Skip to main content

CD68/SR-D1 Antibody (C68/684)

Novus Biologicals, part of Bio-Techne | Catalog # NBP2-32832

Novus Biologicals, part of Bio-Techne
Catalog #
Availability
Size / Price
Qty
Loading...
NBP2-32832-0.02mg
NBP2-32832-0.1mg
Conjugate
Catalog #

Key Product Details

Species Reactivity

Human, Mouse, Rat, Monkey

Applications

Immunohistochemistry, Immunohistochemistry-Paraffin, Western Blot, Flow Cytometry, Flow (Intracellular), Immunocytochemistry/ Immunofluorescence

Label

Unconjugated

Antibody Source

Monoclonal Mouse IgG1 kappa Clone # C68/684

Concentration

0.2 mg/ml

Product Specifications

Immunogen

Recombinant human CD68/SR-D1 protein (Uniprot: P34810)

Localization

Cell Surface and Cytoplasmic

Specificity

This antibody recognizes a glycoprotein of 110kDa, which is identified as CD68. It is important for identifying macrophages in tissue sections. It stains macrophages in a wide variety of human tissues, including Kupffer cells and macrophages in the red pulp of the spleen, in lamina propria of the gut, in lung alveoli, and in bone marrow. It reacts with myeloid precursors and peripheral blood granulocytes. It also reacts with plasmacytoid T cells, which are supposed to be of monocyte/macrophage origin. It shows strong granular cytoplasmic staining of chronic and acute myeloid leukemia and also reacts with rare cases of true histiocyticneoplasia. Lymphomas are negative or show few granules.

Marker

Macrophage Marker

Clonality

Monoclonal

Host

Mouse

Isotype

IgG1 kappa

Theoretical MW

110 kDa.
Disclaimer note: The observed molecular weight of the protein may vary from the listed predicted molecular weight due to post translational modifications, post translation cleavages, relative charges, and other experimental factors.

Description

200ug/ml of antibody purified from Bioreactor Concentrate by Protein A or G. Prepared in 10 mM PBS with 0.05% BSA & 0.05% azide. Also available WITHOUT BSA & azide at 1.0 mg/ml. (NBP2-34587)

Antibody with azide - store at 2 to 8C. Antibody without azide - store at -20 to -80C.

Scientific Data Images for CD68/SR-D1 Antibody (C68/684)

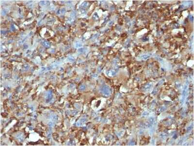
Immunohistochemistry-Paraffin: CD68/SR-D1 Antibody (C68/684) [NBP2-32832]

Immunohistochemistry-Paraffin: CD68/SR-D1 Antibody (C68/684) [NBP2-32832]

Immunohistochemistry-Paraffin: CD68/SR-D1 Antibody (C68/684) [NBP2-32832] - Formalin-fixed, paraffin-embedded human Tonsil stained with .
Western Blot: CD68/SR-D1 Antibody (C68/684) [NBP2-32832]

Western Blot: CD68/SR-D1 Antibody (C68/684) [NBP2-32832]

Western Blot: CD68/SR-D1 Antibody (C68/684) [NBP2-32832] - Western Blot Analysis of human Spleen tissue lysate using CD68/SR-D1 Antibody (C68/684).
Immunocytochemistry/ Immunofluorescence: CD68/SR-D1 Antibody (C68/684) [NBP2-32832]

Immunocytochemistry/ Immunofluorescence: CD68/SR-D1 Antibody (C68/684) [NBP2-32832]

Immunocytochemistry/Immunofluorescence: CD68/SR-D1 Antibody (C68/684) [NBP2-32832] - Immunofluorescence staining of U87MG cells using CD68/SR-D1 Antibody (C68/684) followed by goat anti-Mouse IgG conjugated to CF488 (green). Nuclei are stained with Red Dot

Applications for CD68/SR-D1 Antibody (C68/684)

Application
Recommended Usage

Flow Cytometry

1-2 ug/million cells

Immunocytochemistry/ Immunofluorescence

1-2 ug/ml

Immunohistochemistry-Paraffin

1-2 ug/ml

Western Blot

1-2 ug/ml
Application Notes
Immunohistochemistry (Formalin-fixed): 1-2ug/ml for 30 minutes at RT. Staining of formalin-fixed tissues requires heating tissue sections in 10mM Tris with 1mM EDTA, pH 9.0, for 45 min at 95C followed by cooling at RT for 20 minutes.
Optimal dilution for a specific application should be determined.

