Skip to main content

CCL23/Ck beta 8-1/MIP3 Antibody - BSA Free

Novus Biologicals, part of Bio-Techne | Catalog # NBP3-42350

Novus Biologicals, part of Bio-Techne
Catalog #
Availability
Size / Price
Qty
Loading...
NBP3-42350

Key Product Details

Species Reactivity

Human

Applications

Immunohistochemistry, Immunohistochemistry-Paraffin, Western Blot

Label

Unconjugated

Antibody Source

Polyclonal Rabbit

Format

BSA Free

Concentration

0.5 mg/ml

Product Specifications

Immunogen

Immunogen sequence: Arg22-Asn120 (Uniprot#: P55773)

Clonality

Polyclonal

Host

Rabbit

Description

Novus Biologicals Rabbit CCL23/Ck beta 8-1/MIP3 Antibody - BSA Free (NBP3-42350) is a polyclonal antibody validated for use in IHC and WB. All Novus Biologicals antibodies are covered by our 100% guarantee.

Scientific Data Images for CCL23/Ck beta 8-1/MIP3 Antibody - BSA Free

CCL23/Ck beta 8-1/MIP3 Antibody

Western Blot: CCL23/Ck beta 8-1/MIP3 Antibody [NBP3-42350] -

Western Blot: CCL23/Ck beta 8-1/MIP3 Antibody [NBP3-42350] - Sample: Recombinant protein.
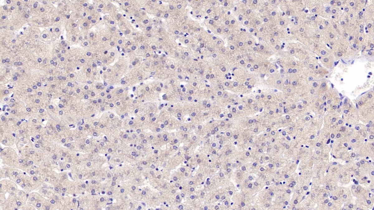
CCL23/Ck beta 8-1/MIP3 Antibody

Immunohistochemistry-Paraffin: CCL23/Ck beta 8-1/MIP3 Antibody [NBP3-42350] -

Immunohistochemistry-Paraffin: CCL23/Ck beta 8-1/MIP3 Antibody [NBP3-42350] - DAB staining on IHC-P; Samples: Human Liver Tissue; Primary Ab: 10ug/ml NBP3-42350; Second Ab: 2ug/mL HRP-Linked Caprine Anti-Rabbit IgG Polyclonal Antibody

Applications for CCL23/Ck beta 8-1/MIP3 Antibody - BSA Free

Application
Recommended Usage

Immunohistochemistry

5-20ug/mL

Immunohistochemistry-Paraffin

5-20ug/mL

Western Blot

0.2-2ug/mL

Formulation, Preparation, and Storage

Purification

Antigen and protein A Affinity-purified

Formulation

PBS, pH7.4, 50% glycerol

Format

BSA Free

Preservative

0.02% Sodium Azide

Concentration

0.5 mg/ml

Shipping

The product is shipped with polar packs. Upon receipt, store it immediately at the temperature recommended below.

Stability & Storage

Store at 4C short term. Aliquot and store at -20C long term. Avoid freeze-thaw cycles.

Background: CCL23/Ck beta 8-1

Macrophage Inflammatory Protein 3, also known as CCL23, is located on the p-arm of chromosome 9 with other CC cytokine genes which are involved in immunoregulatory and inflammatory processes. In patients with rheumatoid arthritis, high levels on CCL23(19-99) have been found in synovial fluids. This protein is known to have interaction with CCR1, CCR10, CCR2, CCR3 and CCR4.

Alternate Names

Ck beta 8-1, Ckb81

Gene Symbol

CCL23

Additional CCL23/Ck beta 8-1 Products

Product Documents for CCL23/Ck beta 8-1/MIP3 Antibody - BSA Free

Certificate of Analysis

To download a Certificate of Analysis, please enter a lot number in the search box below.

Product Specific Notices for CCL23/Ck beta 8-1/MIP3 Antibody - BSA Free

This product is for research use only and is not approved for use in humans or in clinical diagnosis. Primary Antibodies are guaranteed for 1 year from date of receipt.

Loading...
Loading...
Loading...
Loading...