Skip to main content

CCR5 Antibody - BSA Free

Novus Biologicals, part of Bio-Techne | Catalog # NBP2-31374

Novus Biologicals, part of Bio-Techne
Catalog #
Availability
Size / Price
Qty
Loading...
NBP2-31374
NBP2-31374SS

Key Product Details

Validated by

Biological Validation

Species Reactivity

Validated:

Human, Mouse, Monkey

Cited:

Human, Mouse

Predicted:

Primate (99%). Backed by our 100% Guarantee.

Applications

Validated:

Immunohistochemistry, Immunohistochemistry-Paraffin, Western Blot, Simple Western

Cited:

Immunohistochemistry-Paraffin, Western Blot, IF/IHC

Label

Unconjugated

Antibody Source

Polyclonal Rabbit IgG

Format

BSA Free

Concentration

1.0 mg/ml

Product Specifications

Immunogen

Partial recombinant protein made to an N-terminal portion of the human CCR5 protein (between amino acids 1-350)

Reactivity Notes

Mouse reactivity reported in scientific literature (PMID: 21305529). Rhesus macaque reactivity reported in a verified customer review.

Localization

Multi-pass membrane protein with extra-cellular and cytoplasmic domains

Clonality

Polyclonal

Host

Rabbit

Isotype

IgG

Description

Novus Biologicals Rabbit CCR5 Antibody - BSA Free (NBP2-31374) is a polyclonal antibody validated for use in IHC, WB and Simple Western. Anti-CCR5 Antibody: Cited in 3 publications. All Novus Biologicals antibodies are covered by our 100% guarantee.

Scientific Data Images for CCR5 Antibody - BSA Free

Western Blot: CCR5 Antibody [NBP2-31374]

Western Blot: CCR5 Antibody [NBP2-31374]

Western Blot: CCR5 Antibody [NBP2-31374] - Image of anti-CCR5 antibody. Whole cell protein from Daudi (1), K562 (2) and THP-1 (3) cell lines were separated by SDS-PAGE and protein transfered to PVDF. The membrane was probed with anti-CCR5 antibody at 2 ug/mL and detected with an anti-rabbit-HRP secondary antibody and chemiluminescence. CCR5 is shown at 40 kDa.
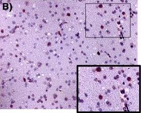
Immunohistochemistry-Paraffin: CCR5 Antibody [NBP2-31374]

Immunohistochemistry-Paraffin: CCR5 Antibody [NBP2-31374]

CCR5-Antibody-Immunohistochemistry-Paraffin-NBP2-31374-img0007.jpg
Western Blot: CCR5 Antibody [NBP2-31374]

Western Blot: CCR5 Antibody [NBP2-31374]

Western Blot: CCR5 Antibody [NBP2-31374] - Detection of CCR5 partial recombinant protein by using CCR5 antibody at a concentration of 0.5 ug/mL.

Applications for CCR5 Antibody - BSA Free

Application
Recommended Usage

Immunohistochemistry

5 ug/ml

Immunohistochemistry-Paraffin

5 ug/ml

Simple Western

1:50

Western Blot

2 ug/ml
Application Notes
In Simple Western only 10 - 15 uL of the recommended dilution is used per data point.
See Simple Western Antibody Database for Simple Western validation: Tested in MCF-7 lysate 0.5 mg/mL, separated by Size, antibody dilution of 1:50, apparent MW was 41 kDa.

Reviewed Applications

Read 2 reviews rated 4.5 using NBP2-31374 in the following applications:

Formulation, Preparation, and Storage

Purification

Protein A purified

Formulation

PBS

Format

BSA Free

Preservative

0.05% Sodium Azide

Concentration

1.0 mg/ml

Shipping

The product is shipped with polar packs. Upon receipt, store it immediately at the temperature recommended below.

Stability & Storage

Store at 4C short term. Aliquot and store at -20C long term. Avoid freeze-thaw cycles.

Background: CCR5

The CC chemokine receptor 5 (CCR5) is a member of the CC-chemokine receptor family, and has the characteristic structure of a 7 transmembrane G protein-coupled receptor (GPCR). CCR5 regulates trafficking and effector functions of memory/effector Th1 cells, macrophages, NK cells, and immature dendritic cells. CCR5 and its ligands play an important role in viral pathogenesis. CCR5 represents the co-receptor for macrophage (M) and dual (T cell and M)-tropic immunodeficiency viruses. Together with the CD4 binding receptor, CCR5 plays a critical role in HIV entry into the target cells. Moreover, the CCR5 ligands macrophage inflammatory protein (MIP)-1 alpha, MIP-1 beta and RANTES act as endogenous inhibitors of HIV infection, making both CCR5 and its chemokine ligands attractive therapeutic targets for HIV infection. Recent studies have also highlighted the role of CCR5 in a variety of other human diseases, ranging from infectious and inflammatory diseases to cancer.

Alternate Names

CCR5, CD195

Entrez Gene IDs

1234 (Human)

Gene Symbol

CCR5

UniProt

Additional CCR5 Products

Product Documents for CCR5 Antibody - BSA Free

Certificate of Analysis

To download a Certificate of Analysis, please enter a lot number in the search box below.

Product Specific Notices for CCR5 Antibody - BSA Free

This product is for research use only and is not approved for use in humans or in clinical diagnosis. Primary Antibodies are guaranteed for 1 year from date of receipt.

Loading...
Loading...
Loading...
Loading...