Skip to main content

CNIH4 Antibody - BSA Free

Novus Biologicals, part of Bio-Techne | Catalog # NBP1-91797

Novus Biologicals, part of Bio-Techne
Catalog #
Availability
Size / Price
Qty
Loading...
NBP1-91797
NBP1-91797-25ul

Key Product Details

Species Reactivity

Validated:

Human

Predicted:

Mouse (97%), Rat (97%). Backed by our 100% Guarantee.

Applications

Immunohistochemistry, Immunohistochemistry-Paraffin

Label

Unconjugated

Antibody Source

Polyclonal Rabbit IgG

Format

BSA Free

Concentration

Concentrations vary lot to lot. See vial label for concentration. If unlisted please contact technical services.

Product Specifications

Immunogen

This antibody was developed against Recombinant Protein corresponding to amino acids: VATWNIYRYIMVPSGNMGVFDPTEIHNRGQLKSH

Clonality

Polyclonal

Host

Rabbit

Isotype

IgG

Description

Novus Biologicals Rabbit CNIH4 Antibody - BSA Free (NBP1-91797) is a polyclonal antibody validated for use in IHC. All Novus Biologicals antibodies are covered by our 100% guarantee.

Scientific Data Images for CNIH4 Antibody - BSA Free

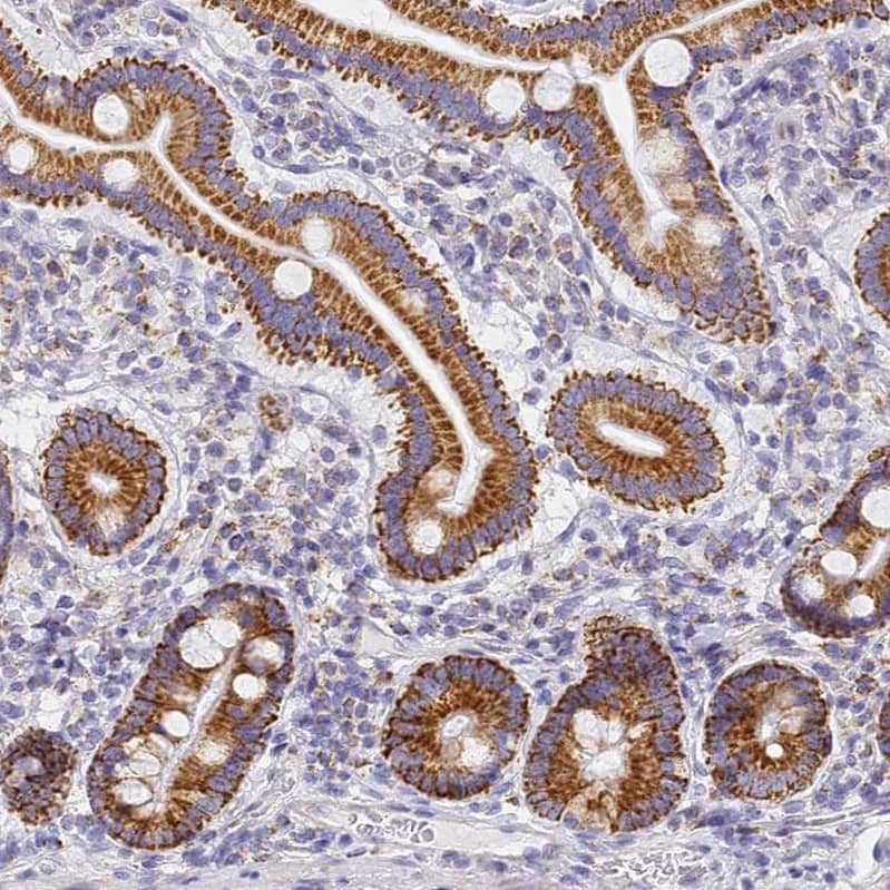
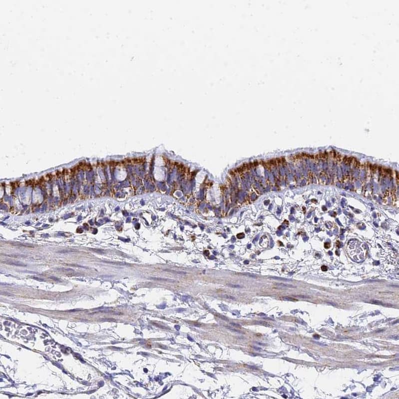
Immunohistochemistry-Paraffin: CNIH4 Antibody [NBP1-91797]

Immunohistochemistry-Paraffin: CNIH4 Antibody [NBP1-91797]

