Skip to main content

CDK2 Antibody (1A6) - BSA Free

Novus Biologicals, part of Bio-Techne | Catalog # NBP2-37507

Novus Biologicals, part of Bio-Techne
Catalog #
Availability
Size / Price
Qty
Loading...
NBP2-37507
NBP2-37507-0.025ml

Key Product Details

Species Reactivity

Human, Mouse

Applications

CyTOF-ready, ELISA, Flow Cytometry, Immunocytochemistry/ Immunofluorescence, Immunohistochemistry, Immunohistochemistry-Paraffin, Western Blot

Label

Unconjugated

Antibody Source

Monoclonal Mouse IgG1 Clone # 1A6

Format

BSA Free

Concentration

1 mg/ml

Product Specifications

Immunogen

Purified recombinant fragment of human CDK2 expressed in E. Coli.

Reactivity Notes

Mouse blocking reagent may be needed for IHC and ICC experiments to reduce high background signal. You can find these reagents under catalog numbers PK-2200-NB and MP-2400-NB. Please contact Technical Support if you have any Please note that this antibody is reactive to Mouse and derived from the same host, Mouse. Mouse-On-questions.

Clonality

Monoclonal

Host

Mouse

Isotype

IgG1

Theoretical MW

33.9 kDa.
Disclaimer note: The observed molecular weight of the protein may vary from the listed predicted molecular weight due to post translational modifications, post translation cleavages, relative charges, and other experimental factors.

Description

Novus Biologicals Mouse CDK2 Antibody (1A6) - BSA Free (NBP2-37507) is a monoclonal antibody validated for use in IHC, WB, ELISA, Flow and ICC/IF. All Novus Biologicals antibodies are covered by our 100% guarantee.

Scientific Data Images for CDK2 Antibody (1A6) - BSA Free

Western Blot: CDK2 Antibody (1A6)BSA Free [NBP2-37507]

Western Blot: CDK2 Antibody (1A6)BSA Free [NBP2-37507]

Western Blot: CDK2 Antibody (1A6) [NBP2-37507] - Analysis using CDK2 mouse mAb against Jurkat (1), HL-60 (2), K562(3), A431(4), HeLa(5), and NIH3T3 (6) cell lysate.
Immunocytochemistry/ Immunofluorescence: CDK2 Antibody (1A6) - BSA Free [NBP2-37507]

Immunocytochemistry/ Immunofluorescence: CDK2 Antibody (1A6) - BSA Free [NBP2-37507]

Immunocytochemistry/Immunofluorescence: CDK2 Antibody (1A6) [NBP2-37507] - Analysis of HeLa cells using CDK2 mouse mAb (green). Red: Actin filaments have been labeled with Alexa Fluor-555 phalloidin.
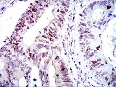
Immunohistochemistry-Paraffin: CDK2 Antibody (1A6) - BSA Free [NBP2-37507]

Immunohistochemistry-Paraffin: CDK2 Antibody (1A6) - BSA Free [NBP2-37507]

Immunohistochemistry-Paraffin: CDK2 Antibody (1A6) [NBP2-37507] - Analysis of colon cancer tissues using CDK2 mouse mAb with DAB staining.

Applications for CDK2 Antibody (1A6) - BSA Free

Application
Recommended Usage

ELISA

1:10000

Flow Cytometry

1:200 - 1:400

Immunocytochemistry/ Immunofluorescence

1:200 - 1:1000

Immunohistochemistry

1:200 - 1:1000

Immunohistochemistry-Paraffin

1:200 - 1:1000

Western Blot

1:500 - 1:2000
Application Notes
This antibody is Cytof ready. CDK2 antibody validated for IHC-P from a verified customer review.

Reviewed Applications

Read 1 review rated 5 using NBP2-37507 in the following applications:

Formulation, Preparation, and Storage

Purification

Protein G purified

Formulation

PBS

Format

BSA Free

Preservative

0.05% Sodium Azide

Concentration

1 mg/ml

Shipping

The product is shipped with polar packs. Upon receipt, store it immediately at the temperature recommended below.

Stability & Storage

Store at 4C short term. Aliquot and store at -20C long term. Avoid freeze-thaw cycles.

Background: CDK2

The protein encoded by the Cdk2 gene is a member of the Ser/Thr protein kinase family. This protein kinase is highlysimilar to the gene products of S. cerevisiae cdc28, and S. pombe cdc2. It is a catalytic subunit of thecyclin-dependent protein kinase complex, whose activity is restricted to the G1-S phase, and essential for cell cycleG1/S phase transition. This protein associates with and regulated by the regulatory subunits of the complex includingcyclin A or E, CDK inhibitor p21Cip1 (CDKN1A) and p27Kip1 (CDKN1B). Its activity is also regulated by its proteinphosphorylation. Two alternatively spliced variants and multiple transcription initiation sites of this gene have beenreported. (provided by RefSeq)

Long Name

Cyclin-dependent Kinase 2

Alternate Names

cdc2-related protein kinase, cell devision kinase 2, Cell division protein kinase 2, cyclin-dependent kinase 2, EC 2.7.11, EC 2.7.11.22, p33 protein kinase, p33(CDK2)

Gene Symbol

CDK2

Additional CDK2 Products

Product Documents for CDK2 Antibody (1A6) - BSA Free

Certificate of Analysis

To download a Certificate of Analysis, please enter a lot number in the search box below.

Product Specific Notices for CDK2 Antibody (1A6) - BSA Free

This product is for research use only and is not approved for use in humans or in clinical diagnosis. Primary Antibodies are guaranteed for 1 year from date of receipt.

Loading...
Loading...
Loading...
Loading...
Loading...