Skip to main content

CDKL2 Antibody (OTI12C2) - Azide and BSA Free

Novus Biologicals, part of Bio-Techne | Catalog # NBP2-71406

Novus Biologicals, part of Bio-Techne

Key Product Details

Species Reactivity

Human, Mouse, Rat

Applications

Immunohistochemistry, Immunohistochemistry-Paraffin, Western Blot

Label

Unconjugated

Antibody Source

Monoclonal Mouse IgG1 Clone # OTI12C2

Format

Azide and BSA Free

Concentration

LYOPH mg/ml

Product Specifications

Immunogen

Human recombinant protein fragment corresponding to amino acids 291-493 of human CDKL2 (NP_003939) produced in E.coli.

Reactivity Notes

Please note that this antibody is reactive to Mouse and derived from the same host, Mouse. Mouse-On-Mouse blocking reagent may be needed for IHC and ICC experiments to reduce high background signal. You can find these reagents under catalog numbers PK-2200-NB and MP-2400-NB. Please contact Technical Support if you have any questions.

Clonality

Monoclonal

Host

Mouse

Isotype

IgG1

Theoretical MW

55.8 kDa.
Disclaimer note: The observed molecular weight of the protein may vary from the listed predicted molecular weight due to post translational modifications, post translation cleavages, relative charges, and other experimental factors.

Description

Novus Biologicals Mouse CDKL2 Antibody (OTI12C2) - Azide and BSA Free (NBP2-46218) is a monoclonal antibody validated for use in IHC and WB. All Novus Biologicals antibodies are covered by our 100% guarantee.

Scientific Data Images for CDKL2 Antibody (OTI12C2) - Azide and BSA Free

Western Blot: CDKL2 Antibody (OTI12C2)Azide and BSA Free [NBP2-71406]

Western Blot: CDKL2 Antibody (OTI12C2)Azide and BSA Free [NBP2-71406]

Western Blot: CDKL2 Antibody (OTI12C2) - Azide and BSA Free [NBP2-71406] - Analysis of HEK293T cells were transfected with the pCMV6-ENTRY control (Left lane) or pCMV6-ENTRY CDKL2 .
Immunohistochemistry: CDKL2 Antibody (OTI12C2) - Azide and BSA Free [NBP2-71406]

Immunohistochemistry: CDKL2 Antibody (OTI12C2) - Azide and BSA Free [NBP2-71406]

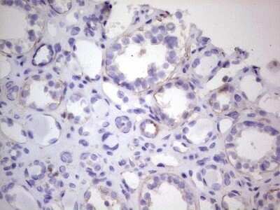
Immunohistochemistry: CDKL2 Antibody (OTI12C2) - Azide and BSA Free [NBP2-71406] - Analysis of Human Kidney tissue. (Heat-induced epitope retrieval by 1 mM EDTA in 10mM Tris, pH8.5, 120C for 3min)
Immunohistochemistry: CDKL2 Antibody (OTI12C2) - Azide and BSA Free [NBP2-71406]

Immunohistochemistry: CDKL2 Antibody (OTI12C2) - Azide and BSA Free [NBP2-71406]

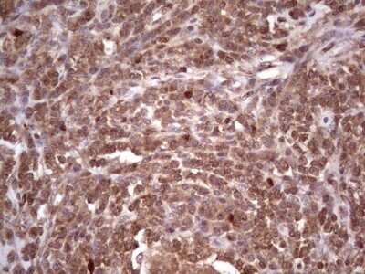
Immunohistochemistry: CDKL2 Antibody (OTI12C2) - Azide and BSA Free [NBP2-71406] - Analysis of Adenocarcinoma of Human colon tissue. (Heat-induced epitope retrieval by 1 mM EDTA in 10mM Tris, pH8.5, 120C for 3min)

Applications for CDKL2 Antibody (OTI12C2) - Azide and BSA Free

Application
Recommended Usage

Immunohistochemistry

1:150

Western Blot

1:2000

Formulation, Preparation, and Storage

Purification

Immunogen affinity purified

Reconstitution

we recommend adding 100uL distilled water to a final antibody concentration of about 1 mg/mL. To use this carrier-free antibody for conjugation experiment, we strongly recommend performing another round of desalting process.

Formulation

Lyophilized from PBS (pH 7.3) with 8% Trehalose

Format

Azide and BSA Free

Preservative

No Preservative

Concentration

LYOPH mg/ml

Shipping

The product is shipped with polar packs. Upon receipt, store it immediately at the temperature recommended below.

Stability & Storage

Store at -20C. Avoid freeze-thaw cycles.

Background: CDKL2

CDKL2 product is a member of a large family of CDC2-related serine/threonine protein kinases. It accumulates primarily in the cytoplasm, with lower levels in the nucleus.

Long Name

Cyclin-dependent kinase-like 2

Alternate Names

CDC2-related kinase, cyclin-dependent kinase-like 2, cyclin-dependent kinase-like 2 (CDC2-related kinase), EC 2.7.11, EC 2.7.11.22, KKIAMRE, P56, p56 KKIAMRE protein kinase, Protein kinase p56 KKIAMRE, serine/threonine protein kinase KKIAMRE, Serine/threonine-protein kinase KKIAMRE

Gene Symbol

CDKL2

Additional CDKL2 Products

Product Documents for CDKL2 Antibody (OTI12C2) - Azide and BSA Free

Certificate of Analysis

To download a Certificate of Analysis, please enter a lot number in the search box below.

Product Specific Notices for CDKL2 Antibody (OTI12C2) - Azide and BSA Free

This product is for research use only and is not approved for use in humans or in clinical diagnosis. Primary Antibodies are guaranteed for 1 year from date of receipt.

Loading...
Loading...
Loading...
Loading...
Loading...