Skip to main content

CD74 Antibody - Azide Free

Novus Biologicals, part of Bio-Techne | Catalog # NBP1-33109

Novus Biologicals, part of Bio-Techne
Catalog #
Availability
Size / Price
Qty
Loading...
NBP1-33109

Key Product Details

Species Reactivity

Validated:

Human, Mouse, Rat

Cited:

Human

Predicted:

Chimpanzee (100%). Backed by our 100% Guarantee.

Applications

Validated:

Immunohistochemistry, Immunohistochemistry-Paraffin, Western Blot, Immunocytochemistry/ Immunofluorescence

Cited:

Western Blot, IF/IHC

Label

Unconjugated

Antibody Source

Polyclonal Rabbit IgG

Format

Azide Free

Concentration

Concentrations vary lot to lot. See vial label for concentration. If unlisted please contact technical services.

Product Specifications

Immunogen

Carrier-protein conjugated synthetic peptide encompassing a sequence within the N-terminus region of human CD74. The exact sequence is proprietary.

Localization

Membrane, Single-pass type II membrane protein

Clonality

Polyclonal

Host

Rabbit

Isotype

IgG

Theoretical MW

34 kDa.
Disclaimer note: The observed molecular weight of the protein may vary from the listed predicted molecular weight due to post translational modifications, post translation cleavages, relative charges, and other experimental factors.

Scientific Data Images for CD74 Antibody - Azide Free

Western Blot: CD74 Antibody [NBP1-33109]

Western Blot: CD74 Antibody [NBP1-33109]

Western Blot: CD74 Antibody [NBP1-33109] - Various whole cell extracts (30 ug) were separated by 15% SDS-PAGE, and the membrane was blotted with CD74 antibody [N1N2], N-term diluted at 1:1000. The HRP-conjugated anti-rabbit IgG antibody (NBP2-19301) was used to detect the primary antibody.
Immunocytochemistry/ Immunofluorescence: CD74 Antibody [NBP1-33109]

Immunocytochemistry/ Immunofluorescence: CD74 Antibody [NBP1-33109]

Immunocytochemistry/Immunofluorescence: CD74 Antibody [NBP1-33109] - Raji cells were fixed in 4% paraformaldehyde at RT for 15 min.Green: CD74 stained by CD74 antibody [N1N2], N-term diluted at 1:500.Blue: Fluoroshield with DAPI.
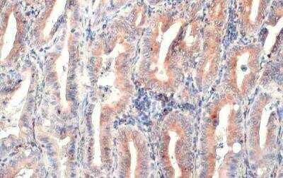
Immunohistochemistry-Paraffin: CD74 Antibody [NBP1-33109]

Immunohistochemistry-Paraffin: CD74 Antibody [NBP1-33109]

Immunohistochemistry-Paraffin: CD74 Antibody [NBP1-33109] - Human lung cancer. CD74 stained by CD74 antibody [N1N2], N-term diluted at 1:500.Antigen Retrieval: Citrate buffer, pH 6.0, 15 min.

Applications for CD74 Antibody - Azide Free

Application
Recommended Usage

Immunocytochemistry/ Immunofluorescence

Assay dependent

Immunohistochemistry

1:100-1:1000

Immunohistochemistry-Paraffin

1:100-1:1000

Western Blot

1:500-1:3000

Formulation, Preparation, and Storage

Purification

Antigen Affinity-purified

Formulation

PBS, 1% BSA, 20% Glycerol

Format

Azide Free

Preservative

0.025% Proclin 300

Concentration

Concentrations vary lot to lot. See vial label for concentration. If unlisted please contact technical services.

Shipping

The product is shipped with polar packs. Upon receipt, store it immediately at the temperature recommended below.

Stability & Storage

Aliquot and store at -20C or -80C. Avoid freeze-thaw cycles.

Background: CD74

CD74, also known as the MHC class II associated invariant chain (Ii), is a type II transmembrane protein which binds to the peptide binding groove of newly synthesized MHC class II alpha/beta heterodimers and prevents their premature association with endogenous polypeptides. CD74 is produced in molar excess over MHC class II and some of this is expressed by an unknown pathway on the cell surface independent of, or in association with, MHC class II molecules. The half life of CD74 on the cell surface is only 3 to 4 min after which it is internalized. It has been proposed that cell surface CD74 binds MHC class II molecules which have lost their antigenic peptide leading to internalization and reloading with antigenic peptide. The transport route of class II alpha/beta/Ii complexes is regulated selectively by two forms of CD74 (p33 and p35) which are generated by the use of alternative translation initiation sites. CD74 is expressed primarily by antigen presenting cells such as B lymphocytes (from before the pre-B cell stage to before the plasma cell stage), macrophages and monocytes together, with many epithelial cells. CD74 may exist in different isoforms ranging in size from 33 to 41 kDa, depending on genetic splicing.

Alternate Names

CD74, CLIP, DHLAG, HLADG, Ia-gamma, INVG34

Entrez Gene IDs

972 (Human)

Gene Symbol

CD74

UniProt

Additional CD74 Products

Product Documents for CD74 Antibody - Azide Free

Certificate of Analysis

To download a Certificate of Analysis, please enter a lot number in the search box below.

Product Specific Notices for CD74 Antibody - Azide Free

This product is for research use only and is not approved for use in humans or in clinical diagnosis. Primary Antibodies are guaranteed for 1 year from date of receipt.

Loading...
Loading...
Loading...
Loading...