CD44 Antibody (9W6E7)
Novus Biologicals, part of Bio-Techne | Catalog # NBP3-15617
Recombinant Monoclonal Antibody
Key Product Details
Species Reactivity
Human
Applications
Immunohistochemistry, Immunohistochemistry-Paraffin, Western Blot, Flow Cytometry, Immunocytochemistry/ Immunofluorescence
Label
Unconjugated
Antibody Source
Recombinant Monoclonal Rabbit IgG Clone # 9W6E7 expressed in HEK293
Concentration
Please see the vial label for concentration. If unlisted please contact technical services.
Product Specifications
Immunogen
Recombinant fusion protein containing a sequence corresponding to amino acids 20-178 of human CD44 (NP_000601.3). AQIDLNITCRFAGVFHVEKNGRYSISRTEAADLCKAFNSTLPTMAQMEKALSIGFETCRYGFIEGHVVIPRIHPNSICAANNTGVYILTSNTSQYDTYCFNASAPPEEDCTSVTDLPNAFDGPITITIVNRDGTRYVQKGEYRTNPEDIYPSNPTDDDV
Clonality
Monoclonal
Host
Rabbit
Isotype
IgG
Description
Novus Biologicals Rabbit CD44 Antibody (9W6E7) (NBP3-15617) is a recombinant monoclonal antibody validated for use in IHC, WB, Flow and ICC/IF. All Novus Biologicals antibodies are covered by our 100% guarantee.
Scientific Data Images for CD44 Antibody (9W6E7)
Western Blot: CD44 Antibody (9W6E7) [CD44] -
Western Blot: CD44 Antibody (9W6E7) [CD44] - Western blot analysis of various lysates using CD44 Rabbit mAb at 1:20000 dilution incubated overnight at 4C.Secondary antibody: HRP-conjugated Goat anti-Rabbit IgG (H+L) at 1:10000 dilution.
Lysates/proteins: 25 ug per lane.
Blocking buffer: 3% nonfat dry milk in TBST.
Detection: ECL Basic Kit .
Exposure time: 45s.
Immunohistochemistry: CD44 Antibody (9W6E7) [CD44] -
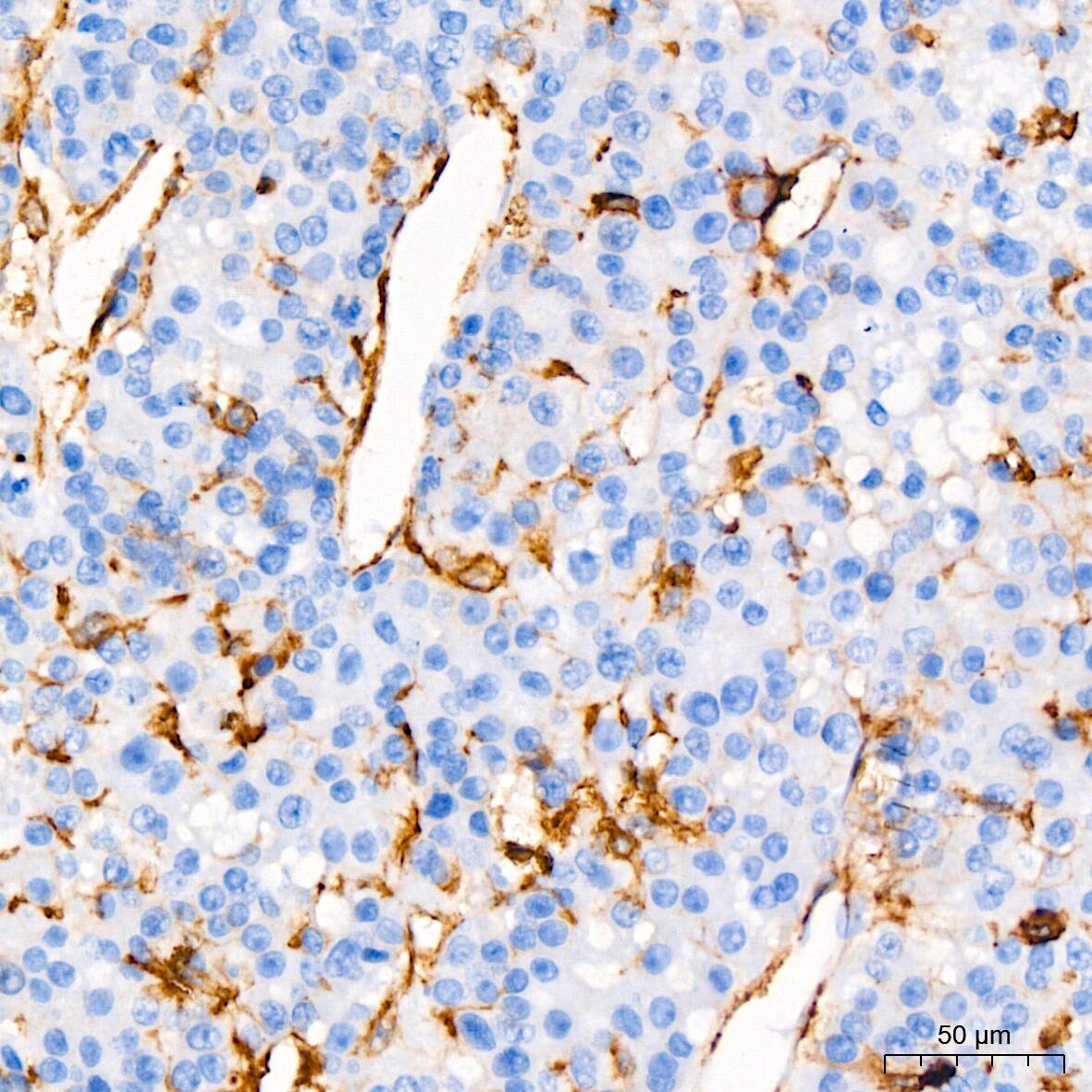
