Skip to main content

CHID1 Antibody (CHID1/6368)

Novus Biologicals, part of Bio-Techne | Catalog # NBP3-23888

Novus Biologicals, part of Bio-Techne
Catalog #
Availability
Size / Price
Qty
Loading...
NBP3-23888-20ug
NBP3-23888-100ug

Key Product Details

Species Reactivity

Human

Applications

Immunohistochemistry-Paraffin

Label

Unconjugated

Antibody Source

Monoclonal Mouse IgG1 kappa Clone # CHID1/6368

Concentration

0.2 mg/ml

Product Specifications

Immunogen

Recombinant full-length human CHID1 protein

Localization

Secreted. Lysosome.

Clonality

Monoclonal

Host

Mouse

Isotype

IgG1 kappa

Description

Store at 2 to 8C. Non-hazardous. No MSDS required.

Scientific Data Images for CHID1 Antibody (CHID1/6368)

CHID1 Antibody (CHID1/6368) Immunohistochemistry-Paraffin: CHID1 Antibody (CHID1/6368) [NBP3-23888] -

Immunohistochemistry-Paraffin: CHID1 Antibody (CHID1/6368) [NBP3-23888] -

Immunohistochemistry-Paraffin: CHID1 Antibody (CHID1/6368) [NBP3-23888] - Formalin-fixed, paraffin-embedded human prostate stained with CHID1 Antibody (CHID1/6368) HIER: Tris/EDTA, pH9.0, 45min. 2°C: HRP-polymer, 30min. DAB, 5min.
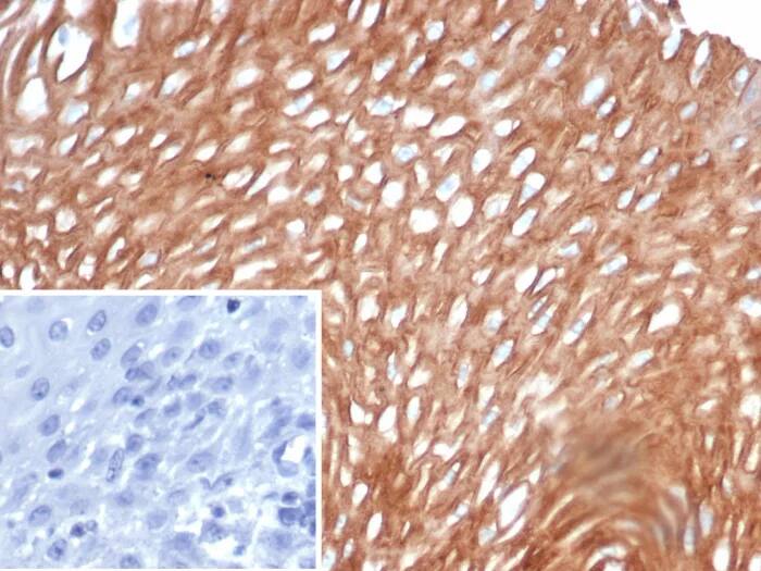
CHID1 Antibody (CHID1/6368) Immunohistochemistry-Paraffin: CHID1 Antibody (CHID1/6368) [NBP3-23888] -

Immunohistochemistry-Paraffin: CHID1 Antibody (CHID1/6368) [NBP3-23888] -

Immunohistochemistry-Paraffin: CHID1 Antibody (CHID1/6368) [NBP3-23888] - Formalin-fixed, paraffin-embedded human esophagus stained with CHID1 Antibody (CHID1/6368) Inset: PBS instead of primary antibody; secondary only negative control.

Applications for CHID1 Antibody (CHID1/6368)

Application
Recommended Usage

Immunohistochemistry-Paraffin

1-2ug/ml
Application Notes
Immunohistochemistry-Paraffin: 1-2ug/ml for 30 minutes at RT. Staining of formalin-fixed tissues requires heating tissue sections in 10mM Tris with 1mM EDTA, pH 9.0, for 45 min at 95C followed by cooling at RT for 20 minutes. Optimal dilution for a specific application should be determined.

Formulation, Preparation, and Storage

Purification

Protein A or G purified

Formulation

10mM PBS with 0.05% BSA

Preservative

0.05% Sodium Azide

Concentration

0.2 mg/ml

Shipping

The product is shipped with polar packs. Upon receipt, store it immediately at the temperature recommended below.

Stability & Storage

Store at 4C.

Background: CHID1

Long Name

Chitinase Domain Containing 1

Alternate Names

SI-CLP

Gene Symbol

CHID1

Additional CHID1 Products

Product Documents for CHID1 Antibody (CHID1/6368)

Certificate of Analysis

To download a Certificate of Analysis, please enter a lot number in the search box below.

Product Specific Notices for CHID1 Antibody (CHID1/6368)

This product is for research use only and is not approved for use in humans or in clinical diagnosis. Primary Antibodies are guaranteed for 1 year from date of receipt.

Loading...
Loading...
Loading...
Loading...