CD31/PECAM-1 Antibody (C31.3 + C31.7 + C31.10)
Novus Biologicals, part of Bio-Techne | Catalog # NBP2-44342
Conjugate
Catalog #
Forumulation
Catalog #
Key Product Details
Species Reactivity
Validated:
Human, Rat, Cynomolgus Monkey, Rabbit
Cited:
Human
Applications
Validated:
Immunohistochemistry, Immunohistochemistry-Paraffin, Western Blot, Immunocytochemistry/ Immunofluorescence, Immunoprecipitation
Cited:
Immunohistochemistry-Paraffin, Immunocytochemistry/ Immunofluorescence
Label
Unconjugated
Antibody Source
Monoclonal Mouse IgG1 Kappa/IgG1 Kappa/IgG1 Kappa Clone # C31.3 + C31.7 + C31.10
Concentration
0.2 mg/ml
Product Specifications
Immunogen
Recombinant full-length human CD31/PECAM-1 protein (Uniprot: P16284)
Localization
Cell surface and cytoplasm of endothelial cells
Specificity
CD31 (PECAM-1) is a transmembrane glycoprotein member of the immunoglobulin supergene family of adhesion molecules. CD31 is expressed by stem cells of the hematopoietic system and is primarily used to identify and concentrate these cells for experimental studies as well as for bone marrow transplantation. Anti-CD31 has shown to be highly specific and sensitive for vascular endothelial cells. Staining of nonvascular tumors (excluding hematopoietic neoplasms) is rare. CD31 monoclonal antibody reacts with normal, benign, and malignant endothelial cells which make up blood vessel lining. The level of CD31 expression can help to determine the degree of tumor angiogenesis, and a high level of CD31 expression may imply a rapidly growing tumor and potentially a predictor of tumor recurrence.
Marker
Endothelial Cell Marker
Clonality
Monoclonal
Host
Mouse
Isotype
IgG1 Kappa/IgG1 Kappa/IgG1 Kappa
Theoretical MW
82.5 kDa.
Disclaimer note: The observed molecular weight of the protein may vary from the listed predicted molecular weight due to post translational modifications, post translation cleavages, relative charges, and other experimental factors.
Disclaimer note: The observed molecular weight of the protein may vary from the listed predicted molecular weight due to post translational modifications, post translation cleavages, relative charges, and other experimental factors.
Description
200ug/ml of antibody purified from Bioreactor Concentrate by Protein A or G. Prepared in 10 mM PBS with 0.05% BSA & 0.05% azide. Also available WITHOUT BSA & azide at 1.0 mg/ml.(NBP2-47785)
Antibody with azide - store at 2 to 8C. Antibody without azide - store at -20 to -80C.
Antibody with azide - store at 2 to 8C. Antibody without azide - store at -20 to -80C.
Scientific Data Images for CD31/PECAM-1 Antibody (C31.3 + C31.7 + C31.10)
Western Blot: CD31/PECAM-1 Antibody (C31.3 + C31.7 + C31.10) [NBP2-44342]
Western Blot: CD31/PECAM-1 Antibody (C31.3 + C31.7 + C31.10) [NBP2-44342] - Western Blot Analysis of human THP-1 cell lysate using CD31/PECAM-1 Antibody (C31.3 + C31.7 + C31.10)Immunohistochemistry-Paraffin: CD31/PECAM-1 Antibody (C31.3 + C31.7 + C31.10) [NBP2-44342]
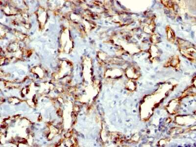
Immunohistochemistry-Paraffin: CD31/PECAM-1 Antibody (C31.3 + C31.7 + C31.10) [NBP2-44342] - Formalin-fixed, paraffin-embedded Angiosarcoma stained with CD31/PECAM-1 Antibody (C31.3 + C31.7 + C31.10).Immunohistochemistry-Paraffin: CD31/PECAM-1 Antibody (C31.3 + C31.7 + C31.10) [NBP2-44342]
