Skip to main content

CD5 Antibody (rC5/6976) - Azide and BSA Free

Novus Biologicals, part of Bio-Techne | Catalog # NBP3-20763

Recombinant Monoclonal Antibody
Novus Biologicals, part of Bio-Techne

Key Product Details

Species Reactivity

Human

Applications

Immunohistochemistry-Paraffin

Label

Unconjugated

Antibody Source

Recombinant Monoclonal Mouse IgG1 kappa Clone # rC5/6976

Format

Azide and BSA Free

Concentration

1 mg/ml

Product Specifications

Immunogen

Recombinant human protein fragment corresponding to CD5 extracellular domain

Localization

Cell surface

Clonality

Monoclonal

Host

Mouse

Isotype

IgG1 kappa

Description

Positive Controls: 293T, Ramos, or MOLT-4 cells. Human tonsil or lymph node.

Antibody with azide - store at 2 to 8C. Antibody without azide - store at -20 to -80C. Non-hazardous. No MSDS required.

Scientific Data Images for CD5 Antibody (rC5/6976) - Azide and BSA Free

CD5 Antibody (rC5/6976) - Azide and BSA Free

CD5 Antibody (rC5/6976)

Formalin-fixed, paraffin-embedded human tonsil stained with CD5 antibody (rC5/6976). HIER: Tris/EDTA, pH9.0, 45min. Secondary: HRP-polymer, 30min. DAB, 5min.
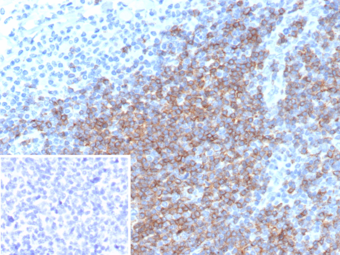
CD5 Antibody (rC5/6976) - Azide and BSA Free

CD5 Antibody (rC5/6976)

Formalin-fixed, paraffin-embedded human tonsil stained with CD5 antibody (rC5/6976). Inset: PBS instead of primary antibody; secondary only negative control.

Applications for CD5 Antibody (rC5/6976) - Azide and BSA Free

Application
Recommended Usage

Immunohistochemistry-Paraffin

1-2 ug/ml
Application Notes
Immunohistochemistry (Formalin-fixed): 1-2ug/ml for 30 minutes. at RT. Staining of formalin-fixed tissues requires heating tissue sections in 10mM Tris with 1mM EDTA, pH 9.0, for 45 min at 95C followed by cooling at RT for 20 minutes.

Optimal dilution for a specific application should be determined.

Formulation, Preparation, and Storage

Purification

Protein A or G purified

Formulation

10mM PBS

Format

Azide and BSA Free

Preservative

No Preservative

Concentration

1 mg/ml

Shipping

The product is shipped with polar packs. Upon receipt, store it immediately at the temperature recommended below.

Stability & Storage

Store at -20 to -70C. Avoid freeze-thaw cycles.

Background: CD5

In humans, CD5 is a 55kDa T lymphocyte single chain transmembrane glycoprotein. It is present on all mature T lymphocytes, on most thymocytes and on many T cell leukemias and lymphomas. It reacts with a subpopulation of activated B cells. CD5/Lyt1 antigen is a monomeric type I transmembrane glycoprotein expressed on thymocytes, T lymphocytes, and a subset of B lymphocytes, but not on natural killer (NK) cells. It has been identified as the major ligand of the B cell antigen CD72. The frequency of CD5+ B cells exhibits strain dependent variation, and the phenotypic, anatomical, functional, developmental, and pathological characteristics of the CD5+ B cells suggest that they may represent a distinct lineage, known as B1 cells. Binding of CD5 on the T cell surface can augment alloantigen or mitogen induced lymphocyte proliferation and induces increased cytosolic free calcium, IL2 secretion, and IL2R expression. It has been proposed that CD5 negatively regulates signal transduction mediated by the T cell and B cell receptors.

Alternate Names

CD5

Gene Symbol

CD5

Additional CD5 Products

Product Documents for CD5 Antibody (rC5/6976) - Azide and BSA Free

Certificate of Analysis

To download a Certificate of Analysis, please enter a lot number in the search box below.

Product Specific Notices for CD5 Antibody (rC5/6976) - Azide and BSA Free

This product is for research use only and is not approved for use in humans or in clinical diagnosis. Primary Antibodies are guaranteed for 1 year from date of receipt.

Loading...
Loading...
Loading...
Loading...