CC Chemokine Receptor D6 Antibody - BSA Free
Novus Biologicals, part of Bio-Techne | Catalog # NBP1-88150
Key Product Details
Validated by
Orthogonal Validation
Species Reactivity
Human
Applications
Immunohistochemistry, Immunohistochemistry-Paraffin
Label
Unconjugated
Antibody Source
Polyclonal Rabbit IgG
Format
BSA Free
Concentration
Concentrations vary lot to lot. See vial label for concentration. If unlisted please contact technical services.
Product Specifications
Immunogen
This antibody was developed against Recombinant Protein corresponding to amino acids: QYLKAFLAAVLGWHLAPGTAQASLSSCSESSILTAQEEMTGMNDLGERQSENYPNKEDVGNKSA
Clonality
Polyclonal
Host
Rabbit
Isotype
IgG
Description
Novus Biologicals Rabbit CC Chemokine Receptor D6 Antibody - BSA Free (NBP1-88150) is a polyclonal antibody validated for use in IHC. All Novus Biologicals antibodies are covered by our 100% guarantee.
Scientific Data Images for CC Chemokine Receptor D6 Antibody - BSA Free
Immunohistochemistry-Paraffin: CC Chemokine Receptor D6 Antibody - BSA Free [NBP1-88150]
Staining of human placenta shows strong cytoplasmic positivity in trophoblastic cells.Immunohistochemistry-Paraffin: CC Chemokine Receptor D6 Antibody - BSA Free [NBP1-88150]
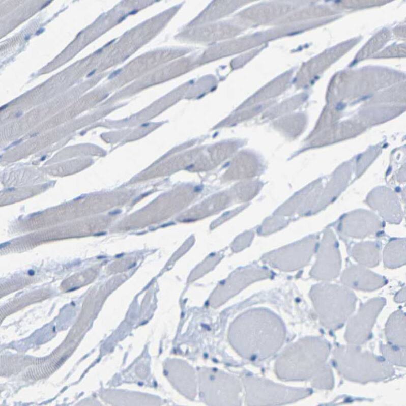
Staining of human skeletal muscle shows no cytoplasmic positivity in myocytes as expected.Applications for CC Chemokine Receptor D6 Antibody - BSA Free
Application
Recommended Usage
Immunohistochemistry
1:50 - 1:200
Immunohistochemistry-Paraffin
1:50 - 1:200
Application Notes
For IHC-Paraffin, HIER pH 6 retrieval is recommended.
Formulation, Preparation, and Storage
Purification
Affinity purified
Formulation
PBS (pH 7.2) and 40% Glycerol
Format
BSA Free
Preservative
0.02% Sodium Azide
Concentration
Concentrations vary lot to lot. See vial label for concentration. If unlisted please contact technical services.
Shipping
The product is shipped with polar packs. Upon receipt, store it immediately at the temperature recommended below.
Stability & Storage
Store at 4C short term. Aliquot and store at -20C long term. Avoid freeze-thaw cycles.
Background: CC Chemokine Receptor D6
Long Name
Chemokine Binding Protein 2
Alternate Names
ACKR2, CCBP2, CMKBR9
Gene Symbol
ACKR2
Additional CC Chemokine Receptor D6 Products
Product Documents for CC Chemokine Receptor D6 Antibody - BSA Free
Product Specific Notices for CC Chemokine Receptor D6 Antibody - BSA Free
This product is for research use only and is not approved for use in humans or in clinical diagnosis. Primary Antibodies are guaranteed for 1 year from date of receipt.
Loading...
Loading...
Loading...
Loading...