Skip to main content

CCP110 Antibody - BSA Free

Novus Biologicals, part of Bio-Techne | Catalog # NBP2-81976

Novus Biologicals, part of Bio-Techne

Key Product Details

Species Reactivity

Human, Mouse, Rat

Applications

Immunohistochemistry, Immunohistochemistry-Paraffin, Western Blot, ELISA, Immunocytochemistry/ Immunofluorescence

Label

Unconjugated

Antibody Source

Polyclonal Rabbit IgG

Format

BSA Free

Concentration

1 mg/ml

Product Specifications

Immunogen

CCP110 antibody was raised against a 17 amino acid synthetic peptide near the carboxy terminus of human CCP110. The immunogen is located within the last 50 amino acids of CCP110. Amino Acid Squence: NRQKPSQSRVPNRVPVS

Specificity

Two isoforms of CCP110 are known to exist; this antibody will only detect the longer isoform

Clonality

Polyclonal

Host

Rabbit

Isotype

IgG

Theoretical MW

110 kDa.
Disclaimer note: The observed molecular weight of the protein may vary from the listed predicted molecular weight due to post translational modifications, post translation cleavages, relative charges, and other experimental factors.

Description

Novus Biologicals Rabbit CCP110 Antibody - BSA Free (NBP2-81976) is a polyclonal antibody validated for use in IHC, WB, ELISA and ICC/IF. All Novus Biologicals antibodies are covered by our 100% guarantee.

Scientific Data Images for CCP110 Antibody - BSA Free

Western Blot: CCP110 AntibodyBSA Free [NBP2-81976]

Western Blot: CCP110 AntibodyBSA Free [NBP2-81976]

Western Blot: CCP110 Antibody [NBP2-81976] - Analysis of CCP110 in human colon tissue lysate with CCP110 antibody at 1 ug/ml.
CCP110 Antibody - BSA Free

Immunocytochemistry/ Immunofluorescence: CCP110 Antibody - BSA Free [NBP2-81976] -

Immunocytochemistry/ Immunofluorescence: CCP110 Antibody - BSA Free [NBP2-81976] - Immunofluorescence of CCP110 in rat colon tissue with CCP110 antibody at 20 u/mL.
CCP110 Antibody - BSA Free

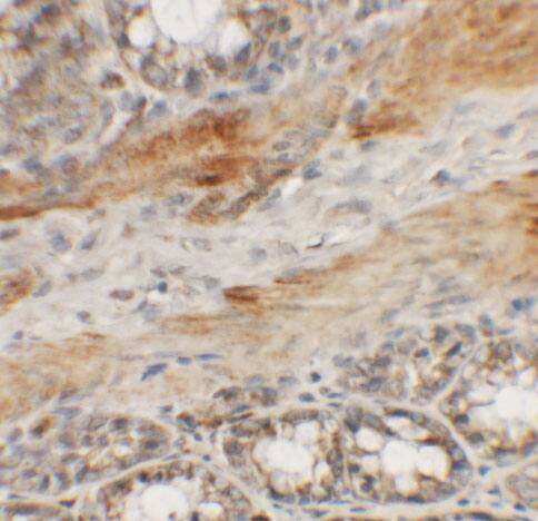
Immunohistochemistry: CCP110 Antibody - BSA Free [NBP2-81976] -

Immunohistochemistry: CCP110 Antibody - BSA Free [NBP2-81976] - Immunohistochemistry of CCP110 in rat colon tissue with CCP110 antibody at 5 u/mL.

Applications for CCP110 Antibody - BSA Free

Application
Recommended Usage

Immunocytochemistry/ Immunofluorescence

5 ug/ml

Immunohistochemistry

5 ug/ml

Western Blot

1 ug/ml

Formulation, Preparation, and Storage

Purification

Peptide affinity purified

Formulation

PBS

Format

BSA Free

Preservative

0.02% Sodium Azide

Concentration

1 mg/ml

Shipping

The product is shipped with polar packs. Upon receipt, store it immediately at the temperature recommended below.

Stability & Storage

Store at 4C short term. Aliquot and store at -20C long term. Avoid freeze-thaw cycles.

Background: CCP110

Alternate Names

centriolar coiled coil protein 110kDa, Cep110, CP110

Gene Symbol

CCP110

Additional CCP110 Products

Product Documents for CCP110 Antibody - BSA Free

Certificate of Analysis

To download a Certificate of Analysis, please enter a lot number in the search box below.

Product Specific Notices for CCP110 Antibody - BSA Free

This product is for research use only and is not approved for use in humans or in clinical diagnosis. Primary Antibodies are guaranteed for 1 year from date of receipt.

Loading...
Loading...
Loading...
Loading...