Skip to main content

COBL Antibody - BSA Free

Novus Biologicals, part of Bio-Techne | Catalog # NBP1-89616

Novus Biologicals, part of Bio-Techne
Catalog #
Availability
Size / Price
Qty
Loading...
NBP1-89616
NBP1-89616-25ul

Key Product Details

Validated by

Independent Antibodies

Species Reactivity

Human

Applications

Immunohistochemistry, Immunohistochemistry-Paraffin

Label

Unconjugated

Antibody Source

Polyclonal Rabbit IgG

Format

BSA Free

Concentration

Concentrations vary lot to lot. See vial label for concentration. If unlisted please contact technical services.

Product Specifications

Immunogen

This antibody was developed against Recombinant Protein corresponding to amino acids: KSAHHEGRNPLGEGRNQPPTMGMGHVRVPAAHTTEVTFLKPQRRTSSQYVASAIAKRIGAPKVHADVVRPHGYAEKGYAGKAPVLAAPPVTVKDDRTSSPHSETQGWKDGAQWPCVTPPNNHGEDLAVGA

Clonality

Polyclonal

Host

Rabbit

Isotype

IgG

Scientific Data Images for COBL Antibody - BSA Free

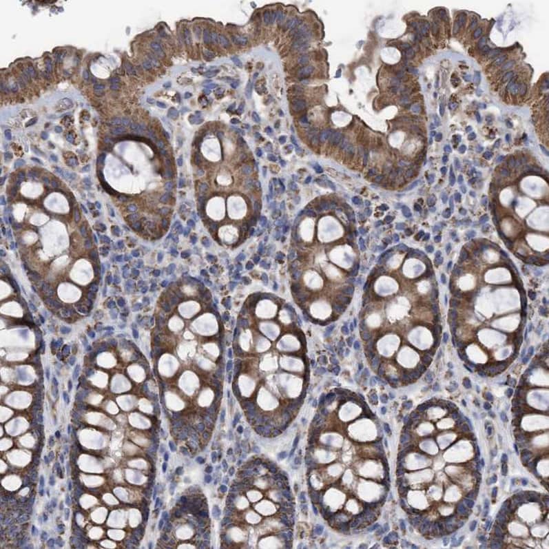
COBL Antibody - BSA Free Immunohistochemistry-Paraffin: COBL Antibody - BSA Free [NBP1-89616]

Immunohistochemistry-Paraffin: COBL Antibody - BSA Free [NBP1-89616]

Staining of human cerebral cortex, gastrointestinal, kidney and skeletal muscle using Anti-COBL antibody NBP1-89616 (A) shows similar protein distribution across tissues to independent antibody NBP1-89615 (B).
COBL Antibody - BSA Free Immunohistochemistry-Paraffin: COBL Antibody - BSA Free [NBP1-89616]

Immunohistochemistry-Paraffin: COBL Antibody - BSA Free [NBP1-89616]

Staining of human cerebral cortex shows strong cytoplasmic positivity in neurons.
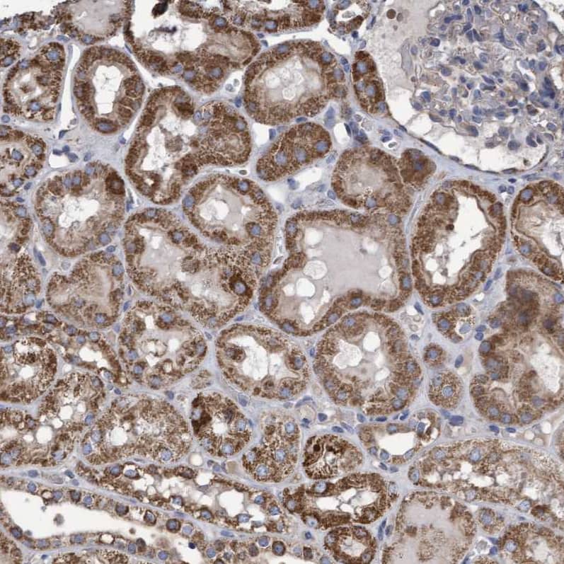
COBL Antibody - BSA Free Immunohistochemistry-Paraffin: COBL Antibody - BSA Free [NBP1-89616]

Immunohistochemistry-Paraffin: COBL Antibody - BSA Free [NBP1-89616]

Staining of human kidney shows strong cytoplasmic positivity in cells in tubules.

Applications for COBL Antibody - BSA Free

Application
Recommended Usage

Immunohistochemistry

1:200 - 1:500

Immunohistochemistry-Paraffin

1:200 - 1:500
Application Notes
For IHC-Paraffin, HIER pH 6 retrieval is recommended.

Formulation, Preparation, and Storage

Purification

Affinity purified

Formulation

PBS (pH 7.2) and 40% Glycerol

Format

BSA Free

Preservative

0.02% Sodium Azide

Concentration

Concentrations vary lot to lot. See vial label for concentration. If unlisted please contact technical services.

Shipping

The product is shipped with polar packs. Upon receipt, store it immediately at the temperature recommended below.

Stability & Storage

Store at 4C short term. Aliquot and store at -20C long term. Avoid freeze-thaw cycles.

Background: COBL

Alternate Names

cordon-bleu WH2 repeat protein

Gene Symbol

COBL

Additional COBL Products

Product Documents for COBL Antibody - BSA Free

Certificate of Analysis

To download a Certificate of Analysis, please enter a lot number in the search box below.

Product Specific Notices for COBL Antibody - BSA Free

This product is for research use only and is not approved for use in humans or in clinical diagnosis. Primary Antibodies are guaranteed for 1 year from date of receipt.

Loading...
Loading...
Loading...
Loading...