Skip to main content

Complement C3 Antibody (11H9) - Azide and BSA Free

Novus Biologicals, part of Bio-Techne | Catalog # NBP2-80677

Novus Biologicals, part of Bio-Techne

Key Product Details

Validated by

Biological Validation

Species Reactivity

Mouse, E. coli

Applications

Immunohistochemistry, Immunohistochemistry-Paraffin, Immunohistochemistry-Frozen, Immunoassay, Flow Cytometry, Flow (Intracellular), Immunocytochemistry/ Immunofluorescence, Immunoprecipitation, CyTOF-ready

Label

Unconjugated

Antibody Source

Monoclonal Rat IgG2A Clone # 11H9

Format

Azide and BSA Free

Concentration

1 mg/ml

Product Specifications

Immunogen

This Complement C3 Antibody (11H9) was developed against C57BL/6 thymocytes saturated with rat anti-Thy-1 monoclonal antibody of IgG2b subclass (RmT1).

Localization

Secreted

Clonality

Monoclonal

Host

Rat

Isotype

IgG2A

Theoretical MW

187 kDa.
Disclaimer note: The observed molecular weight of the protein may vary from the listed predicted molecular weight due to post translational modifications, post translation cleavages, relative charges, and other experimental factors.

Description

Novus Biologicals Rat Complement C3 Antibody (11H9) - Azide and BSA Free (NB200-540) is a monoclonal antibody validated for use in IHC, Flow, ICC/IF and IP. All Novus Biologicals antibodies are covered by our 100% guarantee.

Scientific Data Images for Complement C3 Antibody (11H9) - Azide and BSA Free

Immunocytochemistry: Complement C3 Antibody (11H9) - Azide and BSA Free [NBP2-80677]

Immunocytochemistry: Complement C3 Antibody (11H9) - Azide and BSA Free [NBP2-80677]

Immunocytochemistry: Complement C3 Antibody (11H9) - Azide and BSA Free [NBP2-80677] - Complement C3 protein in a FFPE tissue section of mouse lymph node using 1:100 dilution of Complement C3 antibody (clone 11H9) NB200-540. This representative photomicrograph shows a membrane-cytoplasmic immunopositivity in non-germinal center cells.
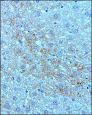
Immunohistochemistry: Complement C3 Antibody (11H9) - Azide and BSA Free [NBP2-80677]

Immunohistochemistry: Complement C3 Antibody (11H9) - Azide and BSA Free [NBP2-80677]

Immunohistochemistry: Complement C3 Antibody (11H9) - Azide and BSA Free [NBP2-80677] - Complement C3 protein in a FFPE tissue section of mouse liver using 1:100 dilution of Complement C3 antibody (clone 11H9) NB200-540. Weak but distinct membrane-cytoplasmic immunopositivity was observed in hepatocytes.
Flow Cytometry: Complement C3 Antibody (11H9) - Azide and BSA Free [NBP2-80677]

Flow Cytometry: Complement C3 Antibody (11H9) - Azide and BSA Free [NBP2-80677]

Flow Cytometry: Complement C3 Antibody (11H9) - Azide and BSA Free [NBP2-80677] - Left panel: FMO. Middle panel: No primary antibody control. Right panel: sample. Day 6 murine mammary tumors processed and stained for analysis with flow cytometry. The C3b+ population of CD45+ cells is what the gate in each sample is exhibiting. Image from the standard format of this antibody. Flow cytometry image submitted by a verified customer review.

Applications for Complement C3 Antibody (11H9) - Azide and BSA Free

Application
Recommended Usage

Flow Cytometry

1-2 ug/ml

Immunoassay

0.5 ug

Immunocytochemistry/ Immunofluorescence

1:10-1:500

Immunohistochemistry

1:10-1:500

Immunohistochemistry-Frozen

1:10-1:500

Immunohistochemistry-Paraffin

1:10-1:500

Immunoprecipitation

1:10-1:500

Formulation, Preparation, and Storage

Purification

Protein G purified

Formulation

PBS

Format

Azide and BSA Free

Preservative

No Preservative

Concentration

1 mg/ml

Shipping

The product is shipped with polar packs. Upon receipt, store it immediately at the temperature recommended below.

Stability & Storage

Store at 4C short term. Aliquot and store at -20C long term. Avoid freeze-thaw cycles.

