Skip to main content

CDCA5 Antibody (SR1580) - BSA Free

Novus Biologicals, part of Bio-Techne | Catalog # NBP3-21699

Recombinant Monoclonal Antibody
Novus Biologicals, part of Bio-Techne
Catalog #
Availability
Size / Price
Qty
Loading...
NBP3-21699-100ul
NBP3-21699-50ul

Key Product Details

Species Reactivity

Human

Applications

Immunohistochemistry, Western Blot, Flow Cytometry, Immunocytochemistry/ Immunofluorescence

Label

Unconjugated

Antibody Source

Recombinant Monoclonal Rabbit IgG Clone # SR1580 expressed in HEK293

Format

BSA Free

Concentration

Please see the vial label for concentration. If unlisted please contact technical services.

Product Specifications

Immunogen

A synthesized peptide derived from human CDCA5 (Uniprot #: Q96FF9 )

Specificity

Detects endogenous levels of total CDCA5

Clonality

Monoclonal

Host

Rabbit

Isotype

IgG

Theoretical MW

35 kDa.
Disclaimer note: The observed molecular weight of the protein may vary from the listed predicted molecular weight due to post translational modifications, post translation cleavages, relative charges, and other experimental factors.

Description

Novus Biologicals Rabbit CDCA5 Antibody (SR1580) - BSA Free (NBP3-21699) is a recombinant monoclonal antibody validated for use in IHC, WB, Flow and ICC/IF. All Novus Biologicals antibodies are covered by our 100% guarantee.

Scientific Data Images for CDCA5 Antibody (SR1580) - BSA Free

Western Blot: CDCA5 Antibody (SR1580) [NBP3-21699] -

Western Blot: CDCA5 Antibody (SR1580) [NBP3-21699] - Western blot analysis using NBP3-21699 in Jurkat cell lysate.

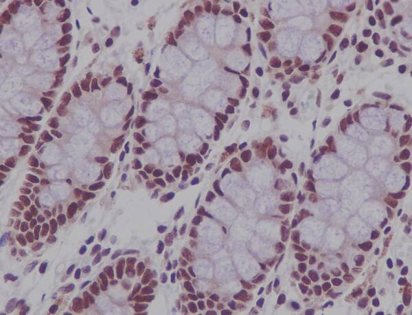
Immunohistochemistry: CDCA5 Antibody (SR1580) [NBP3-21699] -

Immunohistochemistry: CDCA5 Antibody (SR1580) [NBP3-21699] - Immunohistochemical analysis of paraffin-embedded human colon, using NBP3-21699.

Immunocytochemistry/Immunofluorescence: CDCA5 Antibody (SR1580) [NBP3-21699] -

Immunocytochemistry/Immunofluorescence: CDCA5 Antibody (SR1580) [NBP3-21699] - Immunofluorescent analysis of Hela cells, using NBP3-21699.

Applications for CDCA5 Antibody (SR1580) - BSA Free

Application
Recommended Usage

Flow Cytometry

1:50

Immunocytochemistry/ Immunofluorescence

1:50-1:200

Immunohistochemistry

1:50-1:200

Western Blot

1:500-1:2000

Formulation, Preparation, and Storage

Purification

Affinity purified

Formulation

PBS, pH 7.4, 150mM NaCl, 50% glycerol.

Format

BSA Free

Preservative

0.02% Sodium Azide

Concentration

Please see the vial label for concentration. If unlisted please contact technical services.

Shipping

The product is shipped with polar packs. Upon receipt, store it immediately at the temperature recommended below.

Stability & Storage

Store at 4C short term. Aliquot and store at -20C long term. Avoid freeze-thaw cycles.

Background: CDCA5

Regulator of sister chromatid cohesion in mitosis. May act by regulating the ability of the cohesin complexto mediate sister chromatid cohesion, perhaps by altering the nature of the interaction of cohesin with thechromosomes

Alternate Names

cell division cycle associated 5, Cell division cycle-associated protein 5, MGC16386, p35, SORORIN

Gene Symbol

CDCA5

Additional CDCA5 Products

Product Documents for CDCA5 Antibody (SR1580) - BSA Free

Certificate of Analysis

To download a Certificate of Analysis, please enter a lot number in the search box below.

Product Specific Notices for CDCA5 Antibody (SR1580) - BSA Free

This product is for research use only and is not approved for use in humans or in clinical diagnosis. Primary Antibodies are guaranteed for 1 year from date of receipt.

Loading...
Loading...
Loading...
Loading...
Loading...