Skip to main content

CD27/TNFRSF7 Antibody (CL15464) [Unconjugated] - BSA Free

Novus Biologicals, part of Bio-Techne | Catalog # NBP3-43671

Novus Biologicals, part of Bio-Techne
Catalog #
Availability
Size / Price
Qty
Loading...
NBP3-43671-100ul
NBP3-43671-25ul

Key Product Details

Validated by

Orthogonal Validation

Species Reactivity

Human

Applications

Immunohistochemistry, Immunohistochemistry-Paraffin, Western Blot

Label

Unconjugated

Antibody Source

Monoclonal Mouse IgG1 Clone # CL15464

Format

BSA Free

Concentration

1 mg/ml

Product Specifications

Immunogen

This antibody was generated using a synthetic peptide of P26842, with the exact immunogen sequence remaining proprietary.

Clonality

Monoclonal

Host

Mouse

Isotype

IgG1

Description

Novus Biologicals Mouse CD27/TNFRSF7 Antibody (CL15464) [Unconjugated] - BSA Free (NBP3-43671) is a monoclonal antibody validated for use in IHC and WB. All Novus Biologicals antibodies are covered by our 100% guarantee.

Scientific Data Images for CD27/TNFRSF7 Antibody (CL15464) [Unconjugated] - BSA Free

CD27/TNFRSF7 Antibody (CL15464) [Unconjugated] Immunohistochemistry-Paraffin: CD27/TNFRSF7 Antibody (CL15464) [NBP3-43671]

Immunohistochemistry-Paraffin: CD27/TNFRSF7 Antibody (CL15464) [NBP3-43671]

Staining of human skeletal muscle shows no positivity in myocytes as expected.
CD27/TNFRSF7 Antibody (CL15464) [Unconjugated] Immunohistochemistry-Paraffin: CD27/TNFRSF7 Antibody (CL15464) [NBP3-43671]

Immunohistochemistry-Paraffin: CD27/TNFRSF7 Antibody (CL15464) [NBP3-43671]

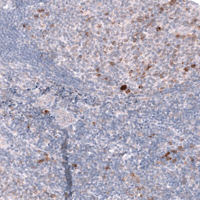
Analysis in human tonsil and skeletal muscle tissues using NBP3-43671 antibody. Corresponding CD27 RNA-seq data are presented for the same tissues.
CD27/TNFRSF7 Antibody (CL15464) [Unconjugated] Immunohistochemistry-Paraffin: CD27/TNFRSF7 Antibody (CL15464) [NBP3-43671]

Immunohistochemistry-Paraffin: CD27/TNFRSF7 Antibody (CL15464) [NBP3-43671]

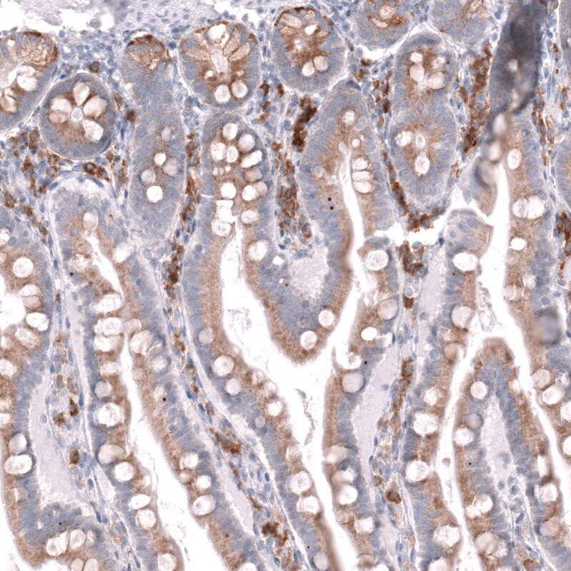
Staining of human duodenum shows strong membranous-cytoplasmic positivity in lymphoid cells and moderate cytoplasmic positivity in glandular cells.

Applications for CD27/TNFRSF7 Antibody (CL15464) [Unconjugated] - BSA Free

Application
Recommended Usage

Immunohistochemistry

1:5000-1:10000

Immunohistochemistry-Paraffin

1:5000-1:10000

Western Blot

1 ug/ml
Application Notes
For IHC-Paraffin, HIER pH 6 retrieval is recommended.