Immunohistochemistry: CD44 Antibody (9W6E7) [CD44] - Immunohistochemistry analysis of paraffin-embedded Human liver cancer using CD44 Rabbit mAb at dilution of 1:2000 (40x lens). High pressure antigen retrieval performed with 0.01M Tris/EDTA Buffer (pH 9.0) prior to IHC staining.Immunohistochemistry: CD44 Antibody (9W6E7) [CD44] -
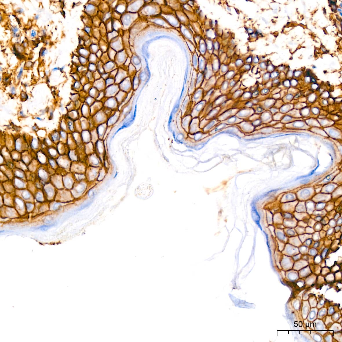
Immunohistochemistry: CD44 Antibody (9W6E7) [CD44] - Immunohistochemistry analysis of paraffin-embedded Human skin using CD44 Rabbit mAb at dilution of 1:2000 (40x lens). High pressure antigen retrieval performed with 0.01M Tris/EDTA Buffer (pH 9.0) prior to IHC staining.Applications for CD44 Antibody (9W6E7)
Application
Recommended Usage
Flow Cytometry
0.2ug per 10^6 cells in 100 ul
Immunocytochemistry/ Immunofluorescence
1:100 - 1:500
Immunohistochemistry
1:1000 - 1:5000
Immunohistochemistry-Paraffin
1:1000 - 1:5000
Western Blot
1:1000 - 1:5000
Formulation, Preparation, and Storage
Purification
Affinity purified
Formulation
PBS (pH 7.3), 50% glycerol, 0.05% BSA
Preservative
0.05% Proclin 300
Concentration
Please see the vial label for concentration. If unlisted please contact technical services.
Shipping
The product is shipped with polar packs. Upon receipt, store it immediately at the temperature recommended below.
Stability & Storage
Store at -20C. Avoid freeze-thaw cycles.
Background: CD44
Alternate Names
CD44, ECMR-III, HCAM, HCELL, LHR, MDU2, MDU3, MIC4, MUTCH-I, Pgp1
Gene Symbol
CD44
Additional CD44 Products
Product Documents for CD44 Antibody (9W6E7)
Product Specific Notices for CD44 Antibody (9W6E7)
This product is for research use only and is not approved for use in humans or in clinical diagnosis. Primary Antibodies are guaranteed for 1 year from date of receipt.
Loading...
Loading...
Loading...
Loading...
Loading...