Formulation, Preparation, and Storage

Purification

Protein A or G purified

Formulation

10 mM PBS with 0.05% BSA

Preservative

0.05% Sodium Azide

Concentration

0.2 mg/ml

Shipping

The product is shipped with polar packs. Upon receipt, store it immediately at the temperature recommended below.

Stability & Storage

Store at 4C.

Background: CD68/SR-D1

Human CD68, also known as GP110, LAMP4, Scavenger Receptor D1 (SR-D1) or macrosialin in mouse, encodes a 110-kD transmembrane glycoprotein that belongs to the lysosomal/endosomal-associated membrane glycoprotein (LAMP) family. Members of the LAMP family include LAMP-1, LAMP-2, dendritic cell (DC)-LAMP (aka CD208), and brain and dendritic cell-associated (BAD)-LAMP (aka LAMP-5). Unlike the two LAMP domains facing the lysosomal lumen in LAMP-1 and LAMP-2, CD68 has a single LAMP domain containing four cystines spaced 36-37 residues apart along with an N-terminal Mucin-like domain. The 354 amino acid (a.a.) human CD68 and 326 a.a. murine ortholog share 80.6% a.a. sequence identity (1).

CD68 is highly expressed in cells of the mononuclear phagocyte system such as macrophages, microglia, osteoclasts, and myeloid dendritic cells (DCs); and is expressed to a lesser extent in lymphoid cells (CD19+ B lymphocytes and CD4+ T lymphocytes), human umbilical cord mesenchymal stem cells (MSCs), fibroblasts, endothelial cells, multiple non-hematopoietic cancer cell lines, and human arterial intimal smooth muscle cells (SMCs). Expression has been also observed in diseased states for granulocytes and neutrophils, in particular basophils from myeloproliferative disorders and intestinal neutrophils from inflammatory bowel disease (IBD), respectively (1).

Although the function of CD68 has yet to be established, it has often been used as an immunohistochemistry (IHC) marker of inflammation and for granular cell tumors (GCTs). CD68+ tumor associated macrophages (TAMs) has been suggested to be a predictive marker for poor cancer prognosis, but a meta-analysis showed the presence of CD68 is not correlated with survival (2). In addition, a role in hepatic malaria infection has been reported based on the finding that peptide P39 binds CD68, considered a receptor for malaria sporozoite, and inhibits parasite entry into Kupffer cells. CD68 was deemed a member of the Scavenger receptor family due to its upregulation in macrophages following inflammatory stimuli, ability to bind modified LDL, phosphatidylserine, and apoptotic cells, as well as shuttling between the plasma membrane and endosomes. CD68 has been linked to atherogenesis based on binding and internalization of its ligand, oxLDL (1).

References

1. Chistiakov, DA, Killingsworth, MC, Myasoedova, VA. Orekhov AN, Bobryshev YV. (2017) CD68/macrosialin: not just a histochemical marker. Lab Invest. 97:4-13. PMID: 27869795

2. Troiano G, Caponio VCA, Adipietro I, Tepedino M, Santoro R, Laino L, Lo Russo L, Cirillo N, Lo Muzio L. (2019) Prognostic significance of CD68+ and CD163+ tumor associated macrophages in head and neck squamous cell carcinoma: A systematic review and meta-analysis. Oral Oncol. 93:66-75. PMID: 31109698.

Alternate Names

CD68, gp110, Macrosialin, SCARD1, SR-D1, SRD1

Gene Symbol

CD68

UniProt

Additional CD68/SR-D1 Products

Product Documents for CD68/SR-D1 Antibody (C68/684)

Certificate of Analysis

To download a Certificate of Analysis, please enter a lot number in the search box below.

Product Specific Notices for CD68/SR-D1 Antibody (C68/684)

This product is for research use only and is not approved for use in humans or in clinical diagnosis. Primary Antibodies are guaranteed for 1 year from date of receipt.

Loading...
Loading...
Loading...
Loading...
Loading...