Skip to main content

Chorionic Gonadotropin beta Chain (hCG beta) Antibody (HCGa/7806R)

Novus Biologicals, part of Bio-Techne | Catalog # NBP3-20621

Recombinant Monoclonal Antibody
Novus Biologicals, part of Bio-Techne
Catalog #
Availability
Size / Price
Qty
Loading...
NBP3-20621-100ug
NBP3-20621-20ug
Conjugate
Catalog #

Key Product Details

Species Reactivity

Human

Applications

Immunohistochemistry-Paraffin

Label

Unconjugated

Antibody Source

Recombinant Monoclonal Rabbit IgG Kappa Clone # HCGa/7806R

Concentration

0.2 mg/ml

Product Specifications

Immunogen

Recombinant fragment (around aa1-116) of human Chorionic Gonadotropin beta Chain (hCG beta) protein (exact sequence is proprietary)

Localization

Cytoplasm. Secreted.

Clonality

Monoclonal

Host

Rabbit

Isotype

IgG Kappa

Description

Positive Controls: Human placenta.

Antibody with azide - store at 2 to 8C. Antibody without azide - store at -20 to -80C. Non-hazardous. No MSDS required.

Scientific Data Images for Chorionic Gonadotropin beta Chain (hCG beta) Antibody (HCGa/7806R)

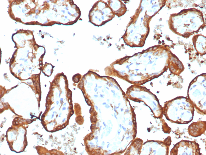
Chorionic Gonadotropin beta Chain (hCG beta) Antibody (HCGa/7806R)

Chorionic Gonadotropin beta Chain (hCG beta) Antibody (HCGa/7806R)

Formalin-fixed, paraffin-embedded human placenta stained with Chorionic Gonadotropin beta Chain (hCG beta) antibody (HCGa/7806R). Inset: PBS instead of primary antibody; secondary only negative control.
Chorionic Gonadotropin beta Chain (hCG beta) Antibody (HCGa/7806R)

Chorionic Gonadotropin beta Chain (hCG beta) Antibody (HCGa/7806R)

Formalin-fixed, paraffin-embedded human placenta stained with Chorionic Gonadotropin beta Chain (hCG beta) antibody (HCGa/7806R). HIER: Tris/EDTA, pH9.0, 45min. 2: HRP-polymer, 30min. DAB, 5min.

Applications for Chorionic Gonadotropin beta Chain (hCG beta) Antibody (HCGa/7806R)

Application
Recommended Usage

Immunohistochemistry-Paraffin

1-2 ug/ml
Application Notes
Immunohistochemistry (Formalin-fixed): 1-2ug/ml for 30 minutes. at RT. Staining of formalin-fixed tissues requires heating tissue sections in 10mM Tris with 1mM EDTA, pH 9.0, for 45 min at 95C followed by cooling at RT for 20 minutes.

Optimal dilution for a specific application should be determined.

Formulation, Preparation, and Storage

Purification

Protein A or G purified

Formulation

10mM PBS with 0.05% BSA

Preservative

0.05% Sodium Azide

Concentration

0.2 mg/ml

Shipping

The product is shipped with polar packs. Upon receipt, store it immediately at the temperature recommended below.

Stability & Storage

Store at 4C. Do not freeze.

Background: Chorionic Gonadotropin beta Chain (HCG beta)

Human chorionic gonadotropin (hCG) is a glycoprotein hormone produced by trophoblastic cells of the placenta beginning 10 to 12 days after conception. Maintenance of the fetus in the first trimester of pregnancy requires the production of hCG, which binds to the corpus luteum of the ovary which is stimulated to produce progesterone which in turn maintains the secretory endometrium. hCG is present only in trace amounts in non pregnant urine and sera. It rises sharply during pregnancy. HCG is composed of two non identical, non covalently linked polypeptide chains designated as the a and b subunits. The a subunit of HCG is nearly identical to that of thyroid stimulating hormone (TSH), follicle stimulating hormone (FSH) and luteinizing hormone (LH). A germ cell tumor which is positive for cytokeratin, placental alkaline phosphatase (PLAP) and HCG but negative for EMA and AFP is probably a choriocarcinoma.

Long Name

Chorionic Gonadotropin beta Chain

Alternate Names

CG-Beta, CGB, CGB3, CGB5, CGB8, Choriogonadotropin Subunit Beta

Gene Symbol

CGB3

Additional Chorionic Gonadotropin beta Chain (HCG beta) Products

Product Documents for Chorionic Gonadotropin beta Chain (hCG beta) Antibody (HCGa/7806R)

Certificate of Analysis

To download a Certificate of Analysis, please enter a lot number in the search box below.

Product Specific Notices for Chorionic Gonadotropin beta Chain (hCG beta) Antibody (HCGa/7806R)

This product is for research use only and is not approved for use in humans or in clinical diagnosis. Primary Antibodies are guaranteed for 1 year from date of receipt.

Loading...
Loading...
Loading...
Loading...