Skip to main content

CD19 Antibody (CL15454) - Azide and BSA Free

Novus Biologicals, part of Bio-Techne | Catalog # NBP3-44277

Novus Biologicals, part of Bio-Techne

Key Product Details

Validated by

Orthogonal Validation

Species Reactivity

Human

Applications

Immunohistochemistry-Paraffin, Western Blot

Label

Unconjugated

Antibody Source

Monoclonal Mouse IgG2B Clone # CL15454

Format

Azide and BSA Free

Concentration

LYOPH mg/ml

Product Specifications

Immunogen

This antibody was generated using a synthetic peptide of P15391, with the exact immunogen sequence remaining proprietary.

Clonality

Monoclonal

Host

Mouse

Isotype

IgG2B

Description

Novus Biologicals Mouse CD19 Antibody (CL15454) - Azide and BSA Free (NBP3-43669) is a monoclonal antibody validated for use in IHC and WB. All Novus Biologicals antibodies are covered by our 100% guarantee.

Scientific Data Images for CD19 Antibody (CL15454) - Azide and BSA Free

CD19 Antibody (CL15454) - Azide and BSA Free Immunohistochemistry-Paraffin: CD19 Antibody [NBP3-44277]

Immunohistochemistry-Paraffin: CD19 Antibody [NBP3-44277]

Analysis in human tonsil and kidney tissues using NBP3-44277 antibody. Corresponding CD19 RNA-seq data are presented for the same tissues.
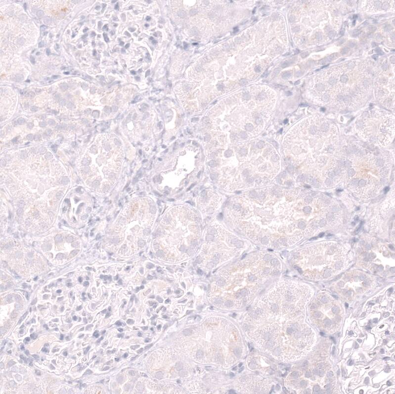
CD19 Antibody (CL15454) - Azide and BSA Free Immunohistochemistry-Paraffin: CD19 Antibody [NBP3-44277]

Immunohistochemistry-Paraffin: CD19 Antibody [NBP3-44277]

Staining of human kidney shows no positivity in cells in tubules as expected.
CD19 Antibody (CL15454) - Azide and BSA Free Immunohistochemistry-Paraffin: CD19 Antibody [NBP3-44277]

Immunohistochemistry-Paraffin: CD19 Antibody [NBP3-44277]

Staining of human mantle cell lymphoma shows strong membranous positivity in tumor cells.

Applications for CD19 Antibody (CL15454) - Azide and BSA Free

Application
Recommended Usage

Immunohistochemistry-Paraffin

1:500-1:1000

Western Blot

1 ug/ml
Application Notes
For IHC-Paraffin, HIER pH 6 retrieval is recommended.

Formulation, Preparation, and Storage

Purification

Protein A purified

Reconstitution

Centrifuge the vial of lyophilized antibody at 12,000 x g for 20 seconds. Reconstitute by adding sterile, distilled water to achieve a final antibody concentration of 1mg/ml.

Formulation

Lyophilized from a 0.2 um filtered solution in PBS with Trehalose

Format

Azide and BSA Free

Preservative

No Preservative

Concentration

LYOPH mg/ml

Shipping

The product is shipped at ambient temperature. Upon receipt, store it immediately at the temperature recommended below.

Stability & Storage

Store at 4C short term. Aliquot and store at -20C long term. Avoid freeze-thaw cycles.

