CNOT7 Antibody - Azide and BSA Free
Novus Biologicals, part of Bio-Techne | Catalog # NBP2-92571
Discontinued Product
NBP2-92571 has been discontinued.
View all CNOT7 products.
Key Product Details
Species Reactivity
Validated:
Human, Mouse, Rat
Cited:
Human
Applications
Validated:
Immunohistochemistry, Immunohistochemistry-Paraffin, Western Blot, ELISA
Cited:
Western Blot
Label
Unconjugated
Antibody Source
Polyclonal Rabbit IgG
Format
Azide and BSA Free
Concentration
Please see the vial label for concentration. If unlisted please contact technical services.
Product Specifications
Immunogen
Recombinant fusion protein containing a sequence corresponding to amino acids 90-160 of human CNOT7 (NP_037486.2). PGTSTWQFNFKFNLTEDMYAQDSIELLTTSGIQFKKHEEEGIETQYFAELLMTSGVVLCEGVKWLSFHSGY
Clonality
Polyclonal
Host
Rabbit
Isotype
IgG
Theoretical MW
33 kDa.
Disclaimer note: The observed molecular weight of the protein may vary from the listed predicted molecular weight due to post translational modifications, post translation cleavages, relative charges, and other experimental factors.
Disclaimer note: The observed molecular weight of the protein may vary from the listed predicted molecular weight due to post translational modifications, post translation cleavages, relative charges, and other experimental factors.
Scientific Data Images for CNOT7 Antibody - Azide and BSA Free
Western Blot: CNOT7 AntibodyAzide and BSA Free [NBP2-92571]
Western Blot: CNOT7 Antibody [NBP2-92571] - Analysis of extracts of various cell lines, using CNOT7 at 1:1000 dilution.Secondary antibody: HRP Goat Anti-Rabbit IgG (H+L) at 1:10000 dilution.Lysates/proteins: 25ug per lane.Blocking buffer: 3% nonfat dry milk in TBST.Detection: ECL Basic Kit .Exposure time: 5s.Immunohistochemistry-Paraffin: CNOT7 Antibody - Azide and BSA Free [NBP2-92571]
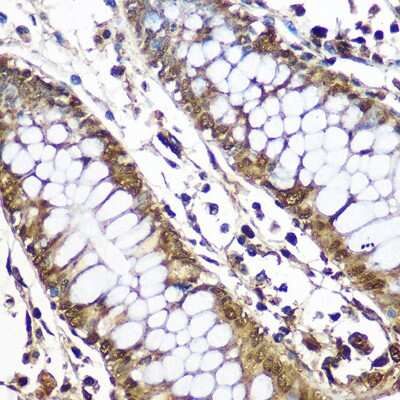
Immunohistochemistry-Paraffin: CNOT7 Antibody [NBP2-92571] - Immunohistochemistry of paraffin-embedded Human colon using CNOT7 Rabbit pAb (NBP2-92571) at dilution of 1:50 (40x lens). Perform microwave antigen retrieval with 10 mM PBS buffer pH 7.2 before commencing with IHC staining protocol.Immunohistochemistry-Paraffin: CNOT7 Antibody - Azide and BSA Free [NBP2-92571]
Immunohistochemistry-Paraffin: CNOT7 Antibody [NBP2-92571] - Immunohistochemistry of paraffin-embedded Mouse brain using CNOT7 Rabbit pAb (NBP2-92571) at dilution of 1:50 (40x lens). Perform microwave antigen retrieval with 10 mM PBS buffer pH 7.2 before commencing with IHC staining protocol.Applications for CNOT7 Antibody - Azide and BSA Free
Application
Recommended Usage
Immunohistochemistry
1:50-1:200
Western Blot
1:200-1:2000
Formulation, Preparation, and Storage
Purification
Affinity purified
Formulation
PBS (pH 7.3), 50% glycerol
Format
Azide and BSA Free
Preservative
0.01% Thimerosal
Concentration
Please see the vial label for concentration. If unlisted please contact technical services.
Shipping
The product is shipped with polar packs. Upon receipt, store it immediately at the temperature recommended below.
Stability & Storage
Store at -20C. Avoid freeze-thaw cycles.
Background: CNOT7
Alternate Names
BTG1 binding factor 1, BTG1-binding factor 1, CAF-1, CAF1carbon catabolite repressor protein (CCR4)-associative factor 1, CCR4-associated factor 1, CCR4-NOT transcription complex subunit 7, CCR4-NOT transcription complex, subunit 7, hCAF-1
Gene Symbol
CNOT7
Additional CNOT7 Products
Product Documents for CNOT7 Antibody - Azide and BSA Free
Product Specific Notices for CNOT7 Antibody - Azide and BSA Free
This product is for research use only and is not approved for use in humans or in clinical diagnosis. Primary Antibodies are guaranteed for 1 year from date of receipt.
Loading...
Loading...
Loading...
Loading...
⚠ WARNING: This product can expose you to chemicals including Methotrexate, which is known to the State of California to cause reproductive toxicity with developmental effects. For more information, go to www.P65Warnings.ca.gov