CCDC120 Antibody - BSA Free
Novus Biologicals, part of Bio-Techne | Catalog # NBP3-47699
Key Product Details
Species Reactivity
Human, Mouse, Rat
Applications
Immunohistochemistry, Western Blot, ELISA
Label
Unconjugated
Antibody Source
Polyclonal Rabbit IgG
Format
BSA Free
Concentration
Please see the vial label for concentration. If unlisted please contact technical services.
Product Specifications
Immunogen
coiled-coil domain containing 120. (Uniprot# Q96HB5)
Clonality
Polyclonal
Host
Rabbit
Isotype
IgG
Description
Novus Biologicals Rabbit CCDC120 Antibody - BSA Free (NBP3-47699) is a polyclonal antibody validated for use in IHC, WB and ELISA. All Novus Biologicals antibodies are covered by our 100% guarantee.
Scientific Data Images for CCDC120 Antibody - BSA Free
Western Blot: CCDC120 Antibody - BSA Free [NBP3-47699] -
Western Blot: CCDC120 Antibody - BSA Free [NBP3-47699] - Jurkat cells were subjected to SDS PAGE followed by western blot with (CCDC120 antibody) at dilution of 1:500Immunohistochemistry: CCDC120 Antibody - BSA Free [NBP3-47699] -
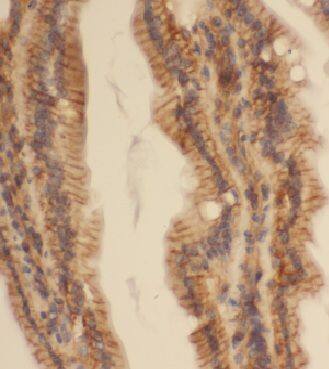
Immunohistochemistry: CCDC120 Antibody - BSA Free [NBP3-47699] - Immunohistochemistry of paraffin-embedded human colon using (CCDC120 antibody) at dilution of 1:50Applications for CCDC120 Antibody - BSA Free
Application
Recommended Usage
Immunohistochemistry
1:20-1:200
Western Blot
1:500-1:2000
Application Notes
Theoretical Molecular Weight is 67-70 kDa
Formulation, Preparation, and Storage
Purification
Immunogen affinity purified
Formulation
PBS, 50% Glycerol, pH (7.3)
Format
BSA Free
Preservative
0.02% Sodium Azide
Concentration
Please see the vial label for concentration. If unlisted please contact technical services.
Shipping
The product is shipped with polar packs. Upon receipt, store it immediately at the temperature recommended below.
Stability & Storage
Store at -20C. Avoid freeze-thaw cycles.
Background: CCDC120
Alternate Names
coiled-coil domain containing 120, coiled-coil domain-containing protein 120, JM11
Gene Symbol
CCDC120
Additional CCDC120 Products
Product Documents for CCDC120 Antibody - BSA Free
Product Specific Notices for CCDC120 Antibody - BSA Free
This product is for research use only and is not approved for use in humans or in clinical diagnosis. Primary Antibodies are guaranteed for 1 year from date of receipt.
Loading...
Loading...
Loading...
Loading...