Skip to main content

CD40/TNFRSF5 Antibody (G28-5) - Azide and BSA Free

Novus Biologicals, part of Bio-Techne | Catalog # DDX0130P-100

Clone G28-5 was used by HLDA to establish CD designation.
Novus Biologicals, part of Bio-Techne
Catalog #
Availability
Size / Price
Qty
Loading...
DDX0130P-100

Key Product Details

Species Reactivity

Human

Applications

Immunohistochemistry, Immunohistochemistry-Paraffin, Flow Cytometry, Immunocytochemistry/ Immunofluorescence, Functional

Label

Unconjugated

Antibody Source

Monoclonal Mouse IgG1 kappa Clone # G28-5

Format

Azide and BSA Free

Concentration

0.5 mg/ml

Product Specifications

Immunogen

CD40 was used as immunogen.

Clonality

Monoclonal

Host

Mouse

Isotype

IgG1 kappa

Description

Novus Biologicals Mouse CD40/TNFRSF5 Antibody (G28-5) - Azide and BSA Free (DDX0130P-100) is a monoclonal antibody validated for use in IHC, Flow and ICC/IF. Anti-CD40/TNFRSF5 Antibody: Cited in 10 publications. All Novus Biologicals antibodies are covered by our 100% guarantee.

Scientific Data Images for CD40/TNFRSF5 Antibody (G28-5) - Azide and BSA Free

Immunocytochemistry/ Immunofluorescence: CD40/TNFRSF5 Antibody (G28-5) [DDX0130P-100]

Immunocytochemistry/ Immunofluorescence: CD40/TNFRSF5 Antibody (G28-5) [DDX0130P-100]

Immunocytochemistry/Immunofluorescence: CD40/TNFRSF5 Antibody (G28-5) [DDX0130P-100] - CD40-transfected L cells stained.
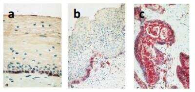
Immunohistochemistry-Paraffin: CD40/TNFRSF5 Antibody (G28-5) [DDX0130P-100]

Immunohistochemistry-Paraffin: CD40/TNFRSF5 Antibody (G28-5) [DDX0130P-100]

Immunohistochemistry-Paraffin: CD40/TNFRSF5 Antibody (G28-5) [DDX0130P-100] - Human cervical tissue. a: normal cervical epithelium. b: cervical intraepithelial neoplasia. c: squamous cell carcinoma .

Applications for CD40/TNFRSF5 Antibody (G28-5) - Azide and BSA Free

Application
Recommended Usage

Flow Cytometry

1:10-1:1000

Immunohistochemistry

1:100-1:2000

Immunohistochemistry-Paraffin

1:100-1:2000

Formulation, Preparation, and Storage

Purification

Ion exchange chromatography

Formulation

Tris-NaCl (pH 8.0)

Format

Azide and BSA Free

Preservative

No Preservative

Concentration

0.5 mg/ml

Shipping

The product is shipped with polar packs. Upon receipt, store it immediately at the temperature recommended below.

Stability & Storage

Store at -20C. Avoid freeze-thaw cycles.

Background: CD40/TNFRSF5

CD40 and its ligand CD154 are members of the tumor necrosis factor receptor (TNFR) and TNF families, respectively, that play key roles in signaling pathways mediating cell growth, survival and differentiation in B-lymphocytes (reviewed in Quezada et al 2004). The CD40 receptor is a 45-50 kDa glycoprotein and is expressed on the surface of B-lymphocytes, some activated T-cells, monocytes, follicular dendritic cells, basal epithelial cells, and in some epithelial and non-epithelial carcinomas. The functions of CD40 have been most extensively studied in B-cells. Ligation of B CD40 by CD154, expressed on activated T cells, stimulates B cell proliferation, differentiation, isotype switching, upregulation of surface molecules contributing to antigen presentation, development of the germinal center, and the humoral memory response. Several distinct structural motifs in the CD40 cytoplasmic domain regaulate various CD40 signaling pathways. A major CD40 signaling pathway activated from CD154 ligand binding is the canonical pathway to the transcription factor family NF-kB, a family of genes mediating immune and inflammatory responses. Although CD40 has been extensively studied as a plasma membrane-associated growth factor membrane receptor. it has also been identified in the cytoplasm and nucleus of normal and neoplastic B-lymphoid cells (Lin-Lee et al. 2006). Other growth factor receptors, including EGF, FGF, and TGF-B have also been identified in the nuclus. It is thought that plasma membrane receptor signaling may be followed by nuclear migration of signaling pathway components. The presence of CD40 in the nucleus of activated normal B lymphocytes and neoplastic B-lymphoid cells suggests that CD40 may play a more complex role in regulating essential growth and survival pathways in B-lymphocytes than previously thought.

Alternate Names

CD40, TNFRSF5

Gene Symbol

CD40

Additional CD40/TNFRSF5 Products

Product Documents for CD40/TNFRSF5 Antibody (G28-5) - Azide and BSA Free

Certificate of Analysis

To download a Certificate of Analysis, please enter a lot number in the search box below.

Product Specific Notices for CD40/TNFRSF5 Antibody (G28-5) - Azide and BSA Free

This product is manufactured by Eurobio Scientific (formerly Dendritics) and distributed by Novus Biologicals.

This product is for research use only and is not approved for use in humans or in clinical diagnosis. Primary Antibodies are guaranteed for 1 year from date of receipt.

Loading...
Loading...
Loading...
Loading...
Loading...
Loading...