Cdc23 Antibody - BSA Free
Novus Biologicals, part of Bio-Techne | Catalog # NBP3-35501
Key Product Details
Species Reactivity
Human, Mouse, Rat
Applications
Immunohistochemistry, Immunohistochemistry-Paraffin, Western Blot, ELISA
Label
Unconjugated
Antibody Source
Polyclonal Rabbit IgG
Format
BSA Free
Concentration
Please see the vial label for concentration. If unlisted please contact technical services.
Product Specifications
Immunogen
A synthetic peptide corresponding to a sequence within amino acids 50-150 of human Cdc23 (NP_004652.2).
Sequence:
HSSKWSAELAFSLPALPLAELQPPPPITEEDAQDMDAYTLAKAYFDVKEYDRAAHFLHGCNSKKAYFLYMYSRYLSGEKKKDDETVDSLGPLEKGQVKNEA
Sequence:
HSSKWSAELAFSLPALPLAELQPPPPITEEDAQDMDAYTLAKAYFDVKEYDRAAHFLHGCNSKKAYFLYMYSRYLSGEKKKDDETVDSLGPLEKGQVKNEA
Clonality
Polyclonal
Host
Rabbit
Isotype
IgG
Theoretical MW
69 kDa.
Disclaimer note: The observed molecular weight of the protein may vary from the listed predicted molecular weight due to post translational modifications, post translation cleavages, relative charges, and other experimental factors.
Disclaimer note: The observed molecular weight of the protein may vary from the listed predicted molecular weight due to post translational modifications, post translation cleavages, relative charges, and other experimental factors.
Description
Novus Biologicals Rabbit Cdc23 Antibody - BSA Free (NBP3-35501) is a polyclonal antibody validated for use in IHC, WB and ELISA. All Novus Biologicals antibodies are covered by our 100% guarantee.
Scientific Data Images for Cdc23 Antibody - BSA Free
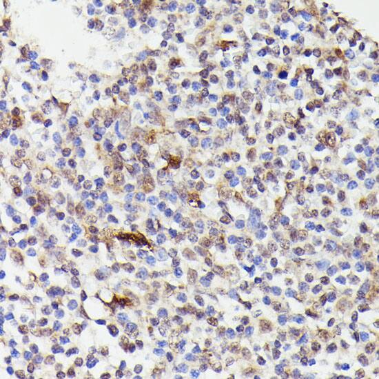
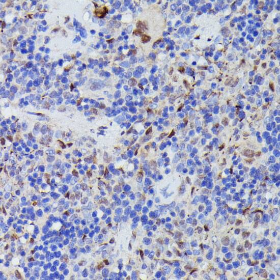
Immunohistochemistry: Cdc23 Antibody [NBP3-35501] -
Immunohistochemistry: Cdc23 Antibody [NBP3-35501] - Immunohistochemistry analysis of paraffin-embedded Mouse lung using Cdc23 Rabbit pAb at dilution of 1:100 (40x lens). Microwave antigen retrieval performed with 0.01M PBS Buffer (pH 7.2) prior to IHC staining.Immunohistochemistry: Cdc23 Antibody [NBP3-35501] -
Immunohistochemistry: Cdc23 Antibody [NBP3-35501] - Immunohistochemistry analysis of paraffin-embedded Human tonsil using Cdc23 Rabbit pAb at dilution of 1:100 (40x lens). Microwave antigen retrieval performed with 0.01M PBS Buffer (pH 7.2) prior to IHC staining.Immunohistochemistry: Cdc23 Antibody [NBP3-35501] -
Immunohistochemistry: Cdc23 Antibody [NBP3-35501] - Immunohistochemistry analysis of paraffin-embedded Rat spleen using Cdc23 Rabbit pAb at dilution of 1:100 (40x lens). Microwave antigen retrieval performed with 0.01M PBS Buffer (pH 7.2) prior to IHC staining.Applications for Cdc23 Antibody - BSA Free
Application
Recommended Usage
Immunohistochemistry-Paraffin
1:100 - 1:200
Western Blot
1:500 - 1:2000
Formulation, Preparation, and Storage
Purification
Affinity purified
Formulation
PBS (pH 7.3), 50% glycerol
Format
BSA Free
Preservative
0.01% Thimerosal
Concentration
Please see the vial label for concentration. If unlisted please contact technical services.
Shipping
The product is shipped with polar packs. Upon receipt, store it immediately at the temperature recommended below.
Stability & Storage
Store at -20C. Avoid freeze-thaw cycles.
Background: Cdc23
Alternate Names
ANAPC8anaphase promoting complex subunit 8, Anaphase-promoting complex subunit 8, APC8CDC23 (cell division cycle 23, yeast, homolog), cell division cycle 23 homolog (S. cerevisiae), cell division cycle protein 23 homolog, CUT23, Cyclosome subunit 8
Gene Symbol
CDC23
Additional Cdc23 Products
Product Documents for Cdc23 Antibody - BSA Free
Product Specific Notices for Cdc23 Antibody - BSA Free
This product is for research use only and is not approved for use in humans or in clinical diagnosis. Primary Antibodies are guaranteed for 1 year from date of receipt.
Loading...
Loading...
Loading...
Loading...