CDC37 Antibody - Azide and BSA Free
Novus Biologicals, part of Bio-Techne | Catalog # NBP2-98122
Conjugate
Catalog #
Key Product Details
Species Reactivity
Mouse
Applications
Immunohistochemistry, Immunohistochemistry-Paraffin, Western Blot, ELISA, Immunoprecipitation
Label
Unconjugated
Antibody Source
Polyclonal Rabbit IgG
Format
Azide and BSA Free
Concentration
Please see the vial label for concentration. If unlisted please contact technical services.
Product Specifications
Immunogen
Produced in rabbits immunized with purified, recombinant Mouse CDC37 (Uniprot#: Q61081; Met1-Ala379)
Clonality
Polyclonal
Host
Rabbit
Isotype
IgG
Description
This antibody can be stored at 2C to 8C for one month without detectable loss of activity. Antibody products are stable for twelve months from date of receipt when stored at -20C to -80C. Avoid repeated freeze-thaw cycles.
Scientific Data Images for CDC37 Antibody - Azide and BSA Free
Western Blot: CDC37 Antibody [NBP2-98122]
Western Blot: CDC37 Antibody [NBP2-98122] - Anti-CDC37 rabbit polyclonal antibody at 1:500 dilution. Lane A: HepG2 Whole Cell Lysate. Lysates/proteins at 30 ug per lane. Secondary Goat Anti-Rabbit IgG H&L (Dylight 800) at 1/10000 dilution. Developed using the Odyssey technique. Performed under reducing conditions. Predicted band size: 42 kDa. Observed band size: 48 kDa (We are unsure as to the identity of these extra bands).Immunohistochemistry-Paraffin: CDC37 Antibody [NBP2-98122]
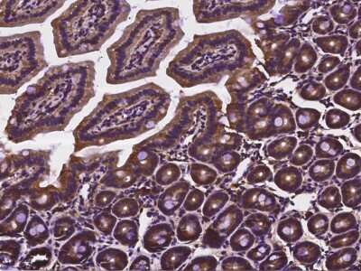
Immunohistochemistry-Paraffin: CDC37 Antibody [NBP2-98122] - Immunochemical staining of mouse CDC37 in mouse intestine with rabbit polyclonal antibody (1:10000, formalin-fixed paraffin embedded sections).Immunohistochemistry-Paraffin: CDC37 Antibody [NBP2-98122]
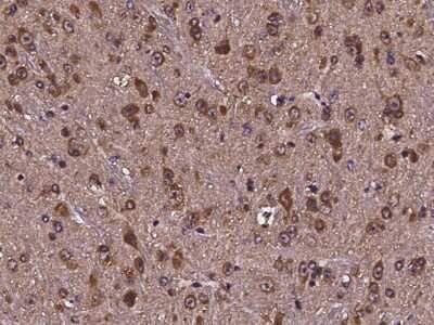
Immunohistochemistry-Paraffin: CDC37 Antibody [NBP2-98122] - Immunochemical staining of mouse CDC37 in mouse brain with rabbit polyclonal antibody (1:10000, formalin-fixed paraffin embedded sections).Applications for CDC37 Antibody - Azide and BSA Free
Application
Recommended Usage
ELISA
1:5000-1:10000
Immunohistochemistry-Paraffin
1:2500-1:10000
Immunoprecipitation
1-4 uL/mg of lysate
Western Blot
1:500-1:2000
Formulation, Preparation, and Storage
Purification
Antigen and protein A Affinity-purified
Formulation
0.2 um filtered solution in PBS
Format
Azide and BSA Free
Preservative
No Preservative
Concentration
Please see the vial label for concentration. If unlisted please contact technical services.
Shipping
The product is shipped with polar packs. Upon receipt, store it immediately at the temperature recommended below.
Stability & Storage
Store at 4C short term. Aliquot and store at -20C long term. Avoid freeze-thaw cycles.
Background: CDC37
Alternate Names
CDC37 (cell division cycle 37, S. cerevisiae, homolog), CDC37 cell division cycle 37 homolog, CDC37 cell division cycle 37 homolog (S. cerevisiae), CDC37A, cell division cycle 37 homolog (S. cerevisiae), Hsp90 chaperone protein kinase-targeting subunit, hsp90 co-chaperone Cdc37, P50CDC37
Gene Symbol
CDC37
Additional CDC37 Products
Product Documents for CDC37 Antibody - Azide and BSA Free
Product Specific Notices for CDC37 Antibody - Azide and BSA Free
This product is for research use only and is not approved for use in humans or in clinical diagnosis. Primary Antibodies are guaranteed for 1 year from date of receipt.
Loading...
Loading...
Loading...
Loading...