Skip to main content

CDCP1 Antibody - BSA Free

Novus Biologicals, part of Bio-Techne | Catalog # NBP1-85759

Novus Biologicals, part of Bio-Techne
Catalog #
Availability
Size / Price
Qty
Loading...
NBP1-85759
NBP1-85759-25ul

Key Product Details

Validated by

Orthogonal Validation

Species Reactivity

Validated:

Human

Cited:

Human

Applications

Validated:

Immunohistochemistry, Immunohistochemistry-Paraffin

Cited:

IF/IHC

Label

Unconjugated

Antibody Source

Polyclonal Rabbit IgG

Format

BSA Free

Concentration

Concentrations vary lot to lot. See vial label for concentration. If unlisted please contact technical services.

Product Specifications

Immunogen

This antibody was developed against Recombinant Protein corresponding to amino acids: SKHKISFLCDDLTRLWMNVEKTISCTDHRYCQRKSYSLQVPSDILHLPVELHDFSWKLLVPKDRLSLVLVPAQKLQQHTHEKPCNTSFSYLVASAIPSQDLYFGSFCPGGSIKQIQVKQ

Reactivity Notes

Immunogen displays the following percentage of sequence identity for non-tested species: Rat (81%).

Clonality

Polyclonal

Host

Rabbit

Isotype

IgG

Description

Novus Biologicals Rabbit CDCP1 Antibody - BSA Free (NBP1-85759) is a polyclonal antibody validated for use in IHC. Anti-CDCP1 Antibody: Cited in 1 publication. All Novus Biologicals antibodies are covered by our 100% guarantee.

Scientific Data Images for CDCP1 Antibody - BSA Free

CDCP1 Antibody

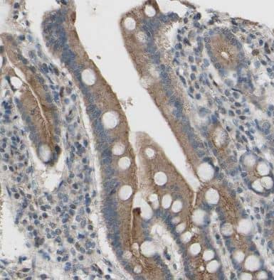
Immunohistochemistry-Paraffin: CDCP1 Antibody [NBP1-85759] -

Immunohistochemistry-Paraffin: CDCP1 Antibody [NBP1-85759] - Analysis in human duodenum and lymph node tissues using NBP1-85759 antibody. Corresponding CDCP1 RNA-seq data are presented for the same tissues.
CDCP1 Antibody

Immunohistochemistry-Paraffin: CDCP1 Antibody [NBP1-85759] -

Immunohistochemistry-Paraffin: CDCP1 Antibody [NBP1-85759] - Staining of human duodenum shows moderate membranous positivity in glandular cells.
CDCP1 Antibody

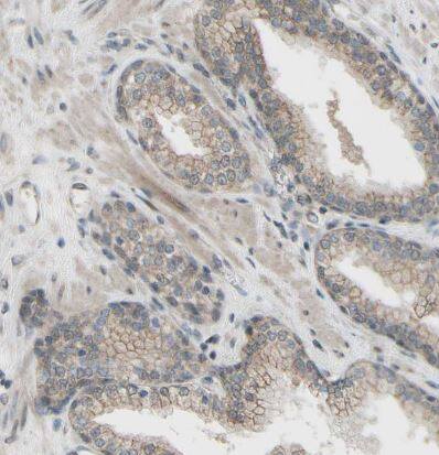
Immunohistochemistry-Paraffin: CDCP1 Antibody [NBP1-85759] -

Immunohistochemistry-Paraffin: CDCP1 Antibody [NBP1-85759] - Staining of human Fallopian tube shows moderate membranous positivity in glandular cells.

Applications for CDCP1 Antibody - BSA Free

Application
Recommended Usage

Immunohistochemistry

1:20 - 1:50

Immunohistochemistry-Paraffin

1:20 - 1:50
Application Notes
For IHC-Paraffin, HIER pH 6 retrieval is recommended.

Formulation, Preparation, and Storage

Purification

Immunogen affinity purified

Formulation

PBS (pH 7.2) and 40% Glycerol

Format

BSA Free

Preservative

0.02% Sodium Azide

Concentration

Concentrations vary lot to lot. See vial label for concentration. If unlisted please contact technical services.

Shipping

The product is shipped with polar packs. Upon receipt, store it immediately at the temperature recommended below.

Stability & Storage

Store at 4C short term. Aliquot and store at -20C long term. Avoid freeze-thaw cycles.

Background: CDCP1

CDCP1 is encoded by this gene is a transmembrane protein containing three extracellular CUB domains. This protein is found to be overexpressed in colon and lung cancers. Its expression level is correlated with the metastatic ability of carcinoma cells. This protein is located on the cell surface. It has been shown to be tyrosine phosphorylated in a cancer cell line. Alternatively spliced transcript variants encoding distinct isoforms have been reported.

Long Name

CUB Domain Containing Protein 1

Alternate Names

CD318, SIMA135

Gene Symbol

CDCP1

Additional CDCP1 Products

Product Documents for CDCP1 Antibody - BSA Free

Certificate of Analysis

To download a Certificate of Analysis, please enter a lot number in the search box below.

Product Specific Notices for CDCP1 Antibody - BSA Free

This product is for research use only and is not approved for use in humans or in clinical diagnosis. Primary Antibodies are guaranteed for 1 year from date of receipt.

Loading...
Loading...
Loading...
Loading...