Skip to main content

Cdk5 Antibody - BSA Free

Novus Biologicals, part of Bio-Techne | Catalog # NBP2-15843

Novus Biologicals, part of Bio-Techne
Catalog #
Availability
Size / Price
Qty
Loading...
NBP2-15843

Key Product Details

Validated by

Knockout/Knockdown

Species Reactivity

Validated:

Human, Mouse, Rat

Predicted:

Bovine (100%), Porcine (100%), Rhesus Macaque (100%), Sheep (100%). Backed by our 100% Guarantee.

Applications

Knockout Validated, Immunohistochemistry, Immunohistochemistry-Paraffin, Western Blot, Immunocytochemistry/ Immunofluorescence

Label

Unconjugated

Antibody Source

Polyclonal Rabbit IgG

Format

BSA Free

Concentration

Concentrations vary lot to lot. See vial label for concentration. If unlisted please contact technical services.

Product Specifications

Immunogen

Carrier-protein conjugated synthetic peptide encompassing a sequence within the C-terminus region of human Cdk5. The exact sequence is proprietary.

Localization

Cytoplasm; Cell projection; lamellipodium; growth cone

Clonality

Polyclonal

Host

Rabbit

Isotype

IgG

Theoretical MW

33 kDa.
Disclaimer note: The observed molecular weight of the protein may vary from the listed predicted molecular weight due to post translational modifications, post translation cleavages, relative charges, and other experimental factors.

Description

Novus Biologicals Knockout (KO) Validated Rabbit Cdk5 Antibody - BSA Free (NBP2-15843) is a polyclonal antibody validated for use in IHC, WB and ICC/IF. All Novus Biologicals antibodies are covered by our 100% guarantee.

Scientific Data Images for Cdk5 Antibody - BSA Free

Western Blot: Cdk5 Antibody [NBP2-15843]

Western Blot: Cdk5 Antibody [NBP2-15843]

Western Blot: Cdk5 Antibody [NBP2-15843] - Wild-type (WT) and CDK5 knockout (KO) 293T cell extracts (30 ug) were separated by 12% SDS-PAGE, and the membrane was blotted with CDK5 antibody diluted at 1:500. HRP-conjugated anti-rabbit IgG antibody was used to detect the primary antibody
Immunocytochemistry/ Immunofluorescence: Cdk5 Antibody [NBP2-15843]

Immunocytochemistry/ Immunofluorescence: Cdk5 Antibody [NBP2-15843]

Immunocytochemistry/Immunofluorescence: Cdk5 Antibody [NBP2-15843] - Analysis of paraformaldehyde-fixed A549, using antibody at 1:200 dilution.
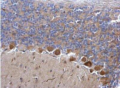
Immunohistochemistry-Paraffin: Cdk5 Antibody [NBP2-15843]

Immunohistochemistry-Paraffin: Cdk5 Antibody [NBP2-15843]

Immunohistochemistry-Paraffin: Cdk5 Antibody [NBP2-15843] - Rat hind brain. CDK5 antibody [C2C3], C-term dilution: 1:500. Antigen Retrieval: Trilogy™ (EDTA based, pH 8.0) buffer, 15min.

Applications for Cdk5 Antibody - BSA Free

Application
Recommended Usage

Immunocytochemistry/ Immunofluorescence

1:100-1:1000

Immunohistochemistry

1:100-1:1000

Immunohistochemistry-Paraffin

1:100-1:1000

Western Blot

1:500-1:3000

Formulation, Preparation, and Storage

Purification

Antigen Affinity-purified

Formulation

0.1M Tris, 0.1M Glycine, 10% Glycerol

Format

BSA Free

Preservative

0.01% Thimerosal

Concentration

Concentrations vary lot to lot. See vial label for concentration. If unlisted please contact technical services.

Shipping

The product is shipped with polar packs. Upon receipt, store it immediately at the temperature recommended below.

Stability & Storage

Aliquot and store at -20C or -80C. Avoid freeze-thaw cycles.

Background: CDK5

Probably involved in the control of the cell cycle. Interacts with D1 and D3-type G1 cyclins. Can phosphorylate histone H1, tau, MAP2 and NF-H and NF-M. Also interacts with p35 which activates the kinase.

Long Name

Cyclin-dependent Kinase 5

Alternate Names

CDKN5, LIS7, PSSALRE

Gene Symbol

CDK5

UniProt

Additional CDK5 Products

Product Documents for Cdk5 Antibody - BSA Free

Certificate of Analysis

To download a Certificate of Analysis, please enter a lot number in the search box below.

Product Specific Notices for Cdk5 Antibody - BSA Free

This product is for research use only and is not approved for use in humans or in clinical diagnosis. Primary Antibodies are guaranteed for 1 year from date of receipt.

Loading...
Loading...
Loading...
Loading...

⚠ WARNING: This product can expose you to chemicals including mercury, which is known to the State of California to cause reproductive toxicity with developmental effects.  For more information go to www.P65Warnings.ca.gov.