CHMP5 Antibody (OTI5C7)
Novus Biologicals, part of Bio-Techne | Catalog # NBP2-46283
Conjugate
Catalog #
Forumulation
Catalog #
Key Product Details
Species Reactivity
Human, Mouse, Rat
Applications
Immunohistochemistry, Immunohistochemistry-Paraffin, Western Blot
Label
Unconjugated
Antibody Source
Monoclonal Mouse IgG1 Clone # OTI5C7
Concentration
1 mg/ml
Product Specifications
Immunogen
Full length human recombinant protein of human CHMP5 (NP_057494) produced in E.coli.
Reactivity Notes
Please note that this antibody is reactive to Mouse and derived from the same host, Mouse. Mouse-On-Mouse blocking reagent may be needed for IHC and ICC experiments to reduce high background signal. You can find these reagents under catalog numbers PK-2200-NB and MP-2400-NB. Please contact Technical Support if you have any questions.
Clonality
Monoclonal
Host
Mouse
Isotype
IgG1
Theoretical MW
24.4 kDa.
Disclaimer note: The observed molecular weight of the protein may vary from the listed predicted molecular weight due to post translational modifications, post translation cleavages, relative charges, and other experimental factors.
Disclaimer note: The observed molecular weight of the protein may vary from the listed predicted molecular weight due to post translational modifications, post translation cleavages, relative charges, and other experimental factors.
Description
Novus Biologicals Mouse CHMP5 Antibody (OTI5C7) (NBP2-46283) is a monoclonal antibody validated for use in IHC and WB. All Novus Biologicals antibodies are covered by our 100% guarantee.
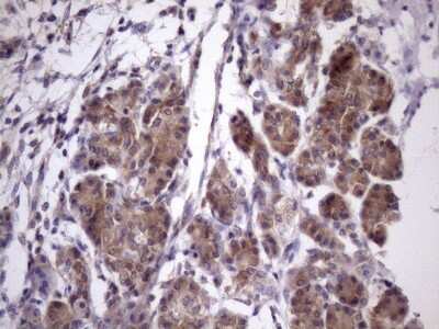
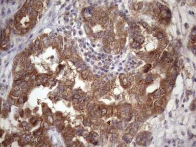
Scientific Data Images for CHMP5 Antibody (OTI5C7)
Western Blot: CHMP5 Antibody (OTI5C7) [NBP2-46283]
Western Blot: CHMP5 Antibody (5C7) [NBP2-46283] - Analysis of HEK293T cells were transfected with the pCMV6-ENTRY control (Left lane) or pCMV6-ENTRY CHMP5.Immunohistochemistry: CHMP5 Antibody (OTI5C7) [NBP2-46283]
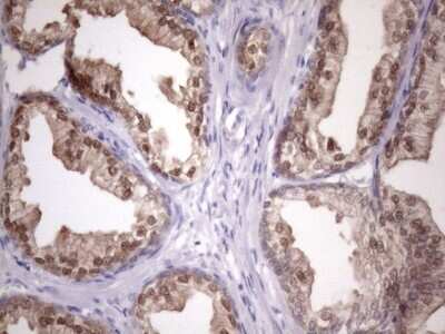
Immunohistochemistry: CHMP5 Antibody (5C7) [NBP2-46283] - Analysis of Human prostate tissue. (Heat-induced epitope retrieval by Tris-EDTA, pH8.0)Immunohistochemistry: CHMP5 Antibody (OTI5C7) [NBP2-46283]
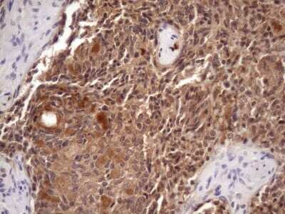
Immunohistochemistry: CHMP5 Antibody (5C7) [NBP2-46283] - Analysis of Carcinoma of Human lung tissue. (Heat-induced epitope retrieval by Tris-EDTA, pH8.0)Applications for CHMP5 Antibody (OTI5C7)
Application
Recommended Usage
Immunohistochemistry
1:150
Western Blot
1:2000
Formulation, Preparation, and Storage
Purification
Immunogen affinity purified
Formulation
PBS (pH 7.3), 1.0% BSA and 50% Glycerol
Preservative
0.02% Sodium Azide
Concentration
1 mg/ml
Shipping
The product is shipped with polar packs. Upon receipt, store it immediately at the temperature recommended below.
Stability & Storage
Store at -20C. Avoid freeze-thaw cycles.
Background: CHMP5
Alternate Names
apoptosis-related protein PNAS-2, C9orf83, charged multivesicular body protein 5, chromatin modifying protein 5, Chromatin-modifying protein 5, chromosome 9 open reading frame 83, HSPC177, hVps60, PNAS-2, SNF7 domain containing 2, SNF7 domain-containing protein 2, SNF7DC2, Vacuolar protein sorting-associated protein 60, Vps60CGI-34
Gene Symbol
CHMP5
Additional CHMP5 Products
Product Documents for CHMP5 Antibody (OTI5C7)
Product Specific Notices for CHMP5 Antibody (OTI5C7)
This product is for research use only and is not approved for use in humans or in clinical diagnosis. Primary Antibodies are guaranteed for 1 year from date of receipt.
Loading...
Loading...
Loading...
Loading...