Skip to main content

CCL2/MCP1 Antibody - BSA Free

Novus Biologicals, part of Bio-Techne | Catalog # NBP2-41209

Novus Biologicals, part of Bio-Techne

Key Product Details

Species Reactivity

Validated:

Human, Mouse, Rat

Cited:

Mouse

Predicted:

Guinea Pig (90%). Backed by our 100% Guarantee.

Applications

Validated:

Immunohistochemistry, Immunohistochemistry-Paraffin, Western Blot, ELISA, Immunocytochemistry/ Immunofluorescence

Cited:

Western Blot

Label

Unconjugated

Antibody Source

Polyclonal Rabbit IgG

Format

BSA Free

Concentration

1 mg/ml

Product Specifications

Immunogen

Antibody was raised against a 17 amino acid peptide near the carboxy terminus of human CCL2. The immunogen is located within the last 50 amino acids of CCL2. Amino Acid Squence: ADPKQKWVQDSMDHLD

Reactivity Notes

Immunogen displays the following percentage of sequence identity for non-tested species: Pig (81%), Horse (81%)

Clonality

Polyclonal

Host

Rabbit

Isotype

IgG

Theoretical MW

14 kDa.
Disclaimer note: The observed molecular weight of the protein may vary from the listed predicted molecular weight due to post translational modifications, post translation cleavages, relative charges, and other experimental factors.

Description

Novus Biologicals Rabbit CCL2/MCP1 Antibody - BSA Free (NBP2-41209) is a polyclonal antibody validated for use in IHC, WB, ELISA and ICC/IF. Anti-CCL2/MCP1 Antibody: Cited in 1 publication. All Novus Biologicals antibodies are covered by our 100% guarantee.

Scientific Data Images for CCL2/MCP1 Antibody - BSA Free

Western Blot: CCL2/MCP1 AntibodyBSA Free [NBP2-41209]

Western Blot: CCL2/MCP1 AntibodyBSA Free [NBP2-41209]

Western Blot: CCL2/MCP1 Antibody [NBP2-41209] - Analysis of CCL2 in K562 cell lysate with CCL2 antibody at 1 ug/mL.
CCL2/MCP1 Antibody - BSA Free

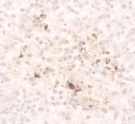
Immunohistochemistry: CCL2/MCP1 Antibody - BSA Free [NBP2-41209] -

Immunohistochemistry: CCL2/MCP1 Antibody - BSA Free [NBP2-41209] - Immunohistochemistry of CCL2/MCP1 in human spleen tissue with CCL2/MCP1 antibody at 5 ug/ml.
CCL2/MCP1 Antibody - BSA Free

Immunocytochemistry/ Immunofluorescence: CCL2/MCP1 Antibody - BSA Free [NBP2-41209] -

Immunocytochemistry/ Immunofluorescence: CCL2/MCP1 Antibody - BSA Free [NBP2-41209] - Immunofluorescence of CCL2/MCP1 in human spleen tissue with CCL2/MCP1 antibody at 20 ug/ml.

Applications for CCL2/MCP1 Antibody - BSA Free

Application
Recommended Usage

Immunocytochemistry/ Immunofluorescence

20 ug/ml

Immunohistochemistry-Paraffin

5 ug/ml

Western Blot

1 - 2 ug/mL

Formulation, Preparation, and Storage

Purification

Peptide affinity purified

Formulation

PBS

Format

BSA Free

Preservative

0.02% Sodium Azide

Concentration

1 mg/ml

Shipping

The product is shipped with polar packs. Upon receipt, store it immediately at the temperature recommended below.

Stability & Storage

Store at 4C short term. Aliquot and store at -20C long term. Avoid freeze-thaw cycles.

Background: CCL2/MCP1

Monocyte Chemoattracctant Protein-1 (MCP1), also known as CCL2, is produced by a wide range of cell types as a reaction to diverse inflammatory stimuli and is a chemotactic factor that attracts monocytes and basophils but not neutrophils or eosinophils. MCP1 augments monocyte anti-tumor activity and has been implicated in the pathogenesis of diseases characterized by monocytic infiltrates, like psoriasis, rheumatoid arthritis or atherosclerosis. In atherosclerosis MCP-1 has been implicated to be involved in the recruitment of monocytes into the arterial wall during the disease process.

Alternate Names

C-C motif chemokine 2, chemokine (C-C motif) ligand 2, GDCF-2, HC11Monocyte secretory protein JE, MCAFMonocyte chemotactic and activating factor, MCP1 Monocyte chemotactic protein 1, MCP-1 Small-inducible cytokine A2, MGC9434, Monocyte chemoattractant protein 1, monocyte chemoattractant protein-1, SCYA2HSMCR30, small inducible cytokine A2 (monocyte chemotactic protein 1, homologous tomouse Sig-je), small inducible cytokine subfamily A (Cys-Cys), member 2, SMC-CF

Gene Symbol

CCL2

Additional CCL2/MCP1 Products

Product Documents for CCL2/MCP1 Antibody - BSA Free

Certificate of Analysis

To download a Certificate of Analysis, please enter a lot number in the search box below.

Product Specific Notices for CCL2/MCP1 Antibody - BSA Free

This product is for research use only and is not approved for use in humans or in clinical diagnosis. Primary Antibodies are guaranteed for 1 year from date of receipt.

Loading...
Loading...
Loading...
Loading...