Skip to main content

Collagen I alpha 1 Antibody - BSA Free

Novus Biologicals, part of Bio-Techne | Catalog # NBP1-82489

Novus Biologicals, part of Bio-Techne
Catalog #
Availability
Size / Price
Qty
Loading...
NBP1-82489
NBP1-82489-25ul

Key Product Details

Species Reactivity

Validated:

Human

Predicted:

Mouse (90%), Rat (91%). Backed by our 100% Guarantee.

Applications

Immunohistochemistry, Immunohistochemistry-Paraffin

Label

Unconjugated

Antibody Source

Polyclonal Rabbit IgG

Format

BSA Free

Concentration

Concentrations vary lot to lot. See vial label for concentration. If unlisted please contact technical services.

Product Specifications

Immunogen

This Collagen I alpha 1 antibody was developed against Recombinant Protein corresponding to amino acids: NLDAIKVFCNMETGETCVYPTQPSVAQKNWYISKNPKDKRHVWFGESMTDGFQFEYGGQGSDPADVAIQLTFLRLMSTEASQNITYHCKNSVAYMDQQTGNLK

Clonality

Polyclonal

Host

Rabbit

Isotype

IgG

Theoretical MW

139 kDa.
Disclaimer note: The observed molecular weight of the protein may vary from the listed predicted molecular weight due to post translational modifications, post translation cleavages, relative charges, and other experimental factors.

Scientific Data Images for Collagen I alpha 1 Antibody - BSA Free

Immunohistochemistry-Paraffin: Collagen I alpha 1 Antibody [NBP1-82489]

Immunohistochemistry-Paraffin: Collagen I alpha 1 Antibody [NBP1-82489]

Immunohistochemistry-Paraffin: Collagen I alpha 1 Antibody [NBP1-82489] - Staining of human endometrium shows strong extracellular space positivity in the stroma.
Immunohistochemistry-Paraffin: Collagen I alpha 1 Antibody [NBP1-82489]

Immunohistochemistry-Paraffin: Collagen I alpha 1 Antibody [NBP1-82489]

Immunohistochemistry-Paraffin: Collagen I alpha 1 Antibody [NBP1-82489] - Staining of human placenta shows moderate staining in extracellular space in endothelial lumina.
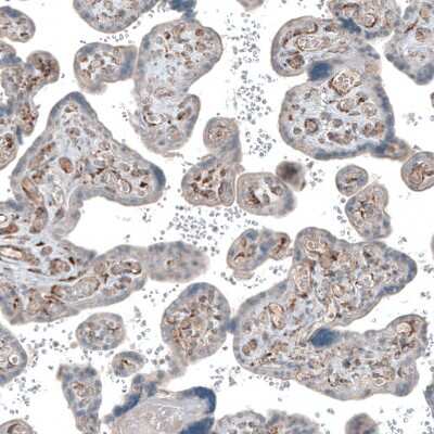
Immunohistochemistry-Paraffin: Collagen I alpha 1 Antibody [NBP1-82489]

Immunohistochemistry-Paraffin: Collagen I alpha 1 Antibody [NBP1-82489]

Immunohistochemistry-Paraffin: Collagen I alpha 1 Antibody [NBP1-82489] - Staining of human prostate shows weak cytoplasmic positivity in smooth muscle cells.

Applications for Collagen I alpha 1 Antibody - BSA Free

Application
Recommended Usage

Immunohistochemistry

1:50 - 1:200

Immunohistochemistry-Paraffin

1:50 - 1:200
Application Notes
For IHC-Paraffin, HIER pH 6 retrieval is recommended.

Formulation, Preparation, and Storage

Purification

Affinity purified

Formulation

PBS (pH 7.2) and 40% Glycerol

Format

BSA Free

Preservative

0.02% Sodium Azide

Concentration

Concentrations vary lot to lot. See vial label for concentration. If unlisted please contact technical services.

Shipping

The product is shipped with polar packs. Upon receipt, store it immediately at the temperature recommended below.

Stability & Storage

Store at 4C short term. Aliquot and store at -20C long term. Avoid freeze-thaw cycles.

Background: Collagen I alpha 1

Collagen is an extracellular matrix protein that serves as a scaffold defining the shape and mechanical properties of many tissues and organs including skin, tendon, artery walls, fibrocartilage, bone and teeth. Collagens are highly conserved and are characterized by an uninterrupted "Glycine X Y" triplet repeat that is a necessary part of the triple helical structure. The extensive family of collagens is composed of several chain types, including fibril-forming interstitial collagens (types I, II, III and V) and basement membrane collagens (type IV), each type containing multiple isoforms. Collagen type I (also known as collagen alpha, COL1A1, and alpha-1 type I collagen) is the largest component of fibrillar collagen found in cartilage and connective tissues. It is synthesized by fibroblasts, osteoblasts, and odontoblasts and has a theoretical molecular weight of 138 kDa.

Type I collagen is a fibril-forming collagen found in most connective tissues and is abundant in bone, cornea, dermis and tendon tissue. Collagens are fibrous, extracellular matrix proteins with high tensile strength and are the major components of connective tissue. Several collagens play a role in cell adhesion, responsible for maintaining normal tissue architecture and function. All collagens contain a triple helix domain and frequently show lateral self-association in order to form complex connective tissues. Post-Golgi LH3 trafficking is essential for collagen homeostasis and for the development and function of multiple organs and tissues (1).

The COL1A1 gene encodes the pro-alpha1 chains of type I collagen protein, whose triple helix is comprised of two alpha1 chains and one alpha2 chain. Mutations in the encoding COL1A1 gene are associated with brittle bone disease (Osteogenesis Imperfecta), cortical hyperostosis (Caffey disease) and disorders that affect the connective tissues (Ehlers-Danlos syndrome) (2). Studies have found that HIF-1 transcription regulation of collagen prolyl hydroxylases regulates collagen deposition, promoting cancer cell alignment along collagen fibers, which enhances invasion and metastasis to lymph nodes and lung tissue by breast cancer cells (3).

References

1. Banushi, B., Forneris, F., Straatman-Iwanowska, A., Strange, A., Lyne, A. M., Rogerson, C., . . . Gissen, P. (2016). Regulation of post-Golgi LH3 trafficking is essential for collagen homeostasis. Nat Commun, 7, 12111. doi:10.1038/ncomms12111

2. Lu, Y., Zhang, S., Wang, Y., Ren, X., & Han, J. (2019). Molecular mechanisms and clinical manifestations of rare genetic disorders associated with type I collagen. Intractable Rare Dis Res, 8(2), 98-107. doi:10.5582/irdr.2019.01064

3. Gilkes, D. M., Chaturvedi, P., Bajpai, S., Wong, C. C., Wei, H., Pitcairn, S., . . . Semenza, G. L. (2013). Collagen prolyl hydroxylases are essential for breast cancer metastasis. Cancer Res, 73(11), 3285-3296. doi:10.1158/0008-5472.Can-12-3963

Alternate Names

COL1A1, OI4

Gene Symbol

COL1A1

Additional Collagen I alpha 1 Products

Product Documents for Collagen I alpha 1 Antibody - BSA Free

Certificate of Analysis

To download a Certificate of Analysis, please enter a lot number in the search box below.

Product Specific Notices for Collagen I alpha 1 Antibody - BSA Free

This product is for research use only and is not approved for use in humans or in clinical diagnosis. Primary Antibodies are guaranteed for 1 year from date of receipt.

Loading...
Loading...
Loading...
Loading...
Loading...