Skip to main content

Cofilin Antibody (PSH01-44)

Novus Biologicals, part of Bio-Techne | Catalog # NBP3-32207

Recombinant Monoclonal Antibody
Novus Biologicals, part of Bio-Techne
Catalog #
Availability
Size / Price
Qty
Loading...
NBP3-32207

Key Product Details

Species Reactivity

Human, Mouse, Rat, Monkey

Applications

Flow Cytometry, Immunocytochemistry/ Immunofluorescence, Immunohistochemistry, Immunohistochemistry-Paraffin, Western Blot

Label

Unconjugated

Antibody Source

Recombinant Monoclonal Rabbit IgG Clone # PSH01-44 expressed in HEK293

Concentration

1 mg/ml

Product Specifications

Immunogen

Synthetic peptide within human Cofilin aa 51-100 / 166. (Uniprot: P23528)

Localization

Nucleus matrix, Cytoplasm, Cytoskeleton, Cell projection.

Clonality

Monoclonal

Host

Rabbit

Isotype

IgG

Theoretical MW

19 kDa.
Disclaimer note: The observed molecular weight of the protein may vary from the listed predicted molecular weight due to post translational modifications, post translation cleavages, relative charges, and other experimental factors.

Description

Novus Biologicals Rabbit Cofilin Antibody (PSH01-44) (NBP3-32207) is a recombinant monoclonal antibody validated for use in IHC, WB, Flow and ICC/IF. All Novus Biologicals antibodies are covered by our 100% guarantee.

Scientific Data Images for Cofilin Antibody (PSH01-44)

Cofilin Antibody (PSH01-44)

Western Blot: Cofilin Antibody (PSH01-44) [NBP3-32207]

Western Blot: Cofilin Antibody (PSH01-44) [NBP3-32207] - Western blot analysis of Cofilin on different lysates with Rabbit anti-Cofilin antibody (NBP3-32207) at 1/1,000 dilution.

Lane 1: Hela cell lysate (30 ug/Lane)
Lane 2: HEK-293 cell lysate (30 ug/Lane)
Lane 3: MCF7 cell lysate (30 ug/Lane)
Lane 4: MDA-MB-468 cell lysate (30 ug/Lane)
Lane 5: SH-SY5Y cell lysate (30 ug/Lane)
Lane 6: HUVEC cell lysate (30 ug/Lane)
Lane 7: Jurkat cell lysate (30 ug/Lane)
Lane 8: COS-1 cell lysate (30 ug/Lane)
Lane 9: VERO cell lysate (30 ug/Lane)
Lane 10: NIH/3T3 cell lysate (30 ug/Lane)
Lane 11: PC-12 cell lysate (30 ug/Lane)
Lane 12: Neuro-2a cell lysate (30 ug/Lane)
Lane 13: K-562 cell lysate (30 ug/Lane)
Lane 14: A431 cell lysate (30 ug/Lane)

Predicted band size: 19 kDa
Observed band size: 19 kDa

Exposure time: 2 minutes 37 seconds;

4-20% SDS-PAGE gel.

Proteins were transferred to a PVDF membrane and blocked with 5% NFDM/TBST for 1 hour at room temperature. The primary antibody (NBP3-32207) at 1/1,000 dilution was used in 5% NFDM/TBST at room temperature for 2 hours. Goat Anti-Rabbit IgG - HRP Secondary Antibody at 1:100,000 dilution was used for 1 hour at room temperature.
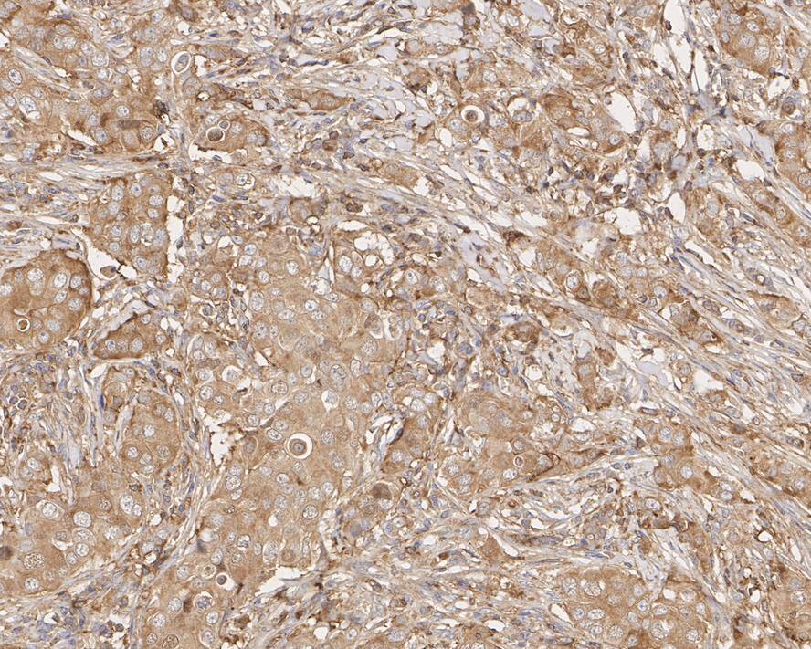
Cofilin Antibody (PSH01-44)

