Skip to main content

CDYL Antibody - BSA Free

Novus Biologicals, part of Bio-Techne | Catalog # NBP2-15851

Novus Biologicals, part of Bio-Techne
Catalog #
Availability
Size / Price
Qty
Loading...
NBP2-15851

Key Product Details

Species Reactivity

Human, Mouse

Applications

Immunohistochemistry, Immunohistochemistry-Paraffin, Western Blot, Immunocytochemistry/ Immunofluorescence

Label

Unconjugated

Antibody Source

Polyclonal Rabbit IgG

Format

BSA Free

Concentration

Concentrations vary lot to lot. See vial label for concentration. If unlisted please contact technical services.

Product Specifications

Immunogen

Recombinant protein encompassing a sequence within the N-terminus region of human CDYL. The exact sequence is proprietary.

Reactivity Notes

Rat (82%), Bovine (88%).

Localization

Nucleus

Clonality

Polyclonal

Host

Rabbit

Isotype

IgG

Theoretical MW

66 kDa.
Disclaimer note: The observed molecular weight of the protein may vary from the listed predicted molecular weight due to post translational modifications, post translation cleavages, relative charges, and other experimental factors.

Description

Novus Biologicals Rabbit CDYL Antibody - BSA Free (NBP2-15851) is a polyclonal antibody validated for use in IHC, WB and ICC/IF. All Novus Biologicals antibodies are covered by our 100% guarantee.

Scientific Data Images for CDYL Antibody - BSA Free

Immunocytochemistry/ Immunofluorescence: CDYL Antibody [NBP2-15851]

Immunocytochemistry/ Immunofluorescence: CDYL Antibody [NBP2-15851]

Immunocytochemistry/Immunofluorescence: CDYL Antibody [NBP2-15851] - Analysis of paraformaldehyde-fixed HeLa, using antibody at 1:500 dilution.
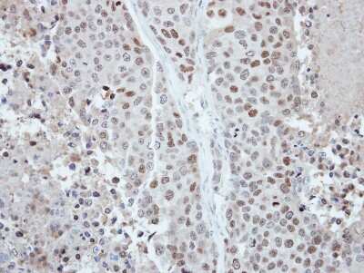
Immunohistochemistry-Paraffin: CDYL Antibody [NBP2-15851]

Immunohistochemistry-Paraffin: CDYL Antibody [NBP2-15851]

Immunohistochemistry-Paraffin: CDYL Antibody [NBP2-15851] - BT474 xenograft, using CDYL antibody at 1:250 dilution. Antigen Retrieval: Trilogy™ (EDTA based, pH 8.0) buffer, 15min.
CDYL Antibody - BSA Free

Western Blot: CDYL Antibody [NBP2-15851] -

MDA-MB-231 whole cell and nuclear extract (30 ug) were separated by 7.5% SDS-PAGE, and the membrane was blotted with CDYL antibody (NBP2-15851) diluted at 1:1000. The HRP-conjugated anti-rabbit IgG antibody was used to detect the primary antibody, and the signal was developed with Trident femto Western HRP Substrate.

Applications for CDYL Antibody - BSA Free

Application
Recommended Usage

Immunocytochemistry/ Immunofluorescence

1:100-1:1000

Immunohistochemistry

1:100-1:1000

Immunohistochemistry-Paraffin

1:100-1:1000

Western Blot

1:500-1:3000

Formulation, Preparation, and Storage

Purification

Antigen Affinity-purified

Formulation

0.1M Tris, 0.1M Glycine, 20% Glycerol

Format

BSA Free

Preservative

0.01% Thimerosal

Concentration

Concentrations vary lot to lot. See vial label for concentration. If unlisted please contact technical services.

Shipping

The product is shipped with polar packs. Upon receipt, store it immediately at the temperature recommended below.

Stability & Storage

Aliquot and store at -20C or -80C. Avoid freeze-thaw cycles.

Background: CDYL

Chromodomain Y is a primate-specific Y-chromosomal gene family expressed exclusively in the testis and implicated in infertility. Although the Y-linked genes are testis-specific, this autosomal gene is ubiquitously expressed. The Y-linked genes arose by retrotransposition of an mRNA from this gene, followed by amplification of the retroposed gene. Proteins encoded by this gene superfamily possess a chromodomain, a motif implicated in chromatin binding and gene suppression, and a catalytic domain believed to be involved in histone acetylation. Multiple proteins are encoded by transcript variants of this gene. [provided by RefSeq]

Alternate Names

CDYL1bA620A17.2 (chromodomain protein, Y chromosome-like), CDY-like, CDY-like, autosomal, chromodomain protein, Y chromosome-like, chromodomain protein, Y-like, chromodomain Y-like protein, DKFZp586C1622, EC 2.3.1.48, MGC131936, testis-specific chromodomain Y-like protein

Gene Symbol

CDYL

Additional CDYL Products

Product Documents for CDYL Antibody - BSA Free

Certificate of Analysis

To download a Certificate of Analysis, please enter a lot number in the search box below.

Product Specific Notices for CDYL Antibody - BSA Free

This product is for research use only and is not approved for use in humans or in clinical diagnosis. Primary Antibodies are guaranteed for 1 year from date of receipt.

Loading...
Loading...
Loading...
Loading...

⚠ WARNING: This product can expose you to chemicals including mercury, which is known to the State of California to cause reproductive toxicity with developmental effects.  For more information go to www.P65Warnings.ca.gov.