Skip to main content

CHAF1B Antibody

Novus Biologicals, part of Bio-Techne | Catalog # NB100-57523

Novus Biologicals, part of Bio-Techne
Catalog #
Availability
Size / Price
Qty
Loading...
NB100-57523

Key Product Details

Validated by

Independent Antibodies

Species Reactivity

Validated:

Human

Cited:

Human

Applications

Validated:

Immunohistochemistry, Immunohistochemistry-Paraffin, Western Blot, Immunoprecipitation

Cited:

Immunoprecipitation

Label

Unconjugated

Antibody Source

Polyclonal Rabbit IgG

Concentration

0.2 mg/ml

Product Specifications

Immunogen

The immunogen recognized by this antibody maps to a region between residue 509 and the C-terminus (residue 559) of human chromatin assembly factor 1, subunit B (p60) using the numbering given in entry NP_005432.1 (GeneID 8208).

Clonality

Polyclonal

Host

Rabbit

Isotype

IgG

Scientific Data Images for CHAF1B Antibody

Western Blot: CHAF1B Antibody [NB100-57523]

Western Blot: CHAF1B Antibody [NB100-57523]

Samples: Whole cell lysate (1 mg forIP, 20% of IP loaded) from HeLa cells. Antibodies: Affinitypurified rabbit anti-CAF-1 p60 antibody NB100-57523 was usedfor IP at 3 ug/mg lysate. CAF-1 p60 was alsoimmunoprecipitated by rabbit anti-CAF-1 p60 antibodyNB100-57523, which recognizes a downstream epitope. Forblotting immunoprecipitated CAF-1 p60, NB100-57523 wasused at 1 ug/ml. Detection: Chemiluminescence with anexposure time of 3 seconds.
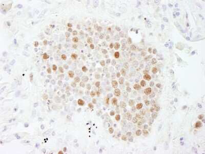
Immunohistochemistry: CHAF1B Antibody [NB100-57523]

Immunohistochemistry: CHAF1B Antibody [NB100-57523]

Immunohistochemistry: CHAF1B Antibody [NB100-57523] - Sample: FFPE section of human small cell lung cancer. Antibody: Affinity purified rabbit anti-CAF-1 p60 used at a dilution of 1:200 (1ug/ml). Detection: DAB staining using Immunohistochemistry Accessory Kit.

Applications for CHAF1B Antibody

Application
Recommended Usage

Immunohistochemistry-Paraffin

1:10-1:500

Immunoprecipitation

2-5 mcg/mg

Western Blot

1:2000-1:10000
Application Notes
Epitope retrieval with citrate buffer pH6.0 is recommended for FFPE tissue sections.

Formulation, Preparation, and Storage

Purification

Immunogen affinity purified

Formulation

TBS and 0.1% BSA

Preservative

0.09% Sodium Azide

Concentration

0.2 mg/ml

Shipping

The product is shipped with polar packs. Upon receipt, store it immediately at the temperature recommended below.

Stability & Storage

Store at 4C. Do not freeze.

Background: CHAF1B

Chromatin assembly factor I (CAF-I) is required for the assembly of histone octamers onto newly-replicated DNA. CAF-I is composed of three protein subunits, p50, p60, and p150. The protein encoded by this gene corresponds to the p60 subunit and is required for chromatin assembly after replication. The encoded protein is differentially phosphorylated in a cell cycle-dependent manner. In addition, it is normally found in the nucleus except during mitosis, when it is released into the cytoplasm. This protein is a member of the WD-repeat HIR1 family and may also be involved in DNA repair.

Alternate Names

CAF1, CAF-1, CAF1ACAF-1 subunit B, CAF1P60CAF-I 60 kDa subunit, CAF-IP60, chromatin assembly factor 1 subunit B, chromatin assembly factor 1, subunit B (p60), Chromatin assembly factor I p60 subunit, human chromatin assembly factor-I p60 subunit, 10, MPHOSPH7CAF-I p60, MPP7M-phase phosphoprotein 7

Entrez Gene IDs

8208 (Human)

Gene Symbol

CHAF1B

Additional CHAF1B Products

Product Documents for CHAF1B Antibody

Certificate of Analysis

To download a Certificate of Analysis, please enter a lot number in the search box below.

Product Specific Notices for CHAF1B Antibody

This product is for research use only and is not approved for use in humans or in clinical diagnosis. Primary Antibodies are guaranteed for 1 year from date of receipt.

Loading...
Loading...
Loading...
Loading...