Immunohistochemistry: Cofilin Antibody (PSH01-44) [NBP3-32207]

Immunohistochemistry: Cofilin Antibody (PSH01-44) [NBP3-32207] - Immunohistochemical analysis of paraffin-embedded human breast carcinoma tissue with Rabbit anti-Cofilin antibody (NBP3-32207) at 1/100 dilution.

The section was pre-treated using heat mediated antigen retrieval with sodium citrate buffer (pH 6.0) for 2 minutes. The tissues were blocked in 1% BSA for 20 minutes at room temperature, washed with ddH2O and PBS, and then probed with the primary antibody (NBP3-32207) at 1/100 dilution for 1 hour at room temperature. The detection was performed using an HRP conjugated compact polymer system. DAB was used as the chromogen. Tissues were counterstained with hematoxylin and mounted with DPX.
Cofilin Antibody (PSH01-44)

Immunocytochemistry/ Immunofluorescence: Cofilin Antibody (PSH01-44) [NBP3-32207]

Immunocytochemistry/ Immunofluorescence: Cofilin Antibody (PSH01-44) [NBP3-32207] - Immunocytochemistry analysis of HeLa cells labeling Cofilin with Rabbit anti-Cofilin antibody (NBP3-32207) at 1/100 dilution.

Cells were fixed in 4% paraformaldehyde for 20 minutes at room temperature, permeabilized with 0.1% Triton X-100 in PBS for 5 minutes at room temperature, then blocked with 1% BSA in 10% negative goat serum for 1 hour at room temperature. Cells were then incubated with Rabbit anti-Cofilin antibody (NBP3-32207) at 1/100 dilution in 1% BSA in PBST overnight at 4 ℃. Goat Anti-Rabbit IgG H&L (iFluor™ 488) was used as the secondary antibody at 1/1,000 dilution. PBS instead of the primary antibody was used as the secondary antibody only control. Nuclear DNA was labelled in blue with DAPI.

Beta tubulin (red) was stained at 1/100 dilution overnight at +4℃. Goat Anti-Mouse IgG H&L (iFluor™ 594) was used as the secondary antibody at 1/1,000 dilution.

Applications for Cofilin Antibody (PSH01-44)

Application
Recommended Usage

Flow Cytometry

1:500-1:1000

Immunocytochemistry/ Immunofluorescence

1:100

Immunohistochemistry-Paraffin

1:100

Western Blot

1:1000

Formulation, Preparation, and Storage

Purification

Protein A purified

Formulation

PBS (pH7.4), 0.1% BSA and 40% Glycerol

Preservative

0.05% Sodium Azide

Concentration

1 mg/ml

Shipping

The product is shipped with polar packs. Upon receipt, store it immediately at the temperature recommended below.

Stability & Storage

Store at 4C short term. Aliquot and store at -20C long term. Avoid freeze-thaw cycles.

Background: CFL1

Cofilin is a widely distributed intracellular actin-modulating protein that binds and depolymerizes filamentous F-actin and inhibits the polymerization of monomeric G-actin in a pH-dependent manner. It is involved in the translocation of actin-cofilin complex from cytoplasm to nucleus.[supplied by OMIM]

Long Name

cofilin 1

Alternate Names

CFL, cofilin, cofilin-1, HEL-S-15

Gene Symbol

CFL1

Additional CFL1 Products

Product Documents for Cofilin Antibody (PSH01-44)

Certificate of Analysis

To download a Certificate of Analysis, please enter a lot number in the search box below.

Product Specific Notices for Cofilin Antibody (PSH01-44)

This product is for research use only and is not approved for use in humans or in clinical diagnosis. Primary Antibodies are guaranteed for 1 year from date of receipt.

Loading...
Loading...
Loading...
Loading...
Loading...