Skip to main content

CCL2/MCP1 Antibody (2D8) - Azide and BSA Free

Novus Biologicals, part of Bio-Techne | Catalog # NBP2-80618

Novus Biologicals, part of Bio-Techne

Key Product Details

Validated by

Biological Validation

Species Reactivity

Human, Mouse, Rat, Feline, Primate

Applications

Immunohistochemistry, Immunohistochemistry-Paraffin, Western Blot, ELISA, Flow Cytometry, Immunocytochemistry/ Immunofluorescence, CyTOF-ready

Label

Unconjugated

Antibody Source

Monoclonal Mouse IgG1 Clone # 2D8

Format

Azide and BSA Free

Concentration

1 mg/ml

Product Specifications

Immunogen

Full lenght human MCP1 expressed in E. coli.

Reactivity Notes

Rat reactivity reported in scientific literature (PMID: 29286133).

Clonality

Monoclonal

Host

Mouse

Isotype

IgG1

Theoretical MW

11 kDa.
Disclaimer note: The observed molecular weight of the protein may vary from the listed predicted molecular weight due to post translational modifications, post translation cleavages, relative charges, and other experimental factors.

Description

Novus Biologicals Mouse CCL2/MCP1 Antibody (2D8) - Azide and BSA Free (NBP2-22115) is a monoclonal antibody validated for use in IHC, WB, ELISA, Flow and ICC/IF. All Novus Biologicals antibodies are covered by our 100% guarantee.

Scientific Data Images for CCL2/MCP1 Antibody (2D8) - Azide and BSA Free

Western Blot: CCL2/MCP1 Antibody (2D8)Azide and BSA Free [NBP2-80618]

Western Blot: CCL2/MCP1 Antibody (2D8)Azide and BSA Free [NBP2-80618]

Western Blot: CCL2/MCP1 Antibody (2D8) - Azide and BSA Free [NBP2-80618] - Analysis using MCP1 mouse mAb against A549 (1), HeLa (2), Raw264.7 (3), L1210 (4), C6 (5), and COS-7 (6) cell lysates. Image from the standard format of this antibody.
Immunocytochemistry/ Immunofluorescence: CCL2/MCP1 Antibody (2D8) - Azide and BSA Free [NBP2-80618]

Immunocytochemistry/ Immunofluorescence: CCL2/MCP1 Antibody (2D8) - Azide and BSA Free [NBP2-80618]

Immunocytochemistry/Immunofluorescence: CCL2/MCP1 Antibody (2D8) - Azide and BSA Free [NBP2-80618] - CCL2 staining in acini cultures from MMTV-HER2 MGs (20-24 weeks) grown for 5 days and then DMSO-treated (vehicle control, e), 1uM lapatinib (f) or 1 uM IKKi compound A (g) for 24 hrs. Bar: 25 um. Image collected and cropped by CiteAb from the following publication (https://www.nature.com/articles/s41467-017-02481-5), licensed under a CC-BY license. Image from the standard format of this antibody.
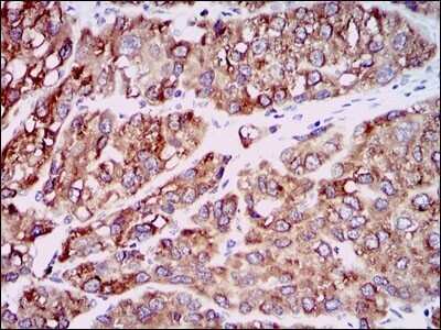
Immunohistochemistry-Paraffin: CCL2/MCP1 Antibody (2D8) - Azide and BSA Free [NBP2-80618]

Immunohistochemistry-Paraffin: CCL2/MCP1 Antibody (2D8) - Azide and BSA Free [NBP2-80618]

Immunohistochemistry-Paraffin: CCL2/MCP1 Antibody (2D8) - Azide and BSA Free [NBP2-80618] - Analysis of paraffin-embedded liver cancer tissues using MCP1 mouse mAb with DAB staining. Image from the standard format of this antibody.

Applications for CCL2/MCP1 Antibody (2D8) - Azide and BSA Free

Application
Recommended Usage

ELISA

1:10000

Flow Cytometry

1:200-1:400

Immunocytochemistry/ Immunofluorescence

1:200-1:1000

Immunohistochemistry

1:200-1:1000

Immunohistochemistry-Paraffin

1:200-1:1000

Western Blot

1:500-1:2000

Formulation, Preparation, and Storage

Purification

Ammonium sulfate precipitation

Formulation

PBS

Format

Azide and BSA Free

Preservative

No Preservative

Concentration

1 mg/ml

Shipping

The product is shipped with polar packs. Upon receipt, store it immediately at the temperature recommended below.

Stability & Storage

Store at 4C short term. Aliquot and store at -20C long term. Avoid freeze-thaw cycles.

Background: CCL2/MCP1

This gene is one of several cytokine genes clustered on the q-arm of chromosome 17. Cytokines are a family of secreted proteins involved in immunoregulatory and inflammatory processes. The protein encoded by this gene is structurally related to the CXC subfamily of cytokines. Members of this subfamily are characterized by two cysteines separated by a single amino acid. This cytokine displays chemotactic activity for monocytes and basophils but not for neutrophils or eosinophils. It has been implicated in the pathogenesis of diseases characterized by monocytic infiltrates, like psoriasis, rheumatoid arthritis and atherosclerosis. It binds to chemokine receptors CCR2 and CCR4.

Alternate Names

C-C motif chemokine 2, chemokine (C-C motif) ligand 2, GDCF-2, HC11Monocyte secretory protein JE, MCAFMonocyte chemotactic and activating factor, MCP1 Monocyte chemotactic protein 1, MCP-1 Small-inducible cytokine A2, MGC9434, Monocyte chemoattractant protein 1, monocyte chemoattractant protein-1, SCYA2HSMCR30, small inducible cytokine A2 (monocyte chemotactic protein 1, homologous tomouse Sig-je), small inducible cytokine subfamily A (Cys-Cys), member 2, SMC-CF

Gene Symbol

CCL2

Additional CCL2/MCP1 Products

Product Documents for CCL2/MCP1 Antibody (2D8) - Azide and BSA Free

Certificate of Analysis

To download a Certificate of Analysis, please enter a lot number in the search box below.

Product Specific Notices for CCL2/MCP1 Antibody (2D8) - Azide and BSA Free

This product is for research use only and is not approved for use in humans or in clinical diagnosis. Primary Antibodies are guaranteed for 1 year from date of receipt.

Loading...
Loading...
Loading...
Loading...
Loading...