Formulation, Preparation, and Storage

Purification

Protein A purified

Formulation

PBS, pH 7.2, 40% glycerol

Format

BSA Free

Preservative

0.02% Sodium Azide

Concentration

1 mg/ml

Shipping

The product is shipped with polar packs. Upon receipt, store it immediately at the temperature recommended below.

Stability & Storage

Store at 4C short term. Aliquot and store at -20C long term. Avoid freeze-thaw cycles.

Background: CD27/TNFRSF7

CD27, also referred to as tumor necrosis factor receptor superfamily, member 7 (TNFRSF7), is a type I transmembrane glycoprotein that functions as a co-stimulatory T cell receptor and is expressed on the surface of T cells, natural killer (NK) cells, and B cells (1,2). The human CD27 protein is 260 amino acids (aa) in length and consists of a 19 aa signal sequence, 172 aa extracellular domain (ECD) containing three characteristic cysteine-rich domains (CRDs), a 21 aa helical transmembrane region, and a 48 aa cytoplasmic tail domain (3,4). The CD27 protein has a theoretical molecular weight (MW) of 29 kDa, but is typically is closer to 50-55 kDa due to N-linked and O-linked glycosylation (3). Mouse CD27 cDNA encodes a 250 aa protein with a theoretical molecular weight of 28 kDa (5). Human CD27 shares ~64% aa sequence identity with mouse CD27 protein.

Membrane-bound CD27 is expressed as a disulfide-linked homodimer (3). CD27 binds to the ligand CD70, a transmembrane glycoprotein that is transiently expressed on activated immune cells such as antigen presenting cells (APCs), dendritic cells (DCs), NK cells, B cells, and T cells (1,2,6,7). The receptor-ligand binding interaction leads to NFkappaB and c-Jun pathway activation which promotes immune stimulation and activation and survival of CD4+ T cells, CD8+ T cells, memory T cells, and NK cells (2,6,7). Both CD27 and CD70 are often abnormally expressed or dysregulated on malignant and cancer cells leading to immune evasion and tumor progression (7). CD27 has become a target of interest of immunotherapies for viral infections, autoimmune disease, and cancer (2). Varlilumab, an agonistic CD27 monoclonal antibody (mAB), has entered clinical trials for the treatment of hematological and solid tumor cancers (1,6). Additional clinical trials are in process that combine varlilumab with other immune checkpoint inhibitors like the programmed cell death protein-1 (PD-1) blocking mAb nivolumab (1,2). Initial results are promising, suggesting that targeting CD27, especially in combination with other therapeutics, may be a promising and effective immunotherapy for a variety of pathologies (1,2,6).

References

1. Starzer AM, Berghoff AS. New emerging targets in cancer immunotherapy: CD27 (TNFRSF7). ESMO Open. 2020;4(Suppl 3):e000629. https://doi.org/10.1136/esmoopen-2019-000629

2. Grant EJ, Nussing S, Sant S, Clemens EB, Kedzierska K. The role of CD27 in anti-viral T-cell immunity. Curr Opin Virol. 2017;22:77-88. https://doi.org/10.1016/j.coviro.2016.12.001

3. Buchan SL, Rogel A, Al-Shamkhani A. The immunobiology of CD27 and OX40 and their potential as targets for cancer immunotherapy. Blood. 2018;131(1):39-48. https://10.1182/blood-2017-07-741025

4. Uniprot (P26842)

5. Uniprot (P41272)

6. van de Ven K, Borst J. Targeting the T-cell co-stimulatory CD27/CD70 pathway in cancer immunotherapy: rationale and potential. Immunotherapy. 2015;7(6):655-667. https://doi.org/10.2217/imt.15.32

7. Flieswasser T, Van den Eynde A, Van Audenaerde J, et al. The CD70-CD27 axis in oncology: the new kids on the block. J Exp Clin Cancer Res. 2022;41(1):12. https://doi.org/10.1186/s13046-021-02215-y

Alternate Names

CD27, TNFRSF7

Gene Symbol

CD27

Additional CD27/TNFRSF7 Products

Product Documents for CD27/TNFRSF7 Antibody (CL15464) [Unconjugated] - BSA Free

Certificate of Analysis

To download a Certificate of Analysis, please enter a lot number in the search box below.

Product Specific Notices for CD27/TNFRSF7 Antibody (CL15464) [Unconjugated] - BSA Free

This product is for research use only and is not approved for use in humans or in clinical diagnosis. Primary Antibodies are guaranteed for 1 year from date of receipt.

Loading...
Loading...
Loading...
Loading...