Skip to main content

CD44 Antibody - Azide and BSA Free

Novus Biologicals, part of Bio-Techne | Catalog # NBP2-92947

Novus Biologicals, part of Bio-Techne
Catalog #
Availability
Size / Price
Qty
Loading...
NBP2-92947-0.02ml
NBP2-92947-0.1ml

Key Product Details

Validated by

Knockout/Knockdown

Species Reactivity

Human, Mouse

Applications

Knockout Validated, Immunohistochemistry, Immunohistochemistry-Paraffin, Western Blot, ELISA, Immunocytochemistry/ Immunofluorescence

Label

Unconjugated

Antibody Source

Polyclonal Rabbit IgG

Format

Azide and BSA Free

Concentration

Please see the vial label for concentration. If unlisted please contact technical services.

Product Specifications

Immunogen

Recombinant fusion protein containing a sequence corresponding to amino acids 20-178 of human CD44 (NP_000601.3). AQIDLNITCRFAGVFHVEKNGRYSISRTEAADLCKAFNSTLPTMAQMEKALSIGFETCRYGFIEGHVVIPRIHPNSICAANNTGVYILTSNTSQYDTYCFNASAPPEEDCTSVTDLPNAFDGPITITIVNRDGTRYVQKGEYRTNPEDIYPSNPTDDDV

Clonality

Polyclonal

Host

Rabbit

Isotype

IgG

Theoretical MW

82 kDa.
Disclaimer note: The observed molecular weight of the protein may vary from the listed predicted molecular weight due to post translational modifications, post translation cleavages, relative charges, and other experimental factors.

Description

Novus Biologicals Knockout (KO) Validated Rabbit CD44 Antibody - Azide and BSA Free (NBP2-92947) is a polyclonal antibody validated for use in IHC, WB and ICC/IF. All Novus Biologicals antibodies are covered by our 100% guarantee.

Scientific Data Images for CD44 Antibody - Azide and BSA Free

Western Blot: CD44 AntibodyAzide and BSA Free [NBP2-92947]

Western Blot: CD44 AntibodyAzide and BSA Free [NBP2-92947]

Western Blot: CD44 Antibody [NBP2-92947] - Analysis of extracts of various cell lines, using CD44 antibody at 1:1000 dilution.Secondary antibody: HRP Goat Anti-Rabbit IgG (H+L) at 1:10000 dilution.Lysates/proteins: 25ug per lane. Blocking buffer: 3% nonfat dry milk in TBST.Detection: ECL Basic Kit. Exposure time: 10s.
Immunocytochemistry/ Immunofluorescence: CD44 Antibody - Azide and BSA Free [NBP2-92947]

Immunocytochemistry/ Immunofluorescence: CD44 Antibody - Azide and BSA Free [NBP2-92947]

Immunocytochemistry/Immunofluorescence: CD44 Antibody [NBP2-92947] - Analysis of RAW264.7 cells using CD44 at dilution of 1:100. Blue: DAPI for nuclear staining.
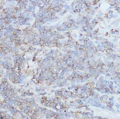
Immunohistochemistry-Paraffin: CD44 Antibody - Azide and BSA Free [NBP2-92947]

Immunohistochemistry-Paraffin: CD44 Antibody - Azide and BSA Free [NBP2-92947]

Immunohistochemistry-Paraffin: CD44 Antibody [NBP2-92947] - Human lung cancer using CD44 Rabbit pAb at dilution of 1:250 (40x lens).

Applications for CD44 Antibody - Azide and BSA Free

Application
Recommended Usage

ELISA

Recommended starting concentration is 1 μg/mL.

Immunocytochemistry/ Immunofluorescence

1:50 - 1:200

Immunohistochemistry

1:50 - 1:200

Immunohistochemistry-Paraffin

1:50 - 1:200

Western Blot

1:500 - 1:1000

Formulation, Preparation, and Storage

Purification

Affinity purified

Formulation

PBS (pH 7.3), 50% glycerol

Format

Azide and BSA Free

Preservative

0.05% Proclin 300

Concentration

Please see the vial label for concentration. If unlisted please contact technical services.

Shipping

The product is shipped with polar packs. Upon receipt, store it immediately at the temperature recommended below.

Stability & Storage

Store at -20C. Avoid freeze-thaw cycles.

Background: CD44

CD44 represents a family of type I transmembrane glycoproteins expressed on many cell types such as B cells, monocytes, macrophages, and variable subsets of thymocytes and peripheral T cells. CD44 primarily functions as an adhesion molecule. It has been implicated in various processes, such as hematopoiesis, lymphocyte homing, leukocyte activation, tumor metastasis and development. The KM201 monoclonal antibody reacts with an epitope very close to the hyaluronate binding domain on the CD44 molecule. KM201 can inhibit hyaluronate-dependent cell aggregation, prevent lympho-hemopoiesis in both Dexter and Whitlock-Witte Cultures, prevent the earliest intrathymic precursors from homing to the thymus, and costimulate the activation of freshly purified splenic CD4+ T cells.1-6

Alternate Names

CD44, ECMR-III, HCAM, HCELL, LHR, MDU2, MDU3, MIC4, MUTCH-I, Pgp1

Gene Symbol

CD44

Additional CD44 Products

Product Documents for CD44 Antibody - Azide and BSA Free

Certificate of Analysis

To download a Certificate of Analysis, please enter a lot number in the search box below.

Product Specific Notices for CD44 Antibody - Azide and BSA Free

This product is for research use only and is not approved for use in humans or in clinical diagnosis. Primary Antibodies are guaranteed for 1 year from date of receipt.

Loading...
Loading...
Loading...
Loading...