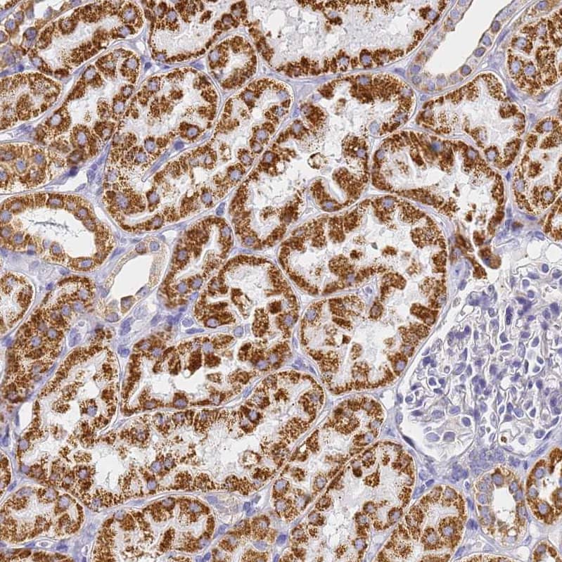
Immunohistochemistry-Paraffin: CNIH4 Antibody [NBP1-91797] - Staining of human kidney shows strong cytoplasmic positivity in renal tubules.
CNIH4 Antibody

Immunohistochemistry-Paraffin: CNIH4 Antibody [NBP1-91797] -

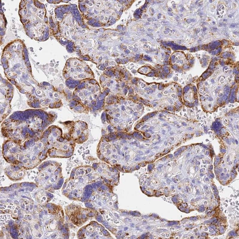
Immunohistochemistry-Paraffin: CNIH4 Antibody [NBP1-91797] -Staining of human placenta shows strong cytoplasmic granular positivity in trophoblastic cells.
CNIH4 Antibody

Immunohistochemistry-Paraffin: CNIH4 Antibody [NBP1-91797] -

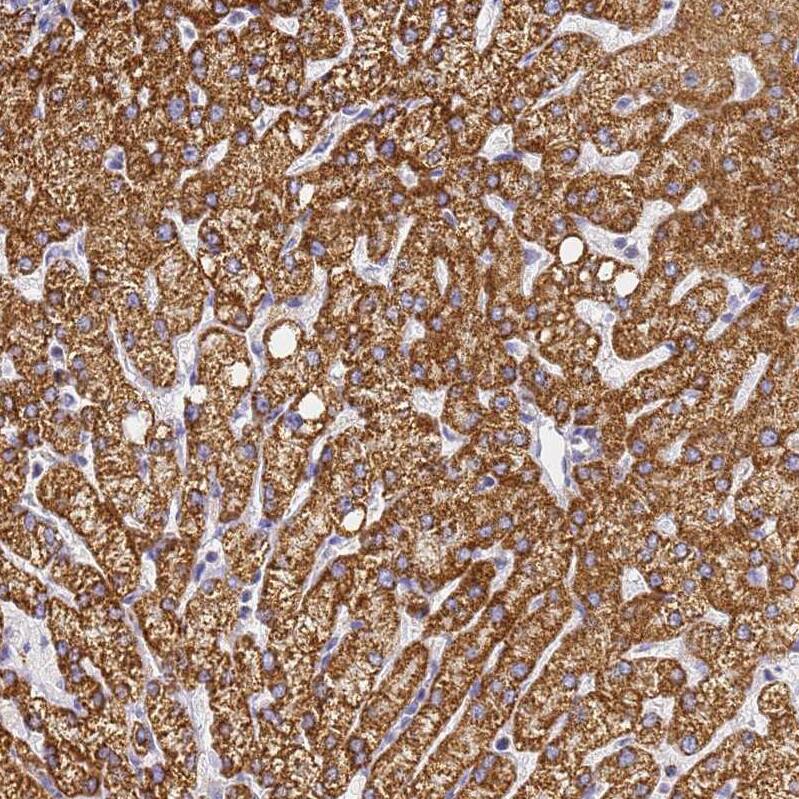
Immunohistochemistry-Paraffin: CNIH4 Antibody [NBP1-91797] -Staining of human liver shows strong cytoplasmic granular positivity in hepatocytes.

Applications for CNIH4 Antibody - BSA Free

Application
Recommended Usage

Immunohistochemistry

1:200 - 1:500

Immunohistochemistry-Paraffin

1:200 - 1:500
Application Notes
For IHC-Paraffin, HIER pH 6 retrieval is recommended.

Reviewed Applications

Read 1 review rated 5 using NBP1-91797 in the following applications:

Formulation, Preparation, and Storage

Purification

Immunogen affinity purified

Formulation

PBS (pH 7.2) and 40% Glycerol

Format

BSA Free

Preservative

0.02% Sodium Azide

Concentration

Concentrations vary lot to lot. See vial label for concentration. If unlisted please contact technical services.

Shipping

The product is shipped with polar packs. Upon receipt, store it immediately at the temperature recommended below.

Stability & Storage

Store at 4C short term. Aliquot and store at -20C long term. Avoid freeze-thaw cycles.

Background: CNIH4

HSPC163( AAH00573, 1 a.a. - 140 a.a.) full-length recombinant protein with GST.

Alternate Names

cornichon homolog 4 (Drosophila), HSPC163, protein cornichon homolog 4

Gene Symbol

CNIH4

Additional CNIH4 Products

Product Documents for CNIH4 Antibody - BSA Free

Certificate of Analysis

To download a Certificate of Analysis, please enter a lot number in the search box below.

Product Specific Notices for CNIH4 Antibody - BSA Free

This product is for research use only and is not approved for use in humans or in clinical diagnosis. Primary Antibodies are guaranteed for 1 year from date of receipt.

Loading...
Loading...
Loading...
Loading...