Skip to main content

Cleavage stimulation factor 2 Antibody - BSA Free

Novus Biologicals, part of Bio-Techne | Catalog # NBP1-87407

Novus Biologicals, part of Bio-Techne
Catalog #
Availability
Size / Price
Qty
Loading...
NBP1-87407
NBP1-87407-25ul

Key Product Details

Validated by

Knockout/Knockdown, Orthogonal Validation

Species Reactivity

Human, Mouse, Rat

Applications

Immunohistochemistry, Immunohistochemistry-Paraffin, Western Blot, Immunocytochemistry/ Immunofluorescence, Knockdown Validated

Label

Unconjugated

Antibody Source

Polyclonal Rabbit IgG

Format

BSA Free

Concentration

Concentrations vary lot to lot. See vial label for concentration. If unlisted please contact technical services.

Product Specifications

Immunogen

This antibody was developed against Recombinant Protein corresponding to amino acids: GRGGRDPRGIDARGMEARAMEARGLDARGLEARAMEARAMEARAMEARAMEARAMEVRGMEARGMDTRGPVPGPRGPIPSGMQGPSPINMGAVVPQGSRQVPVMQGTGMQGASIQGGSQ

Clonality

Polyclonal

Host

Rabbit

Isotype

IgG

Scientific Data Images for Cleavage stimulation factor 2 Antibody - BSA Free

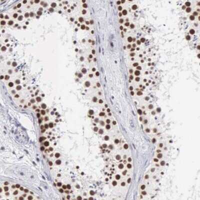
Immunohistochemistry-Paraffin: Cleavage stimulation factor 2 Antibody [NBP1-87407]

Immunohistochemistry-Paraffin: Cleavage stimulation factor 2 Antibody [NBP1-87407]

Immunohistochemistry-Paraffin: Cleavage stimulation factor 2 Antibody [NBP1-87407] - Staining in human testis and liver tissues using anti-CSTF2 antibody. Corresponding CSTF2 RNA-seq data are presented for the same tissues.
Western Blot: Cleavage stimulation factor 2 Antibody [NBP1-87407]

Western Blot: Cleavage stimulation factor 2 Antibody [NBP1-87407]

Western Blot: Cleavage stimulation factor 2 Antibody [NBP1-87407] - Analysis in U2OS cells transfected with control siRNA, target specific siRNA probe #1 and #2,. Remaining relative intensity is presented
Immunocytochemistry/ Immunofluorescence: Cleavage stimulation factor 2 Antibody [NBP1-87407]

Immunocytochemistry/ Immunofluorescence: Cleavage stimulation factor 2 Antibody [NBP1-87407]

Immunocytochemistry/Immunofluorescence: Cleavage stimulation factor 2 Antibody [NBP1-87407] - Staining of human cell line U-2 OS shows localization to nucleoplasm.

Applications for Cleavage stimulation factor 2 Antibody - BSA Free

Application
Recommended Usage

Immunocytochemistry/ Immunofluorescence

0.25-2 ug/ml

Immunohistochemistry

1:200 - 1:500

Immunohistochemistry-Paraffin

1:200 - 1:500

Western Blot

0.04-0.4 ug/ml
Application Notes
For IHC-Paraffin, HIER pH 6 retrieval is recommended. ICC/IF, Fixation Permeabilization: Use PFA/Triton X-100.

Formulation, Preparation, and Storage

Purification

Affinity purified

Formulation

PBS (pH 7.2) and 40% Glycerol

Format

BSA Free

Preservative

0.02% Sodium Azide

Concentration

Concentrations vary lot to lot. See vial label for concentration. If unlisted please contact technical services.

Shipping

The product is shipped with polar packs. Upon receipt, store it immediately at the temperature recommended below.

Stability & Storage

Store at 4C short term. Aliquot and store at -20C long term. Avoid freeze-thaw cycles.

Background: Cleavage stimulation factor 2

Alternate Names

betaCstF-64 variant 2, CF-1 64 kDa subunit, Cleavage stimulation factor 64 kDa subunit, cleavage stimulation factor subunit 2, cleavage stimulation factor, 3' pre-RNA, subunit 2, 64kD, cleavage stimulation factor, 3' pre-RNA, subunit 2, 64kDa, CSTF 64 kDa subunit, CstF-64

Gene Symbol

CSTF2

Additional Cleavage stimulation factor 2 Products

Product Documents for Cleavage stimulation factor 2 Antibody - BSA Free

Certificate of Analysis

To download a Certificate of Analysis, please enter a lot number in the search box below.

Product Specific Notices for Cleavage stimulation factor 2 Antibody - BSA Free

This product is for research use only and is not approved for use in humans or in clinical diagnosis. Primary Antibodies are guaranteed for 1 year from date of receipt.

Loading...
Loading...
Loading...
Loading...