Background: Complement C3

The complement system, or complement cascade, is a part of the innate immune system that assists in defense against pathogens (1-3). Complement C3, also called C3 or C3 protein, is one of nine complement proteins and is the main component of the complement system which is composed of over 30 soluble and membrane-bound proteins (1,4). The complement cascade consists of three main pathways: the classical, the lectin, and the alternative, all of which converge into a common pathway involving C3 cleavage by C3-convertases (1-6). Human Complement C3 is synthesized as a protein of 1663 amino acids (aa) in length with a theoretical molecular weight of ~185 kDa (5). Complement C3 is the most prevalent human complement protein in the serum, with a concentration of 1.2 mg/mL, and is predominantly produced by hepatocytes in the liver, but is also synthesized by blood cells and epithelial cells (3,5). Furthermore, the structure of C3 is comprised of an alpha-chain (110 kDa) and a beta-chain (75 kDa) linked by a disulfide bond (5). Cleavage of inactive C3 by C3-convertases produces active C3a, which functions as a mediator of inflammation, and C3b, which is an opsonin (1-4). In addition to amplification of complement response, C3 fragments serve multiple additional functions including chemotaxis, phagocytosis, adhesion, and immune modulation (3). Complement C3 serves dual purposes where it is involved in pathogenesis and immunity but, conversely, cellular damage results from unregulated C3 activation (5).

Both elevated levels and reduced levels of Complement C3 has been implicated in diseases pathologies (6). Deficiency in Complement proteins can result in autoimmune disorders including systemic lupus erythematosus, which is more often associated with C1 or C4 deficiency and only rarely with C3 deficiency (6). However, C3 deficiency typically results in increased risk of recurrent bacterial infections and glomerulonephritis, characterized by inflammation of the filtering glomeruli in the kidneys (6). Additionally, elevated levels of C3a and C4a is seen in patients with antiphospholipid antibody syndrome (6). Serum levels of C3 are also higher in rheumatoid arthritis cases (6). The complement system has become a target for drugs and therapeutics aimed at modulating innate immunity (7). For instance, compstatin is a peptide that binds to C3, inhibiting convertase activity and cleavage and can be used to treat diseases associated with uncontrolled C3 activation (7). C3-inhibitors and other complement inhibitors are a promising drug candidate for treatment of many diseases (7).

References

1. Mathern, D. R., & Heeger, P. S. (2015). Molecules Great and Small: The Complement System. Clinical Journal of the American Society of Nephrology: CJASN. https://doi.org/10.2215/CJN.06230614

2. Merle, N. S., Church, S. E., Fremeaux-Bacchi, V., & Roumenina, L. T. (2015). Complement System Part I - Molecular Mechanisms of Activation and Regulation. Frontiers in Immunology. https://doi.org/10.3389/fimmu.2015.00262

3. Ricklin, D., Reis, E. S., Mastellos, D. C., Gros, P., & Lambris, J. D. (2016). Complement component C3 - The "Swiss Army Knife" of innate immunity and host defense. Immunological Reviews. https://doi.org/10.1111/imr.12500

4. Merle, N. S., Noe, R., Halbwachs-Mecarelli, L., Fremeaux-Bacchi, V., & Roumenina, L. T. (2015). Complement System Part II: Role in Immunity. Frontiers in Immunology. https://doi.org/10.3389/fimmu.2015.00257

5. Sahu, A., & Lambris, J. D. (2001). Structure and biology of complement protein C3, a connecting link between innate and acquired immunity. Immunological Reviews. https://doi.org/10.1034/j.1600-065x.2001.1800103.x

6. Vignesh, P., Rawat, A., Sharma, M., & Singh, S. (2017). Complement in autoimmune diseases. Clinica Chimica Acta; International Journal of Clinical Chemistry. https://doi.org/10.1016/j.cca.2016.12.017

7. Mastellos, D. C., Yancopoulou, D., Kokkinos, P., Huber-Lang, M., Hajishengallis, G., Biglarnia, A. R., Lupu, F., Nilsson, B., Risitano, A. M., Ricklin, D., & Lambris, J. D. (2015). Compstatin: a C3-targeted complement inhibitor reaching its prime for bedside intervention. European Journal of Clinical Investigation. https://doi.org/10.1111/eci.12419

Alternate Names

Acylation Stimulating Protein, acylation-stimulating protein cleavage product, AHUS5, ARMD9, ASP, C3, C3 and PZP-like alpha-2-macroglobulin domain-containing protein 1, C3a, C3a anaphylatoxin, C3adesArg, C3b, C3bc, C3-beta-c, complement C3, Complement C3 alpha chain, Complement C3 beta chain, Complement C3b alpha' chain, Complement C3c alpha' chain fragment 1, Complement C3c alpha' chain fragment 2, Complement C3d fragment, Complement C3dg fragment, Complement C3f fragment, Complement C3g fragment, complement component 3, complement component C3, complement component C3a, complement component C3b, CPAMD1, EC 3.4.21.43, epididymis secretory sperm binding protein Li 62p, HEL-S-62p, prepro-C3

Gene Symbol

C3

Additional Complement C3 Products

Product Documents for Complement C3 Antibody (11H9) - Azide and BSA Free

Certificate of Analysis

To download a Certificate of Analysis, please enter a lot number in the search box below.

Product Specific Notices for Complement C3 Antibody (11H9) - Azide and BSA Free

This product is for research use only and is not approved for use in humans or in clinical diagnosis. Primary Antibodies are guaranteed for 1 year from date of receipt.

Loading...
Loading...
Loading...
Loading...
Loading...
Loading...