Skip to main content

CLEC4E Antibody (OTI2A8)

Novus Biologicals, part of Bio-Techne | Catalog # NBP2-45629

Novus Biologicals, part of Bio-Techne
Catalog #
Availability
Size / Price
Qty
Loading...
NBP2-45629

Key Product Details

Species Reactivity

Human

Applications

Flow Cytometry, Immunohistochemistry, Immunohistochemistry-Paraffin, Western Blot

Label

Unconjugated

Antibody Source

Monoclonal Mouse IgG1 Clone # OTI2A8

Concentration

1 mg/ml

Product Specifications

Immunogen

Full length human recombinant protein of human CLEC4E(NP_055173) produced in HEK293T cell.

Clonality

Monoclonal

Host

Mouse

Isotype

IgG1

Theoretical MW

24.9 kDa.
Disclaimer note: The observed molecular weight of the protein may vary from the listed predicted molecular weight due to post translational modifications, post translation cleavages, relative charges, and other experimental factors.

Description

Novus Biologicals Mouse CLEC4E Antibody (OTI2A8) (NBP2-45629) is a monoclonal antibody validated for use in IHC, WB and Flow. All Novus Biologicals antibodies are covered by our 100% guarantee.

Scientific Data Images for CLEC4E Antibody (OTI2A8)

Western Blot: CLEC4E Antibody (OTI2A8) [NBP2-45629]

Western Blot: CLEC4E Antibody (OTI2A8) [NBP2-45629]

Western Blot: CLEC4E Antibody (2A8) [NBP2-45629] - Analysis of HEK293T cells were transfected with the pCMV6-ENTRY control (Left lane) or pCMV6-ENTRY CLEC4E.
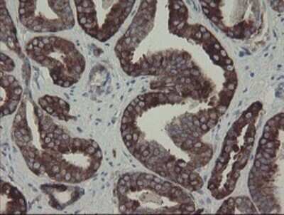
Immunohistochemistry: CLEC4E Antibody (OTI2A8) [NBP2-45629]

Immunohistochemistry: CLEC4E Antibody (OTI2A8) [NBP2-45629]

Immunohistochemistry: CLEC4E Antibody (2A8) [NBP2-45629] - Analysis of Human Ovary tissue.
Flow Cytometry: CLEC4E Antibody (OTI2A8) [NBP2-45629]

Flow Cytometry: CLEC4E Antibody (OTI2A8) [NBP2-45629]

Flow Cytometry: CLEC4E Antibody (2A8) [NBP2-45629] - Analysis of HEK293T cells transfected with either RC200244 overexpress plasmid(Red) or empty vector control plasmid(Blue) were immunostained by CLEC4E antibody, and then analyzed by flow cytometry.

Applications for CLEC4E Antibody (OTI2A8)

Application
Recommended Usage

Flow Cytometry

1:100

Immunohistochemistry

1:150

Immunohistochemistry-Paraffin

1:150

Western Blot

1:2000

Formulation, Preparation, and Storage

Purification

Immunogen affinity purified

Formulation

PBS (pH 7.3), 1.0% BSA and 50% Glycerol

Preservative

0.02% Sodium Azide

Concentration

1 mg/ml

Shipping

The product is shipped with polar packs. Upon receipt, store it immediately at the temperature recommended below.

Stability & Storage

Store at -20C. Avoid freeze-thaw cycles.

Background: CLEC4E

CLEC4E encodes a member of the C-type lectin/C-type lectin-like domain (CTL/CTLD) superfamily. Members of this family share a common protein fold and have diverse functions, such as cell adhesion, cell-cell signalling, glycoprotein turnover, and roles in inflammation and immune response. The encoded type II transmembrane protein is a downstream target of CCAAT/enhancer binding protein (C/EBP), beta (CEBPB) and may play a role in inflammation. Alternative splice variants have been described but their full-length sequence has not been determined. This gene is closely linked to other CTL/CTLD superfamily members on chromosome 12p13 in the natural killer gene complex region.

Long Name

C-type Lectin Domain Family 4, Member E

Alternate Names

CLECSF9, MINCLE

Gene Symbol

CLEC4E

Additional CLEC4E Products

Product Documents for CLEC4E Antibody (OTI2A8)

Certificate of Analysis

To download a Certificate of Analysis, please enter a lot number in the search box below.

Product Specific Notices for CLEC4E Antibody (OTI2A8)

This product is for research use only and is not approved for use in humans or in clinical diagnosis. Primary Antibodies are guaranteed for 1 year from date of receipt.

Loading...
Loading...
Loading...
Loading...
Loading...