Skip to main content

CCT6A Antibody - BSA Free

Novus Biologicals, part of Bio-Techne | Catalog # NBP2-33583

Novus Biologicals, part of Bio-Techne
Catalog #
Availability
Size / Price
Qty
Loading...
NBP2-33583

Key Product Details

Species Reactivity

Validated:

Human

Predicted:

Mouse (90%), Rat (95%). Backed by our 100% Guarantee.

Applications

Immunocytochemistry/ Immunofluorescence, Immunohistochemistry, Immunohistochemistry-Paraffin, Western Blot

Label

Unconjugated

Antibody Source

Polyclonal Rabbit IgG

Format

BSA Free

Concentration

Concentrations vary lot to lot. See vial label for concentration. If unlisted please contact technical services.

Product Specifications

Immunogen

This antibody was developed against a recombinant protein corresponding to amino acids: DVTGDGTTSNVLIIGELLKQADLYISEGLHPRIIAEGFEAAK

Clonality

Polyclonal

Host

Rabbit

Isotype

IgG

Description

Novus Biologicals Rabbit CCT6A Antibody - BSA Free (NBP2-33583) is a polyclonal antibody validated for use in IHC, WB and ICC/IF. All Novus Biologicals antibodies are covered by our 100% guarantee.

Scientific Data Images for CCT6A Antibody - BSA Free

Western Blot: CCT6A Antibody [NBP2-33583]

Western Blot: CCT6A Antibody [NBP2-33583]

Western Blot: CCT6A Antibody [NBP2-33583] - Lane 1: Marker [kDa] 250, 130, 95, 72, 55, 36, 28, 17, 10. Lane 2: Human cell line RT-4. Lane 3: Human cell line U-251MG sp
Immunocytochemistry/ Immunofluorescence: CCT6A Antibody [NBP2-33583]

Immunocytochemistry/ Immunofluorescence: CCT6A Antibody [NBP2-33583]

Immunocytochemistry/Immunofluorescence: CCT6A Antibody [NBP2-33583] - Staining of human cell line U-2 OS shows localization to cytosol. Antibody staining is shown in green.
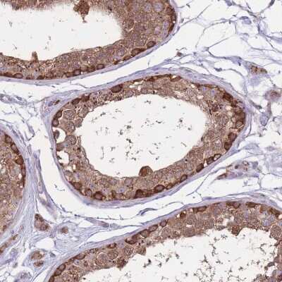
Immunohistochemistry-Paraffin: CCT6A Antibody [NBP2-33583]

Immunohistochemistry-Paraffin: CCT6A Antibody [NBP2-33583]

Immunohistochemistry-Paraffin: CCT6A Antibody [NBP2-33583] - Staining of human testis shows strong cytoplasmic positivity in a subset of cells in seminiferus ducts.

Applications for CCT6A Antibody - BSA Free

Application
Recommended Usage

Immunocytochemistry/ Immunofluorescence

0.25-2 ug/ml

Immunohistochemistry

1:50 - 1:200

Immunohistochemistry-Paraffin

1:50 - 1:200

Western Blot

0.04-0.4 ug/ml
Application Notes
For IHC-Paraffin, HIER pH 6 retrieval is recommended. ICC/IF Fixation Permeabilization: Use PFA/Triton X-100.

Formulation, Preparation, and Storage

Purification

Immunogen affinity purified

Formulation

PBS (pH 7.2) and 40% Glycerol

Format

BSA Free

Preservative

0.02% Sodium Azide

Concentration

Concentrations vary lot to lot. See vial label for concentration. If unlisted please contact technical services.

Shipping

The product is shipped with polar packs. Upon receipt, store it immediately at the temperature recommended below.

Stability & Storage

Store at 4C short term. Aliquot and store at -20C long term. Avoid freeze-thaw cycles.

Background: CCT6A

The CCT6A gene encodes a molecular chaperone that is member of the chaperonin containing TCP1 complex (CCT), also known asthe TCP1 ring complex (TRiC). This complex consists of two identical stacked rings, each containing eight differentproteins. Unfolded poly

Alternate Names

acute morphine dependence related protein 2, Acute morphine dependence-related protein 2, amino acid transport defect-complementing, CCT6, CCTZ, CCT-zeta, CCT-zeta-1, chaperonin containing T-complex subunit 6, chaperonin containing TCP1, subunit 6A (zeta 1), histidine transport regulator 3, HTR3MGC126215, MGC126214, MoDP-2, T-complex protein 1 subunit zeta, T-complex protein 1, zeta subunit, TCP-1-zeta, TCP20, TCPZ, TTCP20

Gene Symbol

CCT6A

Additional CCT6A Products

Product Documents for CCT6A Antibody - BSA Free

Certificate of Analysis

To download a Certificate of Analysis, please enter a lot number in the search box below.

Product Specific Notices for CCT6A Antibody - BSA Free

This product is for research use only and is not approved for use in humans or in clinical diagnosis. Primary Antibodies are guaranteed for 1 year from date of receipt.

Loading...
Loading...
Loading...
Loading...