Background: CD19

CD19 (Cluster of Differentiation 19), also known as B-lymphocyte surface antigen B4, is a type 1 transmembrane glycoprotein belonging to immunoglobulin (Ig) subfamily that serves as a biomarker for normal and neoplastic B cells (1,2). CD19 is a co-receptor for the B cell receptor (BCR) signaling complex and has a critical role in regulating B cell signaling and immune response (1,2). The CD19 protein contains an extracellular N-terminus containing two C2 Ig-like domains separated by a helical non-Ig domain, a single pass transmembrane domain, and a highly conserved cytoplasmic C-terminal domain (1,2). The human CD19 protein, encoded by the CD19 gene located on chromosome 16p11.2, is 556 amino acids (aa) in length with a calculated theoretical molecular weight (MW) of 61 kDa and an observed molecular weight of 95 kDa (1-3). CD19 associates with other molecules - CD21, CD81, and CD225 - to form the BCR co-complex, also called the CD19 complex, through CD21 binding to the complement C3d complex (1-3). Complement C3d bridges the BCR with the CD19 complex into lipid rafts of the plasma membrane (1-3). CD19 is capable of modulating B cell development through both BCR-dependent and -independent signaling (1-3). Upon BCR activation, the tyrosine residues of CD19's cytoplasmic tail recruits multiple kinases including Lyn, Vav, and PI3K, amplifying BCR-mediated immune signaling and B cell activation (1-3).

Considering the role of CD19 in BCR signaling and its expression in development from pre-B cells through plasma cells, it is understandable that CD19 dysfunction and abnormal expression is associated with numerous B cell malignancies and autoimmune disorders (1-5). CD19 expression is typically observed at relatively normal levels in B cell acute lymphoblastic leukemia (B-ALL) and chronic lymphoblastic leukemia (CLL) but is often reduced other types of lymphoma including diffuse large B cell lymphoma (DLBCL) and follicular lymphoma (FL) (1,2). On the other hand, CD19 expression is typically increased in autoimmune disorders such as systemic sclerosis (SSc) and multiple sclerosis (MS) as modeled by experimental autoimmune encephalomyelitis (EAE) (2). CD19 has become a therapeutic molecular target for the treatment of B cell lymphomas and autoimmune disorders using monoclonal antibodies (mAbs), bi-specific T cell engaging (BiTE) antibodies, and CD19-specific chimeric antigen receptor (CAR) T cells (1,2,4-6). Although anti-CD19 CAR T cell therapy has become the standard for the treatment of B cell malignancies, patients may experience relapse due to resistance mechanisms (6). Strategies to improve efficacy and limit relapse include combination of CAR T cell therapy with immune checkpoint inhibitors like anti-PD-1 (4,6).

References

1. Wang K, Wei G, Liu D. CD19: a biomarker for B cell development, lymphoma diagnosis and therapy. Exp Hematol Oncol. 2012;1(1):36. https://doi.org/10.1186/2162-3619-1-36

2. Li X, Ding Y, Zi M, et al. CD19, from bench to bedside. Immunol Lett. 2017;183:86-95. https://doi.org/10.1016/j.imlet.2017.01.010

3. Wentink MWJ, van Zelm MC, van Dongen JJM, Warnatz K, van der Burg M. Deficiencies in the CD19 complex. Clin Immunol. 2018;195:82-87. https://doi.org/10.1016/j.clim.2018.07.017

4. Frigault MJ, Maus MV. State of the art in CAR T cell therapy for CD19+ B cell malignancies. J Clin Invest. 2020;130(4):1586-1594. https://doi.org/10.1172/JCI129208

5. Penack O, Koenecke C. Complications after CD19+ CAR T-Cell Therapy. Cancers (Basel). 2020;12(11):3445. https://doi.org/10.3390/cancers12113445

6. Bouziana S, Bouzianas D. Anti-CD19 CAR-T cells: Digging in the dark side of the golden therapy. Crit Rev Oncol Hematol. 2021;157:103096. https://doi.org/10.1016/j.critrevonc.2020.103096

Alternate Names

CD19, CVID3, Leu-12

Gene Symbol

CD19

Additional CD19 Products

Product Documents for CD19 Antibody (CL15454) - Azide and BSA Free

Certificate of Analysis

To download a Certificate of Analysis, please enter a lot number in the search box below.

Product Specific Notices for CD19 Antibody (CL15454) - Azide and BSA Free

This product is for research use only and is not approved for use in humans or in clinical diagnosis. Primary Antibodies are guaranteed for 1 year from date of receipt.

Loading...
Loading...
Loading...
Loading...
Loading...