Skip to main content

CDK2 Antibody (OTI2D9)

Novus Biologicals, part of Bio-Techne | Catalog # NBP2-00776

Novus Biologicals, part of Bio-Techne
Catalog #
Availability
Size / Price
Qty
Loading...
NBP2-00776

Key Product Details

Species Reactivity

Human, Mouse, Rat, Canine, Monkey

Applications

Immunohistochemistry, Immunohistochemistry-Paraffin, Western Blot, Flow Cytometry, Immunocytochemistry/ Immunofluorescence

Label

Unconjugated

Antibody Source

Monoclonal Mouse IgG2A Clone # OTI2D9

Concentration

0.78 mg/ml

Product Specifications

Immunogen

Full length human recombinant protein of human CDK2 (NP_001789) produced in HEK293T cell.

Reactivity Notes

Please note that this antibody is reactive to Mouse and derived from the same host, Mouse. Mouse-On-Mouse blocking reagent may be needed for IHC and ICC experiments to reduce high background signal. You can find these reagents under catalog numbers PK-2200-NB and MP-2400-NB. Please contact Technical Support if you have any questions.

Clonality

Monoclonal

Host

Mouse

Isotype

IgG2A

Theoretical MW

33.7 kDa.
Disclaimer note: The observed molecular weight of the protein may vary from the listed predicted molecular weight due to post translational modifications, post translation cleavages, relative charges, and other experimental factors.

Description

Novus Biologicals Mouse CDK2 Antibody (OTI2D9) (NBP2-00776) is a monoclonal antibody validated for use in IHC, WB, Flow and ICC/IF. All Novus Biologicals antibodies are covered by our 100% guarantee.

Scientific Data Images for CDK2 Antibody (OTI2D9)

Western Blot: Cdk2 Antibody (2D9) [NBP2-00776] Analysis of extracts (35ug) from 9 different cell lines by using anti-Cdk2 monoclonal antibody.
Immunocytochemistry/ Immunofluorescence: CDK2 Antibody (OTI2D9) [NBP2-00776]

Immunocytochemistry/ Immunofluorescence: CDK2 Antibody (OTI2D9) [NBP2-00776]

Immunocytochemistry/Immunofluorescence: Cdk2 Antibody (2D9) [NBP2-00776] - Staining of COS7 cells transiently transfected by pCMV6-ENTRY Cdk2.
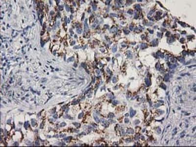
Immunohistochemistry-Paraffin: CDK2 Antibody (OTI2D9) [NBP2-00776]

Immunohistochemistry-Paraffin: CDK2 Antibody (OTI2D9) [NBP2-00776]

Immunohistochemistry-Paraffin: Cdk2 Antibody (2D9) [NBP2-00776] - Staining of paraffin-embedded Carcinoma of Human lung tissue using anti-Cdk2 mouse monoclonal antibody.

Applications for CDK2 Antibody (OTI2D9)

Application
Recommended Usage

Flow Cytometry

1:100

Immunocytochemistry/ Immunofluorescence

1:100

Immunohistochemistry

1:150

Immunohistochemistry-Paraffin

1:150

Western Blot

1:500-2000

Reviewed Applications

Read 1 review rated 5 using NBP2-00776 in the following applications:

Formulation, Preparation, and Storage

Purification

Immunogen affinity purified

Formulation

PBS (pH 7.3), 1.0% BSA and 50% Glycerol

Preservative

0.02% Sodium Azide

Concentration

0.78 mg/ml

Shipping

The product is shipped with polar packs. Upon receipt, store it immediately at the temperature recommended below.

Stability & Storage

Store at -20C. Avoid freeze-thaw cycles.

Background: CDK2

The protein encoded by this gene is a member of the Ser/Thr protein kinase family. This protein kinase is highly similar to the gene products of S. cerevisiae cdc28, and S. pombe cdc2. It is a catalytic subunit of the cyclin-dependent protein kinase complex, whose activity is restricted to the G1-S phase, and essential for cell cycle G1/S phase transition. This protein associates with and regulated by the regulatory subunits of the complex including cyclin A or E, CDK inhibitor p21Cip1 (CDKN1A) and p27Kip1 (CDKN1B). Its activity is also regulated by its protein phosphorylation. Two alternatively spliced variants and multiple transcription initiation sites of this gene have been reported. [provided by RefSeq].

Long Name

Cyclin-dependent Kinase 2

Alternate Names

cdc2-related protein kinase, cell devision kinase 2, Cell division protein kinase 2, cyclin-dependent kinase 2, EC 2.7.11, EC 2.7.11.22, p33 protein kinase, p33(CDK2)

Entrez Gene IDs

1017 (Human)

Gene Symbol

CDK2

Additional CDK2 Products

Product Documents for CDK2 Antibody (OTI2D9)

Certificate of Analysis

To download a Certificate of Analysis, please enter a lot number in the search box below.

Product Specific Notices for CDK2 Antibody (OTI2D9)

This product is for research use only and is not approved for use in humans or in clinical diagnosis. Primary Antibodies are guaranteed for 1 year from date of receipt.

Loading...
Loading...
Loading...
Loading...
Loading...