Skip to main content

CD36 Antibody (D-2712) - Azide and BSA Free

Novus Biologicals, part of Bio-Techne | Catalog # NBP2-80643

Novus Biologicals, part of Bio-Techne
Catalog #
Availability
Size / Price
Qty
Loading...
NBP2-80643

Key Product Details

Species Reactivity

Mouse, Rat, Human (Negative)

Applications

Immunohistochemistry, Immunohistochemistry-Paraffin, Western Blot, Immunoprecipitation

Label

Unconjugated

Antibody Source

Monoclonal Mouse IgA Kappa Clone # D-2712

Format

Azide and BSA Free

Concentration

1 mg/ml

Product Specifications

Immunogen

This CD36 Antibody (D-2712) was developed against adenovirus expressing recombinant mouse CD36

Reactivity Notes

Does not react with human.

Localization

Membrane

Clonality

Monoclonal

Host

Mouse

Isotype

IgA Kappa

Theoretical MW

75 kDa.
Disclaimer note: The observed molecular weight of the protein may vary from the listed predicted molecular weight due to post translational modifications, post translation cleavages, relative charges, and other experimental factors.

Description

Novus Biologicals Mouse CD36 Antibody (D-2712) - Azide and BSA Free (NB110-59724) is a monoclonal antibody validated for use in IHC, WB and IP. All Novus Biologicals antibodies are covered by our 100% guarantee.

Scientific Data Images for CD36 Antibody (D-2712) - Azide and BSA Free

Western Blot: CD36 Antibody (D-2712)Azide and BSA Free [NBP2-80643]

Western Blot: CD36 Antibody (D-2712)Azide and BSA Free [NBP2-80643]

Western Blot: CD36 Antibody (D-2712) [NBP2-80643] - Detection of CD36 in mouse adipose lysate. Image from the standard format of this antibody.
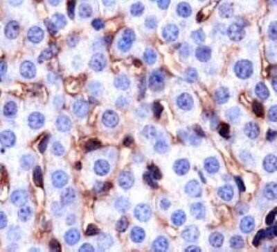
Immunohistochemistry: CD36 Antibody (D-2712) - Azide and BSA Free [NBP2-80643]

Immunohistochemistry: CD36 Antibody (D-2712) - Azide and BSA Free [NBP2-80643]

Immunohistochemistry: CD36 Antibody (D-2712) [NBP2-80643] - Staining of CD36 in mouse liver. Image from the standard format of this antibody.

Applications for CD36 Antibody (D-2712) - Azide and BSA Free

Application
Recommended Usage

Immunohistochemistry

1:100-1:250

Immunohistochemistry-Paraffin

1:100-1:250

Immunoprecipitation

10-20 ug

Western Blot

1:500
Application Notes
In Western blot, a band is observed at ~70-80 kDa. The theoretical molecular weight of CD36 is ~53 kDa. The difference in theoretical MW and actual MW, as seen in Western blot, is most likely due to the heavy glycosylation and palmitoylation of this protein.

Formulation, Preparation, and Storage

Purification

Protein G purified

Formulation

PBS

Format

Azide and BSA Free

Preservative

No Preservative

Concentration

1 mg/ml

Shipping

The product is shipped with polar packs. Upon receipt, store it immediately at the temperature recommended below.

Stability & Storage

Store at 4C short term. Aliquot and store at -20C long term. Avoid freeze-thaw cycles.

Background: CD36

Originally discovered in platelets, cluster of differentiation 36, CD36, (also known as thrombospondin receptor, fatty acid translocase (FAT), platelet membrane glycoprotein IV (GPIV), and scavenger receptor class B, member 3 (SR-B3)) is a plasma membrane glycoprotein belonging to the class B scavenger receptor family (1,2). Human, mouse, and rat CD36 is synthesized as a 472 amino acid (a.a.) protein with a theoretical molecular weight of 53 kDa for the canonical isoform (3). Its domains include a short cytoplasmic tail at the N-terminal and C-terminal and a large extracellular loop flanked on each side by a transmembrane domain. The extracellular domain facilitates the update of fatty acids (FFAs), phospholipids, and cholesterol by forming two hydrophobic cavities, which was first modeled in the CD36 homologue, LIMP-2/ SCARB2 (4).

The expression of CD36 has been reported in platelets, erythrocytes, monocytes, differentiated adipocytes, skeletal muscle, mammary epithelial cells, spleen cells, some skin microdermal endothelial cells, and in cancer. Circulating levels of soluble CD36 (sCD36) has also been reported in chronic inflammatory disease such as type 2 diabetes and chronic kidney disease. CD36 participates in angiogenesis, innate immunity, and the clearance of apoptotic phagocytes. In lipid metabolism, CD36 functions as a macrophage receptor for oxidized LDL and as an adipocyte receptor/transporter for long-chain FFAs. Plasmodium falciparum, the parasite that causes malaria, binds CD36 via PfEMP1 proteins, tethering parasite-infected erythrocytes to endothelial receptors (5). Anti-CD36 isoantibodies have been detected in Type 1 CD36-deficient mothers and is implicated as the cause of fetal/neonatal alloimmune thrombocytopenia (6).

References

1) Febbraio, M., Hajjar, D. P., & Silverstein, R. L. (2001). CD36: a class B scavenger receptor involved in angiogenesis, atherosclerosis, inflammation, and lipid metabolism. The Journal of clinical investigation, 108(6), 785-791. PMID: 11560944

2) Silverstein RL, Febbraio M. (2000) CD36 and atherosclerosis. Curr Opin Lipidol. 2000 11(5):483-91. PMID: 11048891.

3) Endemann G, Stanton LW, Madden KS, Bryant CM, White RT, Protter AA. (1993) CD36 is a receptor for oxidized low density lipoprotein. J Biol Chem. 268(16):11811-6. PMID: 7685021.

4) Wang, J., & Li, Y. (2019). CD36 tango in cancer: signaling pathways and functions. Theranostics, 9(17), 4893-4908. PMID: 31410189

5) Hsieh FL, Turner L, Bolla JR, Robinson CV, Lavstsen T, Higgins MK. (2016) The structural basis for CD36 binding by the malaria parasite. Nat Commun. 7:12837. PMID: 27667267

6) Gruarin P, Ulliers D, Thorne RF, Alessio M. (2000) Methionine 156 in the immunodominant domain of CD36 contributes to define the epitope recognized by the NL07 MoAb. Mol Cell Biochem 214, 115-121. PMID: 11195795.

Alternate Names

BDPLT10, CD36 antigen (collagen type I receptor, thrombospondin receptor), CD36 molecule (thrombospondin receptor), CHDS7, cluster determinant 36, FAT, Fatty acid translocase, Glycoprotein IIIb, GP3B, GP4, GPIIIB, GPIV, leukocyte differentiation antigen CD36, PAS IV, PAS-4 protein, PASIV, platelet glycoprotein 4, platelet glycoprotein IV, SCARB3, scavenger receptor class B, member 3

Gene Symbol

CD36

Additional CD36 Products

Product Documents for CD36 Antibody (D-2712) - Azide and BSA Free

Certificate of Analysis

To download a Certificate of Analysis, please enter a lot number in the search box below.

Product Specific Notices for CD36 Antibody (D-2712) - Azide and BSA Free

This product is for research use only and is not approved for use in humans or in clinical diagnosis. Primary Antibodies are guaranteed for 1 year from date of receipt.

Loading...
Loading...
Loading...
Loading...