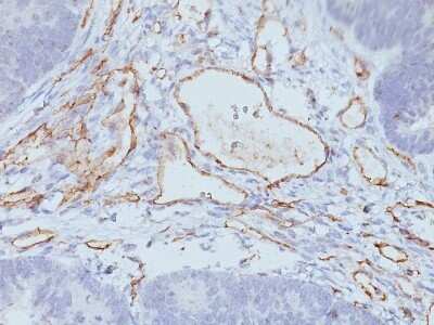
Immunohistochemistry-Paraffin: CD31/PECAM-1 Antibody (C31.3 + C31.7 + C31.10) [NBP2-44342] - Colon Carcinoma stained with CD31/PECAM-1 Antibody (C31.3 + C31.7 + C31.10).Applications for CD31/PECAM-1 Antibody (C31.3 + C31.7 + C31.10)
Application
Recommended Usage
Immunocytochemistry/ Immunofluorescence
1:50
Immunohistochemistry-Paraffin
1-2 ug/ml
Immunoprecipitation
2ug/500ul
Western Blot
1-2 ug/ml
Application Notes
Immunohistochemistry (Formalin-fixed): 1-2ug/ml for 30 minutes at RT. Staining of formalin-fixed tissues requires heating tissue sections in 10mM Tris with 1mM EDTA, pH 9.0, for 45 min at 95C followed by cooling at RT for 20 minutes.
Optimal dilution for a specific application should be determined.
Optimal dilution for a specific application should be determined.
Formulation, Preparation, and Storage
Purification
Protein A or G purified
Formulation
10 mM PBS with 0.05% BSA
Preservative
0.05% Sodium Azide
Concentration
0.2 mg/ml
Shipping
The product is shipped with polar packs. Upon receipt, store it immediately at the temperature recommended below.
Stability & Storage
Store at 4C.
Background: CD31/PECAM-1
PECAM's intracellular cytoplasmic domain consists of a sequence of 118 amino acids and contains serine and tyrosine (also referred to as immunoreceptor tyrosine-based inhibitory motifs-ITIMs) residues, which may be phosphorylated upon cellular stimulation (3). ITIMs are phosphorylated by Src-family kinases and non-Src family kinases (e.g., Csk), leading to a conformational change which supports interactions with Src homology 2 (SH2) domain containing proteins such as protein-tyrosine phosphatase, SHP-2 (1,2). Formation of SHP-2/PECAM-1 complexes induces endothelial cell migration through the dephosphorylation of focal adhesion kinase and regulation of RhoA activity (1). Signaling downstream of ITIM tyrosine phosphorylations also plays a role in PECAM's anti-apoptotic activity, a function which is independent of its interaction with SHP-2. In platelets and leukocytes, phosphorylation of PECAM's cytosolic domain is inhibitory, preventing their activation.
References
1. Lertkiatmongkol, P., Liao, D., Mei, H., Hu, Y., & Newman, P. J. (2016). Endothelial functions of PECAM-1 (CD31). Current Opinion in Hematology. https://doi.org/10.1097/MOH.0000000000000239.Endothelial
2. Privratsky, J. R., & Newman, P. J. (2014). PECAM-1: Regulator of endothelial junctional integrity. Cell and Tissue Research. https://doi.org/10.1007/s00441-013-1779-3
3. Newman, P. J., & Newman, D. K. (2003). Signal transduction pathways mediated by PECAM-1: New roles for an old molecule in platelet and vascular cell biology. Arteriosclerosis, Thrombosis, and Vascular Biology. https://doi.org/10.1161/01.ATV.0000071347.69358.D9
Long Name
Platelet Endothelial Cell Adhesion Molecule 1
Alternate Names
CD31, EndoCAM, PECA1, PECAM-1, PECAM1
Gene Symbol
PECAM1
UniProt
Additional CD31/PECAM-1 Products
Product Documents for CD31/PECAM-1 Antibody (C31.3 + C31.7 + C31.10)
Product Specific Notices for CD31/PECAM-1 Antibody (C31.3 + C31.7 + C31.10)
This product is for research use only and is not approved for use in humans or in clinical diagnosis. Primary Antibodies are guaranteed for 1 year from date of receipt.
Loading...
Loading...
Loading...
Loading...