CFAP61 Antibody - BSA Free
Novus Biologicals, part of Bio-Techne | Catalog # NBP1-90583
Key Product Details
Species Reactivity
Human
Applications
Immunohistochemistry, Immunohistochemistry-Paraffin
Label
Unconjugated
Antibody Source
Polyclonal Rabbit IgG
Format
BSA Free
Concentration
Concentrations vary lot to lot. See vial label for concentration. If unlisted please contact technical services.
Product Specifications
Immunogen
This antibody was developed against Recombinant Protein corresponding to amino acids: HMKFNNLTLISTHGLPGKKLLDTEQRKFLASDHCFNDKDYALMSLCSWVNVVVGRMTGIDRAAKHVVLSTDEIVPYDHLILCTGQQYQVPCPTEADISQHLTNREVPNSSQRRYTGKVPCNHFTLNEEEDCFKALIWIRNNSITTE
Reactivity Notes
Immunogen displays the following percentage of sequence identity for non-tested species: Rat (82%)
Clonality
Polyclonal
Host
Rabbit
Isotype
IgG
Description
Novus Biologicals Rabbit CFAP61 Antibody - BSA Free (NBP1-90583) is a polyclonal antibody validated for use in IHC. Anti-CFAP61 Antibody: Cited in 1 publication. All Novus Biologicals antibodies are covered by our 100% guarantee.
Scientific Data Images for CFAP61 Antibody - BSA Free
Immunohistochemistry-Paraffin: CFAP61 Antibody [NBP1-90583]
Immunohistochemistry-Paraffin: C20orf26 Antibody [NBP1-90583] - Staining of human liver shows strong cytoplasmic positivity in hepatocytes.Immunohistochemistry: CFAP61 Antibody - BSA Free [NBP1-90583]
Staining of human fallopian tube shows moderate cytoplasmic positivity in ciliated cells.Immunohistochemistry: CFAP61 Antibody - BSA Free [NBP1-90583]
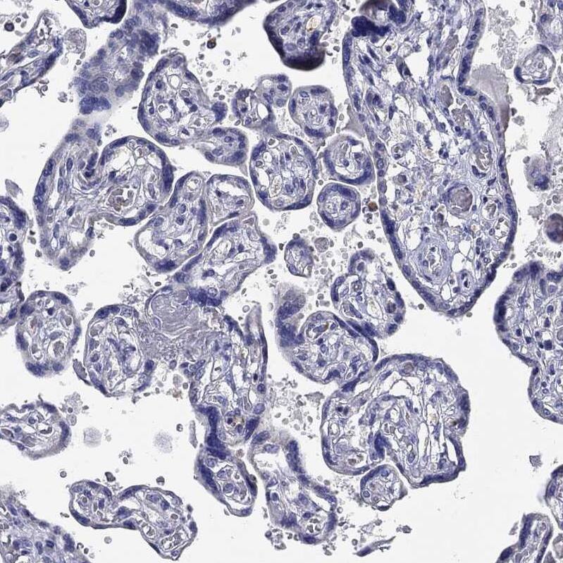
Staining of human placenta shows no cytoplasmic positivity in trophoblastic cells as expected.Applications for CFAP61 Antibody - BSA Free
Application
Recommended Usage
Immunohistochemistry
1:50 - 1:200
Immunohistochemistry-Paraffin
1:50 - 1:200
Application Notes
For IHC-Paraffin, HIER pH 6 retrieval is recommended. Immunocytochemistry/Immunofluorescence Fixation Permeabilization: Use PFA/Triton X-100.
Formulation, Preparation, and Storage
Purification
Affinity purified
Formulation
PBS (pH 7.2) and 40% Glycerol
Format
BSA Free
Preservative
0.02% Sodium Azide
Concentration
Concentrations vary lot to lot. See vial label for concentration. If unlisted please contact technical services.
Shipping
The product is shipped with polar packs. Upon receipt, store it immediately at the temperature recommended below.
Stability & Storage
Store at 4C short term. Aliquot and store at -20C long term. Avoid freeze-thaw cycles.
Background: CFAP61
Alternate Names
chromosome 20 open reading frame 26, dJ1002M8.3, dJ1178H5.4, DKFZp434K156
Gene Symbol
CFAP61
Additional CFAP61 Products
Product Documents for CFAP61 Antibody - BSA Free
Product Specific Notices for CFAP61 Antibody - BSA Free
This product is for research use only and is not approved for use in humans or in clinical diagnosis. Primary Antibodies are guaranteed for 1 year from date of receipt.
Loading...
Loading...
Loading...
Loading...