CCDC134 Antibody - BSA Free
Novus Biologicals, part of Bio-Techne | Catalog # NBP1-77053
Conjugate
Catalog #
Key Product Details
Species Reactivity
Human, Mouse, Rat
Applications
Immunohistochemistry, Immunohistochemistry-Paraffin, Western Blot, ELISA, Immunocytochemistry/ Immunofluorescence
Label
Unconjugated
Antibody Source
Polyclonal Rabbit IgG
Format
BSA Free
Concentration
1 mg/ml
Product Specifications
Immunogen
Antibody was raised against a 17 amino acid synthetic peptide near the amino terminus of human CCDC134. The immunogen is located within the first 50 amino acids of CCDC134. Amino Acid Squence: PLEIYKKMFEVKRREQ
Clonality
Polyclonal
Host
Rabbit
Isotype
IgG
Description
Novus Biologicals Rabbit CCDC134 Antibody - BSA Free (NBP1-77053) is a polyclonal antibody validated for use in IHC, WB, ELISA and ICC/IF. All Novus Biologicals antibodies are covered by our 100% guarantee.
Scientific Data Images for CCDC134 Antibody - BSA Free
Western Blot: CCDC134 AntibodyBSA Free [NBP1-77053]
Western Blot: CCDC134 Antibody [NBP1-77053] - rat brain tissue lysate with CCDC134 antibody at (A) 1 and (B) 2 ug/ml.Immunocytochemistry/ Immunofluorescence: CCDC134 Antibody - BSA Free [NBP1-77053] -
Immunocytochemistry/ Immunofluorescence: CCDC134 Antibody - BSA Free [NBP1-77053] - Immunofluorescence of CDCC134 in human brain tissue with CDCC134 antibody at 20 u/mL.Immunohistochemistry: CCDC134 Antibody - BSA Free [NBP1-77053] -
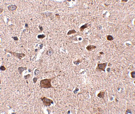
Immunohistochemistry: CCDC134 Antibody - BSA Free [NBP1-77053] - Immunohistochemistry of CCDC134 in human brain tissue with CCDC134 antibody at 2.5 u/mL.Applications for CCDC134 Antibody - BSA Free
Application
Recommended Usage
ELISA
1:100-1:2000
Immunocytochemistry/ Immunofluorescence
20 ug/ml
Immunohistochemistry
2.5 ug/ml
Immunohistochemistry-Paraffin
2.5 ug/ml
Western Blot
1-2 ug/ml
Formulation, Preparation, and Storage
Purification
Peptide affinity purified
Formulation
PBS
Format
BSA Free
Preservative
0.02% Sodium Azide
Concentration
1 mg/ml
Shipping
The product is shipped with polar packs. Upon receipt, store it immediately at the temperature recommended below.
Stability & Storage
Store at 4C.
Background: CCDC134
Long Name
Coiled-coil Domain Containing 134
Alternate Names
coiled-coil domain containing 134, coiled-coil domain-containing protein 134, dJ821D11.3, FLJ22349, MGC21013
Gene Symbol
CCDC134
UniProt
Additional CCDC134 Products
Product Documents for CCDC134 Antibody - BSA Free
Product Specific Notices for CCDC134 Antibody - BSA Free
This product is for research use only and is not approved for use in humans or in clinical diagnosis. Primary Antibodies are guaranteed for 1 year from date of receipt.
Loading...
Loading...
Loading...
Loading...