CD36 Antibody (13B12) - BSA Free
Novus Biologicals, part of Bio-Techne | Catalog # NBP3-26683
Recombinant Monoclonal Antibody
Key Product Details
Species Reactivity
Human
Applications
Immunohistochemistry, ELISA
Label
Unconjugated
Antibody Source
Recombinant Monoclonal Rabbit IgG Clone # 13B12 expressed in HEK293
Format
BSA Free
Concentration
Please see the vial label for concentration. If unlisted please contact technical services.
Product Specifications
Immunogen
A synthesized peptide derived from Human CD36 [UniProt P16671]
Clonality
Monoclonal
Host
Rabbit
Isotype
IgG
Description
Novus Biologicals Rabbit CD36 Antibody (13B12) - BSA Free (NBP3-26683) is a recombinant monoclonal antibody validated for use in IHC and ELISA. All Novus Biologicals antibodies are covered by our 100% guarantee.
Scientific Data Images for CD36 Antibody (13B12) - BSA Free
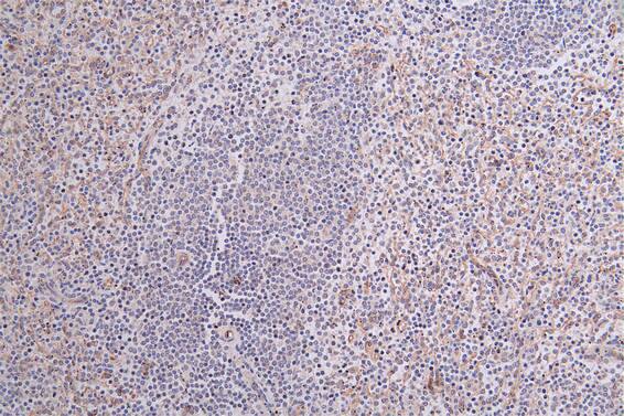
Immunohistochemistry: CD36 Antibody (13B12) [NBP3-26683] -
Immunohistochemistry: CD36 Antibody (13B12) [NBP3-26683] - Image of CD36 Antibody (13B12) diluted at 1:100 and staining in paraffin-embedded human spleen tissue performed. After dewaxing and hydration, antigen retrieval was mediated by high pressure in a citrate buffer (pH 6.0). Section was blocked with 10% normal goat serum 30min at RT. Then primary antibody (1% BSA) was incubated at 4C overnight. The primary is detected by a Goat anti-rabbit polymer IgG labeled by HRP and visualized using 0.25% DAB.Immunohistochemistry: CD36 Antibody (13B12) [NBP3-26683] -
Immunohistochemistry: CD36 Antibody (13B12) [NBP3-26683] - Image of CD36 Antibody (13B12) diluted at 1:100 and staining in paraffin-embedded human spleen tissue performed. After dewaxing and hydration, antigen retrieval was mediated by high pressure in a citrate buffer (pH 6.0). Section was blocked with 10% normal goat serum 30min at RT. Then primary antibody (1% BSA) was incubated at 4°C overnight. The primary is detected by a Goat anti-rabbit polymer IgG labeled by HRP and visualized using 0.25% DAB.Applications for CD36 Antibody (13B12) - BSA Free
Application
Recommended Usage
Immunohistochemistry
1:50-1:200
Formulation, Preparation, and Storage
Purification
Affinity purified
Formulation
PBS, pH 7.4, 150mM NaCl, and 50% glycerol
Format
BSA Free
Preservative
0.02% Sodium Azide
Concentration
Please see the vial label for concentration. If unlisted please contact technical services.
Shipping
The product is shipped with polar packs. Upon receipt, store it immediately at the temperature recommended below.
Stability & Storage
Store at -20 to -70C. Avoid freeze-thaw cycles.
Background: CD36
The expression of CD36 has been reported in platelets, erythrocytes, monocytes, differentiated adipocytes, skeletal muscle, mammary epithelial cells, spleen cells, some skin microdermal endothelial cells, and in cancer. Circulating levels of soluble CD36 (sCD36) has also been reported in chronic inflammatory disease such as type 2 diabetes and chronic kidney disease. CD36 participates in angiogenesis, innate immunity, and the clearance of apoptotic phagocytes. In lipid metabolism, CD36 functions as a macrophage receptor for oxidized LDL and as an adipocyte receptor/transporter for long-chain FFAs. Plasmodium falciparum, the parasite that causes malaria, binds CD36 via PfEMP1 proteins, tethering parasite-infected erythrocytes to endothelial receptors (5). Anti-CD36 isoantibodies have been detected in Type 1 CD36-deficient mothers and is implicated as the cause of fetal/neonatal alloimmune thrombocytopenia (6).
References
1) Febbraio, M., Hajjar, D. P., & Silverstein, R. L. (2001). CD36: a class B scavenger receptor involved in angiogenesis, atherosclerosis, inflammation, and lipid metabolism. The Journal of clinical investigation, 108(6), 785-791. PMID: 11560944
2) Silverstein RL, Febbraio M. (2000) CD36 and atherosclerosis. Curr Opin Lipidol. 2000 11(5):483-91. PMID: 11048891.
3) Endemann G, Stanton LW, Madden KS, Bryant CM, White RT, Protter AA. (1993) CD36 is a receptor for oxidized low density lipoprotein. J Biol Chem. 268(16):11811-6. PMID: 7685021.
4) Wang, J., & Li, Y. (2019). CD36 tango in cancer: signaling pathways and functions. Theranostics, 9(17), 4893-4908. PMID: 31410189
5) Hsieh FL, Turner L, Bolla JR, Robinson CV, Lavstsen T, Higgins MK. (2016) The structural basis for CD36 binding by the malaria parasite. Nat Commun. 7:12837. PMID: 27667267
6) Gruarin P, Ulliers D, Thorne RF, Alessio M. (2000) Methionine 156 in the immunodominant domain of CD36 contributes to define the epitope recognized by the NL07 MoAb. Mol Cell Biochem 214, 115-121. PMID: 11195795.
Alternate Names
BDPLT10, CD36 antigen (collagen type I receptor, thrombospondin receptor), CD36 molecule (thrombospondin receptor), CHDS7, cluster determinant 36, FAT, Fatty acid translocase, Glycoprotein IIIb, GP3B, GP4, GPIIIB, GPIV, leukocyte differentiation antigen CD36, PAS IV, PAS-4 protein, PASIV, platelet glycoprotein 4, platelet glycoprotein IV, SCARB3, scavenger receptor class B, member 3
Gene Symbol
CD36
Additional CD36 Products
Product Documents for CD36 Antibody (13B12) - BSA Free
Product Specific Notices for CD36 Antibody (13B12) - BSA Free
This product is for research use only and is not approved for use in humans or in clinical diagnosis. Primary Antibodies are guaranteed for 1 year from date of receipt.
Loading...
Loading...
Loading...
Loading...