody was developed against recombinant protein corresponding to amino acids: KVRVELLHNPAFCSLATTKRRHQQTVTIPPKSSLSVPYVIVPLKTGLQEVEVKAAVYHHFISDGVRKSLKVVPEGIRMNKTVAVRTLDPERLGREGVQKEDIPPADLSDQVPDTESETRILLQGTPVAQMTEDAVDAERLKHL

Reactivity Notes

Rat (83%).

Clonality

Polyclonal

Host

Rabbit

Isotype

IgG

Theoretical MW

187 kDa.
Disclaimer note: The observed molecular weight of the protein may vary from the listed predicted molecular weight due to post translational modifications, post translation cleavages, relative charges, and other experimental factors.

Description

Novus Biologicals Rabbit Complement C3 Antibody - BSA Free (NBP1-85492) is a polyclonal antibody validated for use in IHC. All Novus Biologicals antibodies are covered by our 100% guarantee.

Scientific Data Images for Complement C3 Antibody - BSA Free

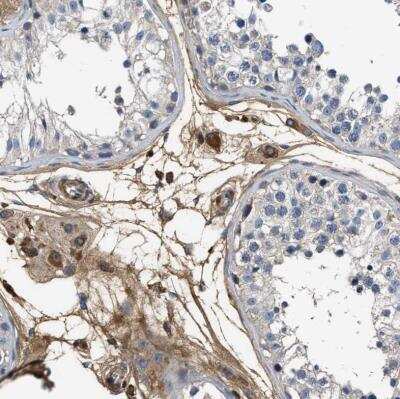
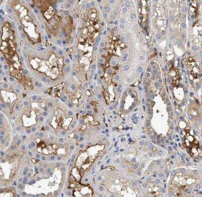
Immunohistochemistry-Paraffin: Complement C3 Antibody [NBP1-85492]

Immunohistochemistry-Paraffin: Complement C3 Antibody [NBP1-85492]

Immunohistochemistry-Paraffin: Complement C3 Antibody [NBP1-85492] - Staining of human adipose tissue, kidney, lung and testis using Anti-Complement C3 antibody NBP1-85492 (A) shows similar protein distribution across tissues to independent antibody NBP1-85493 (B).
Immunohistochemistry-Paraffin: Complement C3 Antibody [NBP1-85492]

Immunohistochemistry-Paraffin: Complement C3 Antibody [NBP1-85492]

Immunohistochemistry-Paraffin: Complement C3 Antibody [NBP1-85492] - Staining of human adipose tissue shows moderate extracellular space positivity in adipocytes.
Immunohistochemistry-Paraffin: Complement C3 Antibody [NBP1-85492]

Immunohistochemistry-Paraffin: Complement C3 Antibody [NBP1-85492]

Immunohistochemistry-Paraffin: Complement C3 Antibody [NBP1-85492] - Staining of human lung shows strong extracellular space positivity in macrophages.

Applications for Complement C3 Antibody - BSA Free

Application
Recommended Usage

Immunohistochemistry

1:2500 - 1:5000

Immunohistochemistry-Paraffin

1:2500 - 1:5000
Application Notes
For IHC-Paraffin, HIER pH 6 retrieval is recommended.

Formulation, Preparation, and Storage

Purification

Immunogen affinity purified

Formulation

PBS (pH 7.2), 40% Glycerol

Format

BSA Free

Preservative

0.02% Sodium Azide

Concentration

Concentrations vary lot to lot. See vial label for concentration. If unlisted please contact technical services.

Shipping

The product is shipped with polar packs. Upon receipt, store it immediately at the temperature recommended below.

Stability & Storage

Store at 4C short term. Aliquot and store at -20C long term. Avoid freeze-thaw cycles.

Background: Complement C3

The complement system, or complement cascade, is a part of the innate immune system that assists in defense against pathogens (1-3). Complement C3, also called C3 or C3 protein, is one of nine complement proteins and is the main component of the complement system which is composed of over 30 soluble and membrane-bound proteins (1,4). The complement cascade consists of three main pathways: the classical, the lectin, and the alternative, all of which converge into a common pathway involving C3 cleavage by C3-convertases (1-6). Human Complement C3 is synthesized as a protein of 1663 amino acids (aa) in length with a theoretical molecular weight of ~185 kDa (5). Complement C3 is the most prevalent human complement protein in the serum, with a concentration of 1.2 mg/mL, and is predominantly produced by hepatocytes in the liver, but is also synthesized by blood cells and epithelial cells (3,5). Furthermore, the structure of C3 is comprised of an alpha-chain (110 kDa) and a beta-chain (75 kDa) linked by a disulfide bond (5). Cleavage of inactive C3 by C3-convertases produces active C3a, which functions as a mediator of inflammation, and C3b, which is an opsonin (1-4). In addition to amplification of complement response, C3 fragments serve multiple additional functions including chemotaxis, phagocytosis, adhesion, and immune modulation (3). Complement C3 serves dual purposes where it is involved in pathogenesis and immunity but, conversely, cellular damage results from unregulated C3 activation (5).

