Skip to main content

CMC1 Antibody - BSA Free

Novus Biologicals, part of Bio-Techne | Catalog # NBP2-97239

Novus Biologicals, part of Bio-Techne

Key Product Details

Species Reactivity

Human

Applications

Immunohistochemistry, Immunohistochemistry-Paraffin

Label

Unconjugated

Antibody Source

Polyclonal Rabbit IgG

Format

BSA Free

Concentration

Please see the vial label for concentration. If unlisted please contact technical services.

Product Specifications

Immunogen

Produced in rabbits immunized with E. coli-derived Human CMC1 fragment.

Clonality

Polyclonal

Host

Rabbit

Isotype

IgG

Description

This antibody can be stored at 2C to 8C for one month without detectable loss of activity. Antibody products are stable for twelve months from date of receipt when stored at -20C to -80C. Avoid repeated freeze-thaw cycles.

Scientific Data Images for CMC1 Antibody - BSA Free

Immunohistochemistry-Paraffin: CMC1 Antibody [NBP2-97239]

Immunohistochemistry-Paraffin: CMC1 Antibody [NBP2-97239]

Immunohistochemistry-Paraffin: CMC1 Antibody [NBP2-97239] - Immunochemical staining of human CMC1 in human kidney with rabbit polyclonal antibody at 1:500 dilution, formalin-fixed paraffin embedded sections.
CMC1 Antibody - BSA Free

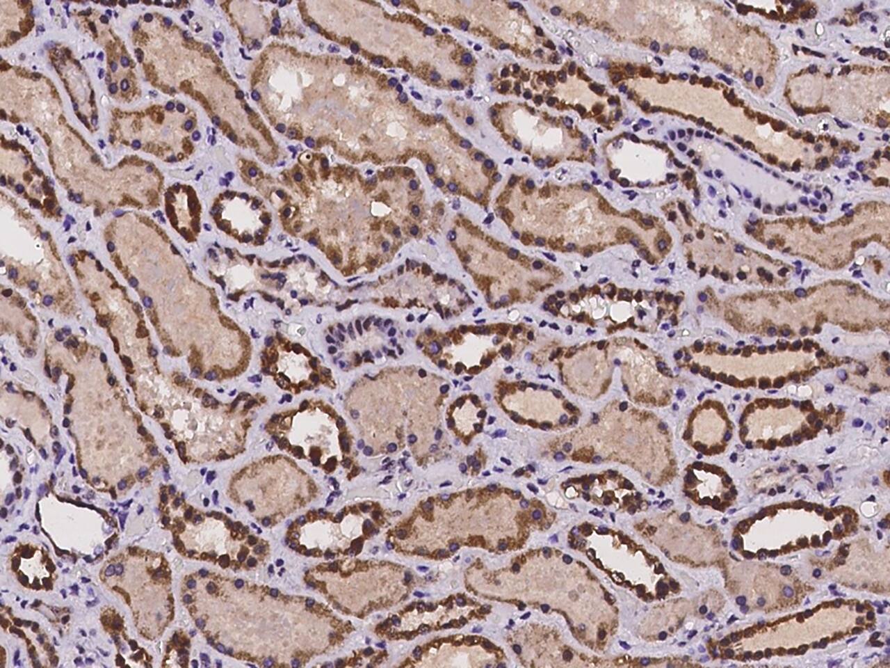
Immunohistochemistry-Paraffin: CMC1 Antibody - BSA Free [NBP2-97239] -

Immunohistochemistry-Paraffin: CMC1 Antibody - BSA Free [NBP2-97239] - Immunochemical staining of human CMC1 in human kidney with NBP2-97239 at 1:500 dilution, formalin-fixed paraffin embedded sections.

Applications for CMC1 Antibody - BSA Free

Application
Recommended Usage

Immunohistochemistry-Paraffin

1:200-1:1000

Formulation, Preparation, and Storage

Purification

Antigen and protein A Affinity-purified

Formulation

PBS

Format

BSA Free

Preservative

0.03% Proclin 300

Concentration

Please see the vial label for concentration. If unlisted please contact technical services.

Shipping

The product is shipped with polar packs. Upon receipt, store it immediately at the temperature recommended below.

Stability & Storage

Store at 4C short term. Aliquot and store at -20C long term. Avoid freeze-thaw cycles.

Background: CMC1

CMC1 is required for mitochondrial cytochrome c oxidase (COX) assembly and respiration. Binds copper. May be involvedin copper trafficking and distribution to COX and SOD1

Alternate Names

C3orf68, chromosome 3 open reading frame 68, Cmc1p, COX assembly mitochondrial protein homolog, COX assembly mitochondrial protein homolog (S. cerevisiae), CX9C mitochondrial protein required for full expression of COX 1, DKFZp779D0833, MGC61571, mitochondrial metallochaperone-like protein

Gene Symbol

CMC1

Additional CMC1 Products

Product Documents for CMC1 Antibody - BSA Free

Certificate of Analysis

To download a Certificate of Analysis, please enter a lot number in the search box below.

Product Specific Notices for CMC1 Antibody - BSA Free

This product is for research use only and is not approved for use in humans or in clinical diagnosis. Primary Antibodies are guaranteed for 1 year from date of receipt.

Loading...
Loading...
Loading...
Loading...