Both elevated levels and reduced levels of Complement C3 has been implicated in diseases pathologies (6). Deficiency in Complement proteins can result in autoimmune disorders including systemic lupus erythematosus, which is more often associated with C1 or C4 deficiency and only rarely with C3 deficiency (6). However, C3 deficiency typically results in increased risk of recurrent bacterial infections and glomerulonephritis, characterized by inflammation of the filtering glomeruli in the kidneys (6). Additionally, elevated levels of C3a and C4a is seen in patients with antiphospholipid antibody syndrome (6). Serum levels of C3 are also higher in rheumatoid arthritis cases (6). The complement system has become a target for drugs and therapeutics aimed at modulating innate immunity (7). For instance, compstatin is a peptide that binds to C3, inhibiting convertase activity and cleavage and can be used to treat diseases associated with uncontrolled C3 activation (7). C3-inhibitors and other complement inhibitors are a promising drug candidate for treatment of many diseases (7).

References

1. Mathern, D. R., & Heeger, P. S. (2015). Molecules Great and Small: The Complement System. Clinical Journal of the American Society of Nephrology: CJASN. https://doi.org/10.2215/CJN.06230614

2. Merle, N. S., Church, S. E., Fremeaux-Bacchi, V., & Roumenina, L. T. (2015). Complement System Part I - Molecular Mechanisms of Activation and Regulation. Frontiers in Immunology. https://doi.org/10.3389/fimmu.2015.00262

3. Ricklin, D., Reis, E. S., Mastellos, D. C., Gros, P., & Lambris, J. D. (2016). Complement component C3 - The "Swiss Army Knife" of innate immunity and host defense. Immunological Reviews. https://doi.org/10.1111/imr.12500

4. Merle, N. S., Noe, R., Halbwachs-Mecarelli, L., Fremeaux-Bacchi, V., & Roumenina, L. T. (2015). Complement System Part II: Role in Immunity. Frontiers in Immunology. https://doi.org/10.3389/fimmu.2015.00257

5. Sahu, A., & Lambris, J. D. (2001). Structure and biology of complement protein C3, a connecting link between innate and acquired immunity. Immunological Reviews. https://doi.org/10.1034/j.1600-065x.2001.1800103.x

6. Vignesh, P., Rawat, A., Sharma, M., & Singh, S. (2017). Complement in autoimmune diseases. Clinica Chimica Acta; International Journal of Clinical Chemistry. https://doi.org/10.1016/j.cca.2016.12.017

7. Mastellos, D. C., Yancopoulou, D., Kokkinos, P., Huber-Lang, M., Hajishengallis, G., Biglarnia, A. R., Lupu, F., Nilsson, B., Risitano, A. M., Ricklin, D., & Lambris, J. D. (2015). Compstatin: a C3-targeted complement inhibitor reaching its prime for bedside intervention. European Journal of Clinical Investigation. https://doi.org/10.1111/eci.12419

Alternate Names

Acylation Stimulating Protein, acylation-stimulating protein cleavage product, AHUS5, ARMD9, ASP, C3, C3 and PZP-like alpha-2-macroglobulin domain-containing protein 1, C3a, C3a anaphylatoxin, C3adesArg, C3b, C3bc, C3-beta-c, complement C3, Complement C3 alpha chain, Complement C3 beta chain, Complement C3b alpha' chain, Complement C3c alpha' chain fragment 1, Complement C3c alpha' chain fragment 2, Complement C3d fragment, Complement C3dg fragment, Complement C3f fragment, Complement C3g fragment, complement component 3, complement component C3, complement component C3a, complement component C3b, CPAMD1, EC 3.4.21.43, epididymis secretory sperm binding protein Li 62p, HEL-S-62p, prepro-C3

Gene Symbol

C3

Additional Complement C3 Products

Product Documents for Complement C3 Antibody - BSA Free

Certificate of Analysis

To download a Certificate of Analysis, please enter a lot number in the search box below.

Product Specific Notices for Complement C3 Antibody - BSA Free

This product is for research use only and is not approved for use in humans or in clinical diagnosis. Primary Antibodies are guaranteed for 1 year from date of receipt.

Loading...
Loading...
Loading...
Loading...
Loading...